Suppr超能文献

疾病预防控制中心大查房:通过公共卫生与病理专家之间的增强型伙伴关系发现新疾病。

CDC Grand Rounds: discovering new diseases via enhanced partnership between public health and pathology experts.

出版信息

MMWR Morb Mortal Wkly Rep. 2014 Feb 14;63(6):121-6.

Abstract

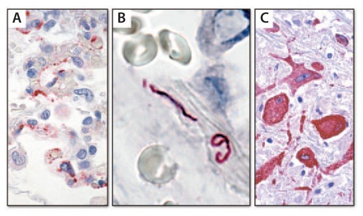
Despite advances in public health, medicine, and technology, infectious diseases remain a major source of illness and death worldwide. In the United States alone, unexplained deaths resulting from infectious disease agents have an estimated annual incidence of 0.5 per 100,000 persons aged 1-49 years. Emerging and newly recognized infections, such as hantavirus pulmonary syndrome and West Nile encephalitis, often are associated with life-threatening illnesses and death. Other infectious diseases once thought to be on the decline, such as pertussis, again are becoming major public health threats. Animals increasingly are being recognized as potential vectors for infectious diseases affecting humans; approximately 75% of recently emerging human infectious diseases are of animal origin. Increasing global interconnectivity necessitates more rapid identification of infectious disease agents to prevent, treat, and control diseases.

摘要

尽管公共卫生、医学和技术取得了进步,但传染病仍然是全球范围内疾病和死亡的主要来源。仅在美国,由传染病病原体引起的不明原因死亡,估计每年每 10 万人中有 0.5 人年龄在 1-49 岁之间。新出现和新发现的感染,如汉坦病毒肺综合征和西尼罗河脑炎,通常与危及生命的疾病和死亡有关。其他曾经被认为正在减少的传染病,如百日咳,再次成为主要的公共卫生威胁。动物越来越被认为是影响人类的传染病的潜在媒介;最近出现的人类传染病中,约有 75%源自动物。日益增长的全球互联性需要更快速地识别传染病病原体,以预防、治疗和控制疾病。

https://cdn.ncbi.nlm.nih.gov/pmc/blobs/5d7b/4584867/2fffd1b64f60/121-126f1.jpg

文献检索

告别复杂PubMed语法,用中文像聊天一样搜索,搜遍4000万医学文献。AI智能推荐,让科研检索更轻松。

立即免费搜索

文件翻译

保留排版,准确专业,支持PDF/Word/PPT等文件格式,支持 12+语言互译。

免费翻译文档

深度研究

AI帮你快速写综述,25分钟生成高质量综述,智能提取关键信息,辅助科研写作。

立即免费体验