Suppr超能文献

用(68)镓标记的生长抑素类似物对神经内分泌肿瘤进行PET/CT成像:印度的综述及单机构经验

PET/CT imaging of neuroendocrine tumors with (68)Gallium-labeled somatostatin analogues: An overview and single institutional experience from India.

作者信息

Sharma Punit, Singh Harmandeep, Bal Chandrasekhar, Kumar Rakesh

机构信息

Department of Nuclear Medicine, All India Institute of Medical Sciences, New Delhi, India.

出版信息

Indian J Nucl Med. 2014 Jan;29(1):2-12. doi: 10.4103/0972-3919.125760.

Abstract

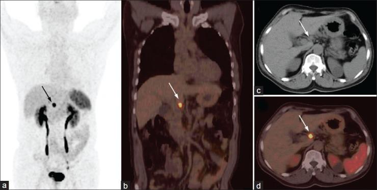
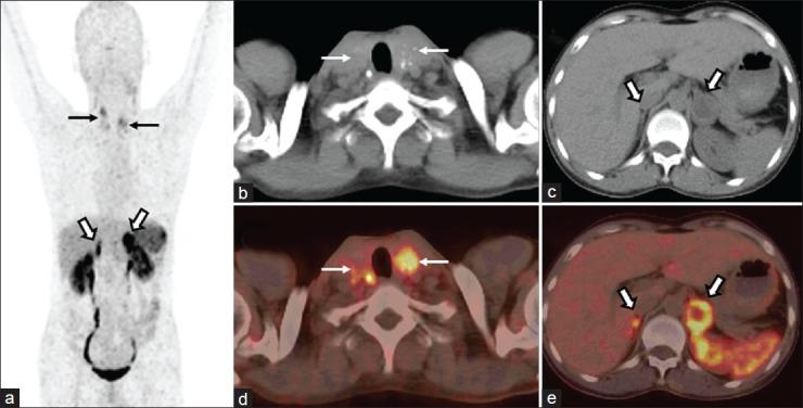
Neuroendocrine tumors (NETs) are rare neoplasms characterized by overexpression of somatostatin receptors (SSTRs). Functional imaging plays a crucial role in management of NETs. Recently, positron emission tomography/computed tomography (PET/CT) with (68)Gallium ((68)Ga)-labeled somatostatin analogues has shown excellent results for imaging of NETs and better results than conventional SSTR scintigraphy. In this review we have discussed the utility of (68)Ga-labeled somatostatin analogue PET/CT in NETs for various established and potential indications. In addition we have also shared our own experience from a tertiary care center in India.

摘要

神经内分泌肿瘤(NETs)是一种罕见的肿瘤,其特征是生长抑素受体(SSTRs)过度表达。功能成像在NETs的管理中起着至关重要的作用。最近,使用(68)镓((68)Ga)标记的生长抑素类似物的正电子发射断层扫描/计算机断层扫描(PET/CT)在NETs成像中显示出优异的结果,并且比传统的SSTR闪烁扫描结果更好。在这篇综述中,我们讨论了(68)Ga标记的生长抑素类似物PET/CT在NETs中用于各种既定和潜在适应症的效用。此外,我们还分享了我们在印度一家三级医疗中心的经验。

https://cdn.ncbi.nlm.nih.gov/pmc/blobs/28a5/3928745/54859de2096f/IJNM-29-2-g002.jpg

文献AI研究员

20分钟写一篇综述,助力文献阅读效率提升50倍。

立即体验

用中文搜PubMed

大模型驱动的PubMed中文搜索引擎

马上搜索

文档翻译

学术文献翻译模型,支持多种主流文档格式。

立即体验