Suppr超能文献

原发性晚期精原细胞瘤的铂类化疗——一项回顾性分析:以色列北部肿瘤中心的治疗结果(1989 - 2010年)

Platinum-based Chemotherapy in Primary Advanced Seminoma-a Retrospective Analysis: Treatment Results at the Northern Israel Oncology Center (1989-2010).

作者信息

Stein Moshe E, Drumea Karen, Charas Tomer, Gershuny Anthony, Ben-Yosef Rahamim

机构信息

Northern Israel Oncology Center and Faculty of Medicine, Technion-Israel Institute of Technology, Haifa, Israel and.

Department of Clinical Oncology & Radiation Therapy, Queen's Hospital, Romford, Essex, UK.

出版信息

Rambam Maimonides Med J. 2014 Jan 21;5(1):e0005. doi: 10.5041/RMMJ.10139. eCollection 2014 Jan.

Abstract

OBJECTIVE

Over the past 30 years, great strides have been made in the treatment of disseminated testicular tumors. Despite the low number of patients and the rarity of studies concerning primary advanced seminoma, the efficacy of chemotherapy is clear, mainly 3-4-cisplatin-based chemotherapy. Aiming to contribute to the understanding and implementation of proper chemotherapeutic management in advanced seminoma patients, we retrospectively summarized our experience with 26 patients who were referred for platinum-based chemotherapy, post-orchiectomy to the Northern Israel Oncology Center between 1989 and 2010. Response rate, side effects, and long-term outcome were investigated.

METHODS

Before chemotherapy, meticulous staging was done, including tumor markers (B-human chorionic gonadotropin (B-HCG), alpha-fetoprotein (AFP), and lactic dehydrogenase (LDH)), and abdominal and pelvic computerized tomography (CT) scans were carried out.

RESULTS

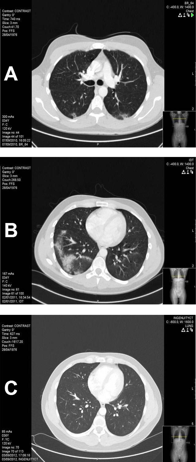
All 26 treated patients achieved complete remission, clinically and symptomatically, with normalization of their CT scans. At a median follow-up of 120 months (range, 24-268 months) all patients are alive, without evidence of recurrent disease. One patient whose disease recurred twice achieved a third complete remission following salvage treatment with high-dose chemotherapy and autologous peripheral stem cell transplantation. Another patient, who preferred surveillance, relapsed abdominally after 9 months but achieved long-standing complete remission with cisplatin-based chemotherapy. Both these patients are alive with no evidence of disease. Three patients recovered uneventfully from bleomycin-induced pneumonitis.

CONCLUSIONS

Advanced seminoma is a highly curable disease using platinum-based chemotherapy. Our study confirms the efficacy and safety of cisplatin-based chemotherapy in the treatment of advanced seminoma.

摘要

目的

在过去30年中,播散性睾丸肿瘤的治疗取得了巨大进展。尽管原发性晚期精原细胞瘤患者数量较少且相关研究罕见,但化疗的疗效是明确的,主要是基于顺铂的3 - 4联化疗。为了有助于理解和实施晚期精原细胞瘤患者的适当化疗管理,我们回顾性总结了1989年至2010年间转诊至以色列北部肿瘤中心接受睾丸切除术后铂类化疗的26例患者的经验。研究了缓解率、副作用和长期结局。

方法

化疗前进行了细致的分期,包括肿瘤标志物(β - 人绒毛膜促性腺激素(β - HCG)、甲胎蛋白(AFP)和乳酸脱氢酶(LDH)),并进行了腹部和盆腔计算机断层扫描(CT)。

结果

所有26例接受治疗的患者在临床和症状上均实现了完全缓解,CT扫描结果正常。中位随访120个月(范围为24 - 268个月)时,所有患者均存活且无疾病复发迹象。一名疾病复发两次的患者在接受大剂量化疗和自体外周干细胞移植的挽救治疗后实现了第三次完全缓解。另一名选择观察的患者在9个月后腹部复发,但通过基于顺铂的化疗实现了长期完全缓解。这两名患者均存活且无疾病迹象。3例患者从博来霉素引起的肺炎中顺利康复。

结论

使用铂类化疗,晚期精原细胞瘤是一种高度可治愈的疾病。我们的研究证实了基于顺铂的化疗在治疗晚期精原细胞瘤中的疗效和安全性。

https://cdn.ncbi.nlm.nih.gov/pmc/blobs/7ffe/3904480/f65a24ad13b3/rmmj-5-1-e0005-g01.jpg

文献AI研究员

20分钟写一篇综述,助力文献阅读效率提升50倍。

立即体验

用中文搜PubMed

大模型驱动的PubMed中文搜索引擎

马上搜索

文档翻译

学术文献翻译模型,支持多种主流文档格式。

立即体验