• 文献检索
  • 文档翻译
  • 深度研究
  • 学术资讯
  • Suppr Zotero 插件Zotero 插件
  • 邀请有礼
  • 套餐&价格
  • 历史记录
应用&插件
Suppr Zotero 插件Zotero 插件浏览器插件Mac 客户端Windows 客户端微信小程序
定价
高级版会员购买积分包购买API积分包
服务
文献检索文档翻译深度研究API 文档MCP 服务
关于我们
关于 Suppr公司介绍联系我们用户协议隐私条款
关注我们

Suppr 超能文献

核心技术专利:CN118964589B侵权必究
粤ICP备2023148730 号-1Suppr @ 2026

文献检索

告别复杂PubMed语法,用中文像聊天一样搜索,搜遍4000万医学文献。AI智能推荐,让科研检索更轻松。

立即免费搜索

文件翻译

保留排版,准确专业,支持PDF/Word/PPT等文件格式,支持 12+语言互译。

免费翻译文档

深度研究

AI帮你快速写综述,25分钟生成高质量综述,智能提取关键信息,辅助科研写作。

立即免费体验

大脑中物质类别的表现形式。

The representation of material categories in the brain.

机构信息

Allgemeine Psychologie, Justus-Liebig-Universitaet Giessen, Germany.

出版信息

Front Psychol. 2014 Mar 12;5:146. doi: 10.3389/fpsyg.2014.00146. eCollection 2014.

DOI:10.3389/fpsyg.2014.00146
PMID:24659972
原文链接:https://pmc.ncbi.nlm.nih.gov/articles/PMC3950415/
Abstract

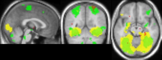
Using textures mapped onto virtual nonsense objects, it has recently been shown that early visual cortex plays an important role in processing material properties. Here, we examined brain activation to photographs of materials, consisting of wood, stone, metal and fabric surfaces. These photographs were close-ups in the sense that the materials filled the image. In the first experiment, observers categorized the material in each image (i.e., wood, stone, metal, or fabric), while in an fMRI-scanner. We predicted the assigned material category using the obtained voxel patterns using a linear classifier. Region-of-interest and whole-brain analyses demonstrated material coding in the early visual regions, with lower accuracies for more anterior regions. There was little evidence for material coding in other brain regions. In the second experiment, we used an adaptation paradigm to reveal additional brain areas involved in the perception of material categories. Participants viewed images of wood, stone, metal, and fabric, presented in blocks with images of either different material categories (no adaptation) or images of different samples from the same material category (material adaptation). To measure baseline activation, blocks with the same material sample were presented (baseline adaptation). Material adaptation effects were found mainly in the parahippocampal gyrus, in agreement with fMRI-studies of texture perception. Our findings suggest that the parahippocampal gyrus, early visual cortex, and possibly the supramarginal gyrus are involved in the perception of material categories, but in different ways. The different outcomes from the two studies are likely due to inherent differences between the two paradigms. A third experiment suggested, based on anatomical overlap between activations, that spatial frequency information is important for within-category material discrimination.

摘要

利用映射到虚拟无意义物体的纹理,最近已经证明早期视觉皮层在处理材料属性方面起着重要作用。在这里,我们研究了对材料照片的大脑激活,这些材料包括木材、石材、金属和织物表面。这些照片是特写镜头,因为材料充满了图像。在第一个实验中,观察者在 fMRI 扫描仪中对每张图像中的材料(即木材、石材、金属或织物)进行分类。我们使用获得的体素模式使用线性分类器预测分配的材料类别。感兴趣区域和全脑分析表明,早期视觉区域存在材料编码,前部区域的准确性较低。在其他大脑区域几乎没有证据表明存在材料编码。在第二个实验中,我们使用适应范式来揭示参与感知材料类别的其他大脑区域。参与者观看木材、石材、金属和织物的图像,以块的形式呈现,块中包含不同的材料类别(无适应)或来自同一材料类别的不同样本的图像(材料适应)。为了测量基线激活,呈现具有相同材料样本的块(基线适应)。材料适应效应主要出现在旁海马回中,与纹理感知的 fMRI 研究一致。我们的研究结果表明,旁海马回、早期视觉皮层以及可能的缘上回参与了材料类别的感知,但方式不同。这两个研究的不同结果可能是由于两个范式之间的固有差异造成的。第三个实验基于激活之间的解剖重叠表明,空间频率信息对于类别内的材料辨别很重要。

