Suppr超能文献

Severe cholestatic jaundice after a single administration of ajmaline; a case report and review of the literature.

作者信息

Mullish Benjamin H, Fofaria Rishi K, Smith Belinda C, Lloyd Kirsty, Lloyd Josephine, Goldin Robert D, Dhar Ameet

机构信息

Section of Hepatology, Department of Medicine, St Mary's Hospital, Imperial College London, London, UK.

出版信息

BMC Gastroenterol. 2014 Apr 2;14:60. doi: 10.1186/1471-230X-14-60.

Abstract

BACKGROUND

Ajmaline is a pharmaceutical agent now administered globally for a variety of indications, particularly investigation of suspected Brugada syndrome. There have been previous reports suggesting that repetitive use of this agent may cause severe liver injury, but little evidence exists demonstrating the same effect after only a single administration.

CASE PRESENTATION

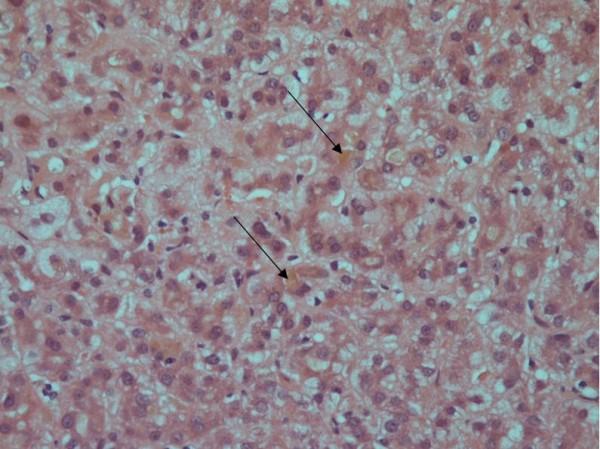
A 33-year-old man of Libyan origin with no significant past medical history underwent an ajmaline provocation test for investigation of suspected Brugada syndrome. Three weeks later, he presented with painless cholestatic jaundice which peaked in severity at eleven weeks after the test. Blood tests confirmed no evidence of autoimmune or viral liver disease, whilst imaging confirmed the absence of biliary tract obstruction. A liver biopsy demonstrated centrilobular cholestasis and focal rosetting of hepatocytes, consistent with a cholestatic drug reaction. Over the course of the next few months, he began to improve clinically and biochemically, with complete resolution by one year post-exposure.

CONCLUSION

Whilst ajmaline-related hepatotoxicity was well-recognised in the era in which the drug was administered as a regular medication, clinicians should be aware that ajmaline may induce severe cholestatic jaundice even after a single dose administration.

摘要
https://cdn.ncbi.nlm.nih.gov/pmc/blobs/a693/3977671/35bc3952294e/1471-230X-14-60-1.jpg

相似文献

2
Cholestatic hepatitis after diagnostic ajmaline challenge.
Acta Gastroenterol Belg. 2017 Jul-Sep;80(3):425-426.
3
'Intrahepatic cholestatic hepatitis following diagnostic ajmaline challenge'.
Europace. 2013 Mar;15(3):314. doi: 10.1093/europace/eus206. Epub 2012 Jul 17.
4
Prolonged cholestasis after ajmaline-induced acute hepatitis.
J Hepatol. 1986;2(1):81-7. doi: 10.1016/s0168-8278(86)80011-3.
5
[Preajmaline-induced cholestatic hepatitis].
Harefuah. 1991 Nov 15;121(10):380-1.
7
Hydralazine-induced cholestatic hepatitis.
Am J Ther. 2009 Jul-Aug;16(4):371-3. doi: 10.1097/MJT.0b013e31817fde85.
10
Comparison of Ajmaline and Procainamide Provocation Tests in the Diagnosis of Brugada Syndrome.
JACC Clin Electrophysiol. 2019 Apr;5(4):504-512. doi: 10.1016/j.jacep.2019.01.026. Epub 2019 Mar 27.

本文引用的文献

1
'Intrahepatic cholestatic hepatitis following diagnostic ajmaline challenge'.
Europace. 2013 Mar;15(3):314. doi: 10.1093/europace/eus206. Epub 2012 Jul 17.
2
Susceptibility to amoxicillin-clavulanate-induced liver injury is influenced by multiple HLA class I and II alleles.
Gastroenterology. 2011 Jul;141(1):338-47. doi: 10.1053/j.gastro.2011.04.001. Epub 2011 Apr 12.
3
Human leucocyte antigen class II genotype in susceptibility and resistance to co-amoxiclav-induced liver injury.
J Hepatol. 2010 Dec;53(6):1049-53. doi: 10.1016/j.jhep.2010.05.033. Epub 2010 Aug 1.
4
HLA-B*5701 genotype is a major determinant of drug-induced liver injury due to flucloxacillin.
Nat Genet. 2009 Jul;41(7):816-9. doi: 10.1038/ng.379. Epub 2009 May 31.
5
The ajmaline challenge in Brugada syndrome: a useful tool or misleading information?
Eur Heart J. 2003 Jun;24(12):1085-6. doi: 10.1016/s0195-668x(03)00232-x.
6
CYP2D6 allele frequency in European Caucasians, Asians, Africans and their descendants.
Pharmacogenomics. 2002 Mar;3(2):229-43. doi: 10.1517/14622416.3.2.229.
10
Cholestatic jaundice: an immune response to prajmalium bitartrate.
Postgrad Med J. 1980 Oct;56(660):738-41. doi: 10.1136/pgmj.56.660.738.

文献AI研究员

20分钟写一篇综述,助力文献阅读效率提升50倍。

立即体验

用中文搜PubMed

大模型驱动的PubMed中文搜索引擎

马上搜索

文档翻译

学术文献翻译模型,支持多种主流文档格式。

立即体验