Suppr超能文献

转录因子ZBED6通过调节成肌细胞中的启动子活性和DNA甲基化来介导IGF2基因表达。

Transcription factor ZBED6 mediates IGF2 gene expression by regulating promoter activity and DNA methylation in myoblasts.

作者信息

Huang Yong-Zhen, Zhang Liang-Zhi, Lai Xin-Sheng, Li Ming-Xun, Sun Yu-Jia, Li Cong-Jun, Lan Xian-Yong, Lei Chu-Zhao, Zhang Chun-Lei, Zhao Xin, Chen Hong

机构信息

College of Animal Science and Technology, Northwest A&F University, Shaanxi Key Laboratory of Molecular Biology for Agriculture, Yangling Shaanxi, People's Republic of China.

United States Department of Agriculture-Agricultural Research Service, Bovine Functional Genomics Laboratory, Beltsville, Maryland, United States of America.

出版信息

Sci Rep. 2014 Apr 2;4:4570. doi: 10.1038/srep04570.

Abstract

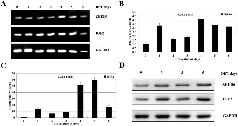
Zinc finger, BED-type containing 6 (ZBED6) is an important transcription factor in placental mammals, affecting development, cell proliferation and growth. In this study, we found that the expression of the ZBED6 and IGF2 were upregulated during C2C12 differentiation. The IGF2 expression levels were negatively associated with the methylation status in beef cattle (P < 0.05). A luciferase assay for the IGF2 intron 3 and P3 promoter showed that the mutant-type 439 A-SNP-pGL3 in driving reporter gene transcription is significantly higher than that of the wild-type 439 G-SNP-pGL3 construct (P < 0.05). An over-expression assay revealed that ZBED6 regulate IGF2 expression and promote myoblast differentiation. Furthermore, knockdown of ZBED6 led to IGF2 expression change in vitro. Taken together, these results suggest that ZBED6 inhibits IGF2 activity and expression via a G to A transition disrupts the interaction. Thus, we propose that ZBED6 plays a critical role in myogenic differentiation.

摘要

含BED结构域的锌指蛋白6(ZBED6)是胎盘哺乳动物中的一种重要转录因子,影响发育、细胞增殖和生长。在本研究中,我们发现ZBED6和IGF2在C2C12分化过程中表达上调。肉牛中IGF2的表达水平与甲基化状态呈负相关(P < 0.05)。对IGF2内含子3和P3启动子进行的荧光素酶检测表明,驱动报告基因转录的突变型439 A-SNP-pGL3显著高于野生型439 G-SNP-pGL3构建体(P < 0.05)。过表达实验表明,ZBED6调节IGF2表达并促进成肌细胞分化。此外,敲低ZBED6导致体外IGF2表达发生变化。综上所述,这些结果表明ZBED6通过G到A的转变破坏相互作用来抑制IGF2活性和表达。因此,我们认为ZBED6在肌源性分化中起关键作用。

https://cdn.ncbi.nlm.nih.gov/pmc/blobs/0cd2/3972505/43c79810dce7/srep04570-f1.jpg

文献AI研究员

20分钟写一篇综述,助力文献阅读效率提升50倍。

立即体验

用中文搜PubMed

大模型驱动的PubMed中文搜索引擎

马上搜索

文档翻译

学术文献翻译模型,支持多种主流文档格式。

立即体验