Takeuchi Satoru, Wada Kojiro, Sakakibara Fumihiro, Mori Kentaro
Department of Neurosurgery, National Defense Medical College, Saitama, Japan.
J Korean Neurosurg Soc. 2014 Feb;55(2):89-91. doi: 10.3340/jkns.2014.55.2.89. Epub 2014 Feb 28.
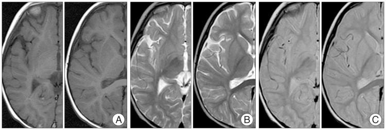
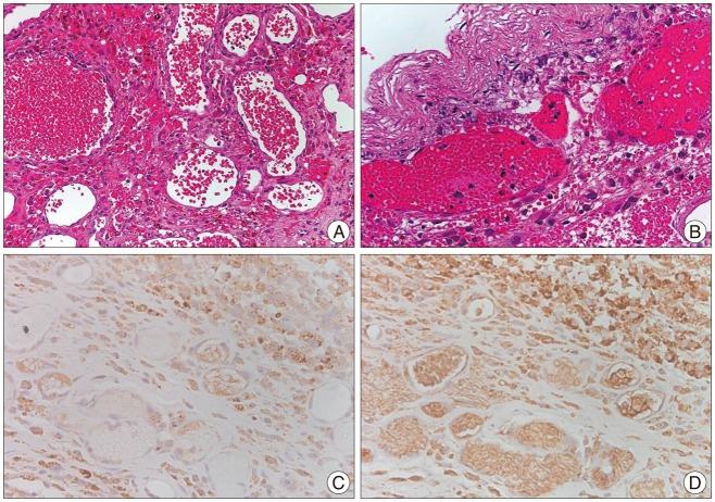
Chronic encapsulated intracerebral hematoma (CEIH) is a rare cerebrovascular disease that behaves as a slowly expanding lesion with a gradual onset. It is well established that CEIH is associated with arteriovenous malformations; however, CEIH associated with cavernous malformation (CM) is extremely rare. We herein report a case of CEIH associated with CM, and discuss its pathogenesis. A 12-year-old female was admitted to our hospital because of a one week history of progressive headache and nausea. Brain computed tomography scan and magnetic resonance imaging showed an intracerebral hematoma surrounded by edema in the right frontal lobe. One week later, her headache and nausea worsened, and a brain computed tomography scan revealed the enlargement of hematoma. A right frontal craniotomy was performed. The capsule, mass, and hematoma were totally removed. Histological examination confirmed the diagnosis of CEIH associated with CM. Immunohistochemical analysis revealed increased expression of vascular endothelial growth factor (VEGF) and the VEGF receptor-1 in the endothelium and fibroblasts. Our findings suggest that the activated VEGF pathway might have positively contributed to development of CEIH in the present patient.
慢性包裹性脑内血肿(CEIH)是一种罕见的脑血管疾病,表现为起病隐匿、缓慢扩大的病灶。目前已明确CEIH与动静脉畸形有关;然而,与海绵状畸形(CM)相关的CEIH极为罕见。我们在此报告一例与CM相关的CEIH病例,并讨论其发病机制。一名12岁女性因进行性头痛和恶心一周入院。脑部计算机断层扫描和磁共振成像显示右额叶有一个被水肿包围的脑内血肿。一周后,她的头痛和恶心加重,脑部计算机断层扫描显示血肿增大。遂行右额开颅手术。完整切除包膜、肿块和血肿。组织学检查确诊为与CM相关的CEIH。免疫组织化学分析显示血管内皮生长因子(VEGF)及其受体-1在内皮细胞和成纤维细胞中的表达增加。我们的研究结果表明,激活的VEGF途径可能对本患者CEIH的发展起到了积极作用。