https://cdn.ncbi.nlm.nih.gov/pmc/blobs/6a9e/3950415/f382081c6e25/fpsyg-05-00146-g0010.jpg
https://cdn.ncbi.nlm.nih.gov/pmc/blobs/6a9e/3950415/242824b98c83/fpsyg-05-00146-g0001.jpg
https://cdn.ncbi.nlm.nih.gov/pmc/blobs/6a9e/3950415/1698b5b07c14/fpsyg-05-00146-g0002.jpg
https://cdn.ncbi.nlm.nih.gov/pmc/blobs/6a9e/3950415/d0f5418d7b6d/fpsyg-05-00146-g0003.jpg
https://cdn.ncbi.nlm.nih.gov/pmc/blobs/6a9e/3950415/ec5dd72c8fb0/fpsyg-05-00146-g0004.jpg
https://cdn.ncbi.nlm.nih.gov/pmc/blobs/6a9e/3950415/210489ad94ff/fpsyg-05-00146-g0005.jpg
https://cdn.ncbi.nlm.nih.gov/pmc/blobs/6a9e/3950415/96398b7b3c60/fpsyg-05-00146-g0006.jpg
https://cdn.ncbi.nlm.nih.gov/pmc/blobs/6a9e/3950415/4c830522a520/fpsyg-05-00146-g0007.jpg
https://cdn.ncbi.nlm.nih.gov/pmc/blobs/6a9e/3950415/5c2db6a9ba15/fpsyg-05-00146-g0008.jpg
https://cdn.ncbi.nlm.nih.gov/pmc/blobs/6a9e/3950415/efc94f1d2c9a/fpsyg-05-00146-g0009.jpg
https://cdn.ncbi.nlm.nih.gov/pmc/blobs/6a9e/3950415/f382081c6e25/fpsyg-05-00146-g0010.jpg
https://cdn.ncbi.nlm.nih.gov/pmc/blobs/6a9e/3950415/242824b98c83/fpsyg-05-00146-g0001.jpg
https://cdn.ncbi.nlm.nih.gov/pmc/blobs/6a9e/3950415/1698b5b07c14/fpsyg-05-00146-g0002.jpg
https://cdn.ncbi.nlm.nih.gov/pmc/blobs/6a9e/3950415/d0f5418d7b6d/fpsyg-05-00146-g0003.jpg
https://cdn.ncbi.nlm.nih.gov/pmc/blobs/6a9e/3950415/ec5dd72c8fb0/fpsyg-05-00146-g0004.jpg
https://cdn.ncbi.nlm.nih.gov/pmc/blobs/6a9e/3950415/210489ad94ff/fpsyg-05-00146-g0005.jpg
https://cdn.ncbi.nlm.nih.gov/pmc/blobs/6a9e/3950415/96398b7b3c60/fpsyg-05-00146-g0006.jpg
https://cdn.ncbi.nlm.nih.gov/pmc/blobs/6a9e/3950415/4c830522a520/fpsyg-05-00146-g0007.jpg
https://cdn.ncbi.nlm.nih.gov/pmc/blobs/6a9e/3950415/5c2db6a9ba15/fpsyg-05-00146-g0008.jpg
https://cdn.ncbi.nlm.nih.gov/pmc/blobs/6a9e/3950415/efc94f1d2c9a/fpsyg-05-00146-g0009.jpg
https://cdn.ncbi.nlm.nih.gov/pmc/blobs/6a9e/3950415/f382081c6e25/fpsyg-05-00146-g0010.jpg

