Suppr超能文献

心源性栓塞继发青少年缺血性卒中:一例罕见病例报告。

Juvenile ischemic stroke secondary to cardiogenic embolism: a rare case report.

作者信息

Soleimanpour Hassan, Pashapour Ali, Mohammadi Neda, Golzari Samad Ej, Khodaverdizadeh Hossein

机构信息

Cardiovascular Research Center, Tabriz University of Medical Sciences, Tabriz, Iran.

Neurosciences Research Center, Tabriz University of Medical Sciences, Tabriz, Iran.

出版信息

Int J Prev Med. 2014 Jan;5(1):117-22.

Abstract

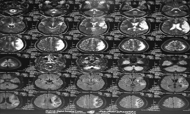
Myxomas, the most common primary cardiac tumors, are known as a source of cardiogenic emboli. The possibility of their early detection has made them of great importance for emergency medicines. Detection of the disease is probable at early stages using echocardiography and associate complications such as syncope, cerebral embolic ischemic strokes, and sudden death. We report experience of a rare case of juvenile acute stroke in a patient with cardiac myxoma affecting all cardiac chambers presenting to the emergency department. In young stroke patients with signs and symptoms compatible with cardiovascular involvement, cardiogenic emboli should be taken into consideration; early echocardiographic studies are highly recommended. Prompt myxoma resection is required in both asymptomatic and stroke patients in whom intravenous thrombolysis course has not been implemented due to any limitations.

摘要

黏液瘤是最常见的原发性心脏肿瘤,被认为是心源性栓子的来源。早期检测黏液瘤的可能性使其在急诊医学中具有重要意义。使用超声心动图在疾病早期阶段有可能检测到该病,并发现诸如晕厥、脑栓塞性缺血性中风和猝死等相关并发症。我们报告了一例罕见的青少年急性中风病例,该患者患有累及所有心腔的心脏黏液瘤,就诊于急诊科。对于有与心血管受累相符的体征和症状的年轻中风患者,应考虑心源性栓子;强烈建议早期进行超声心动图检查。对于因任何限制而未实施静脉溶栓治疗的无症状和中风患者,均需要及时切除黏液瘤。

https://cdn.ncbi.nlm.nih.gov/pmc/blobs/8db6/3915464/a19fc47a14b8/IJPVM-5-117-g001.jpg

文献AI研究员

20分钟写一篇综述,助力文献阅读效率提升50倍。

立即体验

用中文搜PubMed

大模型驱动的PubMed中文搜索引擎

马上搜索

文档翻译

学术文献翻译模型,支持多种主流文档格式。

立即体验