Suppr超能文献

细胞周期蛋白D1是口腔癌发生的早期生物标志物。

Cyclin D1 an early biomarker in oral carcinogenesis.

作者信息

Ramakrishna Ashwini, Shreedhar Balasundari, Narayan Tv, Mohanty Leeky, Shenoy Sadhana, Jamadar Saleha

机构信息

Department of Oral Pathology and Microbiology, College of Dental Sciences, Davangere, Karnataka, India.

Department of Oral Pathology and Microbiology, Career Post Graduate Institute of Dental Sciences, Lucknow, Uttar Pradesh, India.

出版信息

J Oral Maxillofac Pathol. 2013 Sep;17(3):351-7. doi: 10.4103/0973-029X.125189.

Abstract

BACKGROUND

Dysregulation of cell cycle is a fundamental hallmark of cancer progression. Cyclin D1, part of complex molecular system regulating G1-S point of cell cycle is overexpressed in variety of tumors.

AIMS

To look for its immunohistochemical expression in clinically normal mucosa from patients with and without tobacco habits, leukoplakia; and correlate its expression to individual atypical morphologic features, as seen in hematoxylin and eosin (H and E) sections of leukoplakia exhibiting dysplasia.

MATERIALS AND METHODS

We examined the expression of cyclin D1 in immunohistochemically stained sections of 15 normal buccal mucosa without any habits (group 1), 30 clinically normal mucosa from tobacco habituιs (group 2) and 30 leukoplakias exhibiting dysplasias (group 3). Descriptive statistical analysis performed. Results presented on Mean ± Standard deviation and in number (%). Adjusted Wald 95% Confidence Interval (CI) computed, percentages of morphological features assessed by Laplace estimate. Mann-Whitney U, Kruskal-Wallis test used to find the percentage expression of cyclin D1.

RESULTS

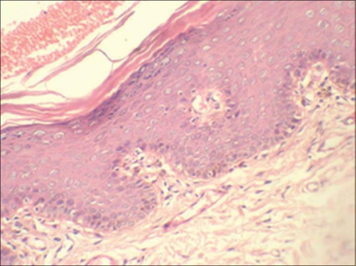
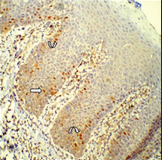
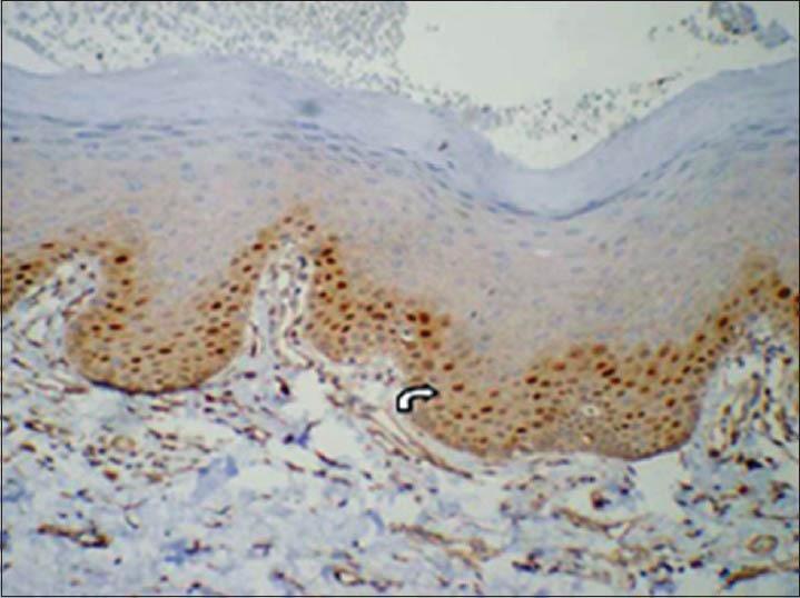
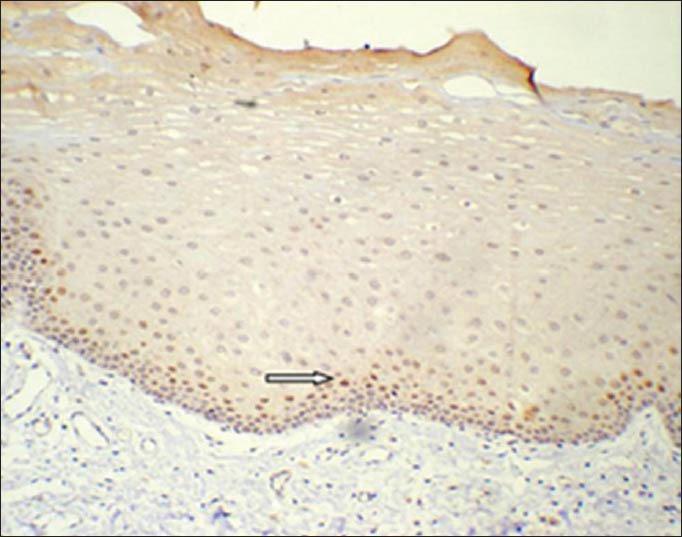
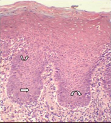
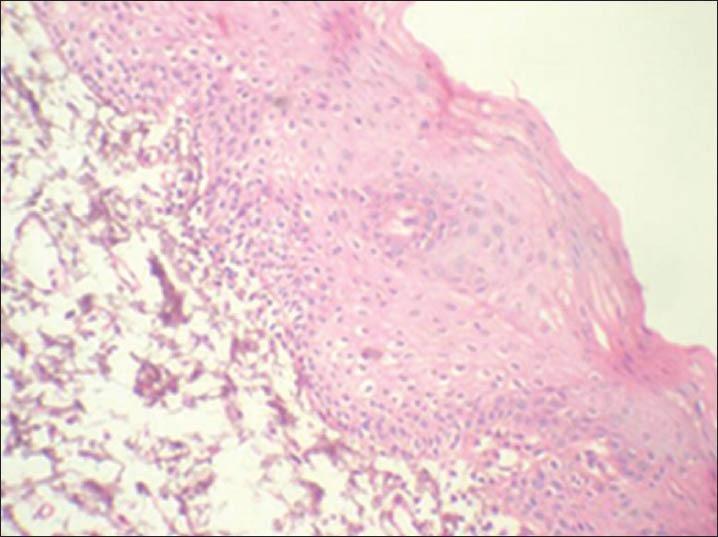
Expression of cyclin D1 in group 3 was significantly higher than in group 1 and 2 (P < 0.001, P = 0.028), expression in group 2 was significantly higher than in group 1 (P = 0.003) and were statistically significant. Generally expression of cyclin D1 was confined to lower one-third of epithelium and was highest in mild dysplasias. Among 13 atypical morphologic features, cyclin D1 expression consistently correlated with basilar hyperplasia.