相似文献

1
The representation of material categories in the brain.大脑中物质类别的表现形式。
Front Psychol. 2014 Mar 12;5:146. doi: 10.3389/fpsyg.2014.00146. eCollection 2014.
2
Image Statistics and the Representation of Material Properties in the Visual Cortex.图像统计与视觉皮层中物质属性的表征
Front Psychol. 2016 Aug 17;7:1185. doi: 10.3389/fpsyg.2016.01185. eCollection 2016.
3
The relative contributions of visual and semantic information in the neural representation of object categories.视觉信息和语义信息在物体类别神经表示中的相对贡献。
Brain Behav. 2019 Oct;9(10):e01373. doi: 10.1002/brb3.1373. Epub 2019 Sep 27.
4
Representation of the material properties of objects in the visual cortex of nonhuman primates.非人类灵长类动物视觉皮层中物体的材料属性的表示。
J Neurosci. 2014 Feb 12;34(7):2660-73. doi: 10.1523/JNEUROSCI.2593-13.2014.
5
The Contribution of Object Shape and Surface Properties to Object Ensemble Representation in Anterior-medial Ventral Visual Cortex.物体形状和表面属性对腹侧视觉皮层前内侧区物体整体表征的贡献
J Cogn Neurosci. 2017 Feb;29(2):398-412. doi: 10.1162/jocn_a_01050. Epub 2016 Sep 27.
6
Neural correlates of visual short-term memory for objects with material categories.具有材料类别的物体视觉短期记忆的神经关联
Heliyon. 2019 Dec 24;5(12):e03032. doi: 10.1016/j.heliyon.2019.e03032. eCollection 2019 Dec.
7
The representation of shape and texture in category-selective regions of ventral-temporal cortex.腹侧颞叶皮层的类别选择区域中的形状和纹理表示。
Eur J Neurosci. 2022 Aug;56(3):4107-4120. doi: 10.1111/ejn.15737. Epub 2022 Jun 21.
8
Temporal properties of material categorization and material rating: visual vs non-visual material features.材料分类和材料评级的时间特性:视觉与非视觉材料特征
Vision Res. 2015 Oct;115(Pt B):259-70. doi: 10.1016/j.visres.2014.12.011. Epub 2014 Dec 20.
9
fMRI evidence of aberrant neural adaptation for objects in schizophrenia and bipolar disorder.精神分裂症和双相情感障碍患者对物体的神经适应异常的 fMRI 证据。
Hum Brain Mapp. 2019 Apr 1;40(5):1608-1617. doi: 10.1002/hbm.24472. Epub 2018 Dec 21.
10
Decoding multiple sound categories in the human temporal cortex using high resolution fMRI.使用高分辨率功能磁共振成像解码人类颞叶皮质中的多种声音类别。
PLoS One. 2015 Feb 18;10(2):e0117303. doi: 10.1371/journal.pone.0117303. eCollection 2015.

引用本文的文献

1
Core dimensions of human material perception.人类物质感知的核心维度。
Proc Natl Acad Sci U S A. 2025 Mar 11;122(10):e2417202122. doi: 10.1073/pnas.2417202122. Epub 2025 Mar 5.
2
Trypophobia, skin disease, and the visual discomfort of natural textures.密集恐惧症、皮肤病,以及对天然纹理的视觉不适。
Sci Rep. 2024 Feb 29;14(1):5050. doi: 10.1038/s41598-024-55149-8.
3
Sustainable materials: a linking bridge between material perception, affordance, and aesthetics.可持续材料:材料感知、功能可供性与美学之间的桥梁

