Suppr超能文献

Clear cell variant of calcifying epithelial odontogenic tumor of maxilla: Report of a rare case.

作者信息

Badrashetty Dinesh, Rangaswamy Shruthi, Belgode Niranjan

机构信息

Department of Oral and Maxillofacial Surgery, Al Jabal Al Ghardi University, Al Zawia, Libya.

Department of Oral and Maxillofacial Surgery, Rajarajeshwari Dental College and Hospital, Bangalore, India.

出版信息

J Oral Maxillofac Pathol. 2013 Sep;17(3):479. doi: 10.4103/0973-029X.125228.

Abstract

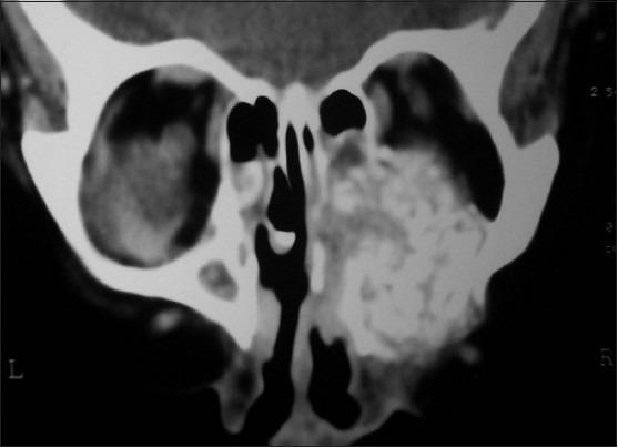
The calcifying epithelial odontogenic tumor (CEOT) is a rare benign tumor of the jaws. Pindborg's tumor having clear cells is extremely rare. Twelve central lesions have been reported of which only three cases have occurred in maxilla. Clear cell variant is a distinct entity, has more aggressive biological behavior and higher chances of recurrence. Hence it is important that presence of clear cells be included in histopathological diagnosis. Here we present a rare case of clear cell CEOT having aggressive behavior.

摘要
https://cdn.ncbi.nlm.nih.gov/pmc/blobs/d5f5/3927364/4448b1c4f490/JOMFP-17-479a-g001.jpg

文献AI研究员

20分钟写一篇综述,助力文献阅读效率提升50倍。

立即体验

用中文搜PubMed

大模型驱动的PubMed中文搜索引擎

马上搜索

文档翻译

学术文献翻译模型,支持多种主流文档格式。

立即体验