CONCLUSION

The altered pattern of cyclin D1 expression here may be an early event in conversion of normal epithelium into dysplastic epithelium and may serve as a biomarker of oral carcinogenesis. Its expression may be increased in tobacco habitués. Basilar hyperplasia should be given additional weightage in the grading system in predicting the fate of affected epithelium.

摘要

背景

细胞周期失调是癌症进展的一个基本特征。细胞周期蛋白D1作为调节细胞周期G1-S点且参与复杂分子系统的一部分,在多种肿瘤中过度表达。

目的

研究细胞周期蛋白质D1在有或无吸烟习惯患者的临床正常黏膜、白斑中免疫组化表达情况;并将其表达与个体非典型形态学特征相关联,这些特征可见于显示发育异常的白斑苏木精和伊红(H&E)切片中。

材料与方法

我们检测了15例无任何习惯的正常颊黏膜(第1组)、30例有吸烟习惯的临床正常黏膜(第2组)和30例显示发育异常的白斑(第3组)免疫组化染色切片中细胞周期蛋白D1的表达。进行描述性统计分析。结果以均值±标准差和数量(%)表示。计算调整后的Wald 95%置信区间(CI)以及通过拉普拉斯估计评估的形态学特征百分比。采用Mann-Whitney U检验、Kruskal-Wallis检验来确定细胞周期蛋白D1的表达百分比。

结果

第3组中细胞周期蛋白D1的表达显著高于第1组和第2组(P < 0.001,P = 0.028),第2组中的表达显著高于第1组(P = 0.003),差异具有统计学意义。一般来说,细胞周期蛋白D1的表达局限于上皮的下三分之一,在轻度发育异常中最高。在13种非典型形态学特征中,细胞周期蛋白D1的表达始终与基底增生相关。

结论

此处细胞周期蛋白D1表达模式的改变可能是正常上皮转化为发育异常上皮的早期事件,并且可能作为口腔癌发生的生物标志物。在有吸烟习惯者中其表达可能增加。在预测受影响上皮的转归时,基底增生在分级系统中应给予额外的权重。

https://cdn.ncbi.nlm.nih.gov/pmc/blobs/3be2/3927334/ac71c8d006a4/JOMFP-17-351-g003.jpg

文献AI研究员

20分钟写一篇综述,助力文献阅读效率提升50倍。

立即体验

用中文搜PubMed

大模型驱动的PubMed中文搜索引擎

马上搜索

文档翻译

学术文献翻译模型,支持多种主流文档格式。

立即体验