Suppr超能文献

上颌第一和第二前磨牙三根管的牙髓治疗

Endodontic management of a maxillary first and second premolar with three canals.

作者信息

Theruvil Robin, Ganesh Chitharanjan, George Anoj Cherian

机构信息

Department of Conservative Dentistry and Endodontics, St. Gregorios Dental College, Chelad, Kothamangalam, India.

Department of Conservative Dentistry and Endodontics, Sri Sankara Dental College, Varkala, Thiruvanathapuram, Kerala, India.

出版信息

J Conserv Dent. 2014 Jan;17(1):88-91. doi: 10.4103/0972-0707.124166.

Abstract

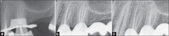
Unusual anatomical configurations must be considered in the radiographic and clinical evaluation during the endodontic treatment. The canal anatomy maxillary first and second premolar has been studied extensively and the presence of three canals is relatively rare especially in the maxillary second premolar. The occurrence of three canals with separate foramina in both the first and second premolar is shown to be in extremely low percentages and has been documented as practically non-existent in Asian populations. This article describes a case of a maxillary first and second premolar with three canals each.

摘要

在牙髓治疗的影像学和临床评估中,必须考虑异常的解剖结构。上颌第一和第二前磨牙的根管解剖结构已被广泛研究,三根根管的情况相对少见,尤其是在上颌第二前磨牙中。上颌第一和第二前磨牙中出现三个独立根尖孔的根管的比例极低,并且据记载在亚洲人群中几乎不存在。本文描述了一例上颌第一和第二前磨牙均有三根根管的病例。

https://cdn.ncbi.nlm.nih.gov/pmc/blobs/861d/3915396/3a8135ad4519/JCD-17-88-g001.jpg

文献AI研究员

20分钟写一篇综述,助力文献阅读效率提升50倍。

立即体验

用中文搜PubMed

大模型驱动的PubMed中文搜索引擎

马上搜索

文档翻译

学术文献翻译模型,支持多种主流文档格式。

立即体验