本文引用的文献

1
Frequency-based heuristics for material perception.基于频率的物质感知启发法。
J Vis. 2013 Dec 6;13(14):7. doi: 10.1167/13.14.7.
2
The speed and accuracy of material recognition in natural images.自然图像中材料识别的速度和准确性。
Atten Percept Psychophys. 2013 Jul;75(5):954-66. doi: 10.3758/s13414-013-0436-y.
3
Selective responses to specular surfaces in the macaque visual cortex revealed by fMRI.通过 fMRI 揭示猕猴视觉皮层对镜面表面的选择性反应。
Front Psychol. 2024 Jan 8;14:1307467. doi: 10.3389/fpsyg.2023.1307467. eCollection 2023.
4
Children's use of local and global visual features for material perception.儿童利用局部和全局视觉特征进行材料感知。
J Vis. 2020 Feb 10;20(2):10. doi: 10.1167/jov.20.2.10.
5
Children's use of visual summary statistics for material categorization.儿童使用视觉摘要统计进行材料分类。
J Vis. 2017 Oct 1;17(12):22. doi: 10.1167/17.12.22.
6
Conjoint representation of texture ensemble and location in the parahippocampal place area.海马旁回位置区域中纹理集合与位置的联合表征。
J Neurophysiol. 2017 Apr 1;117(4):1595-1607. doi: 10.1152/jn.00338.2016. Epub 2017 Jan 25.
7
Image Statistics and the Representation of Material Properties in the Visual Cortex.图像统计与视觉皮层中物质属性的表征
Front Psychol. 2016 Aug 17;7:1185. doi: 10.3389/fpsyg.2016.01185. eCollection 2016.
8
Aesthetics by Numbers: Links between Perceived Texture Qualities and Computed Visual Texture Properties.数字美学:感知纹理质量与计算视觉纹理属性之间的联系
Front Hum Neurosci. 2016 Jul 21;10:343. doi: 10.3389/fnhum.2016.00343. eCollection 2016.
9
The Visual N1 Is Sensitive to Deviations from Natural Texture Appearance.视觉N1对自然纹理外观的偏差敏感。
PLoS One. 2015 Sep 10;10(9):e0136471. doi: 10.1371/journal.pone.0136471. eCollection 2015.
Neuroimage. 2012 Nov 15;63(3):1321-33. doi: 10.1016/j.neuroimage.2012.07.052. Epub 2012 Aug 1.
4
Feature-based attention affects direction-selective fMRI adaptation in hMT+.基于特征的注意力影响 hMT+中的方向选择性 fMRI 适应。
Cereb Cortex. 2013 Sep;23(9):2169-78. doi: 10.1093/cercor/bhs192. Epub 2012 Aug 8.
5
Neural selectivity and representation of gloss in the monkey inferior temporal cortex.猴下颞叶皮层中 gloss 的神经选择性和表示。
J Neurosci. 2012 Aug 1;32(31):10780-93. doi: 10.1523/JNEUROSCI.1095-12.2012.
6
Neural correlates of visual aesthetics--beauty as the coalescence of stimulus and internal state.视觉美学的神经关联——美是刺激与内部状态的融合。
PLoS One. 2012;7(2):e31248. doi: 10.1371/journal.pone.0031248. Epub 2012 Feb 22.
7
Neural responses to visual scenes reveals inconsistencies between fMRI adaptation and multivoxel pattern analysis.对视觉场景的神经反应揭示了 fMRI 适应和多体素模式分析之间的不一致。
Neuropsychologia. 2012 Mar;50(4):530-43. doi: 10.1016/j.neuropsychologia.2011.09.042. Epub 2011 Oct 5.
8
The role of brightness and orientation congruence in the perception of surface gloss.亮度和方向一致性在表面光泽感知中的作用。
J Vis. 2011 Aug 1;11(9):16. doi: 10.1167/11.9.16.
9
The perception of gloss depends on highlight congruence with surface shading.光泽感取决于高光与表面阴影的一致性。
J Vis. 2011 Aug 12;11(9):4. doi: 10.1167/11.9.4.
10
Scratching beneath the surface: new insights into the functional properties of the lateral occipital area and parahippocampal place area.挖掘表象之下的本质:外侧枕叶区和海马旁回位置区功能特性的新见解。
J Neurosci. 2011 Jun 1;31(22):8248-58. doi: 10.1523/JNEUROSCI.6113-10.2011.