Suppr超能文献

人感染 H7N9 禽流感肺炎患者的放射学表现与病死率的相关性。

Association of radiologic findings with mortality in patients with avian influenza H7N9 pneumonia.

机构信息

Department of Radiology, Shanghai Public Health Clinical Center, Fudan University, Shanghai, China; Department of Radiology, Nantong Tumor Hospital, Nantong University, Nantong, China.

Department of Radiology, Shanghai Public Health Clinical Center, Fudan University, Shanghai, China; Cancer Center, University of Michigan, Ann Arbor, Michigan, United States of America.

出版信息

PLoS One. 2014 Apr 4;9(4):e93885. doi: 10.1371/journal.pone.0093885. eCollection 2014.

Abstract

BACKGROUND

The novel H7N9 virus causes severe illness, including pneumonia and acute respiratory distress syndrome, with high rates of mortality. We investigated the association of initial radiologic characteristics obtained at admission with clinical outcomes in patients with avian influenza H7N9 pneumonia.

METHODS

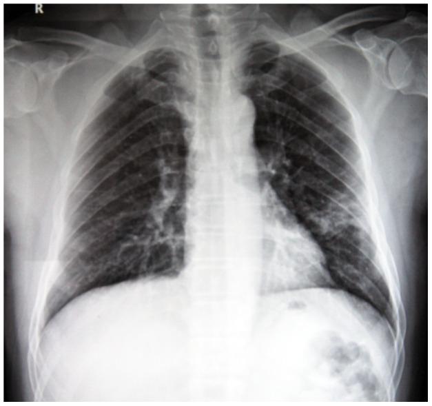
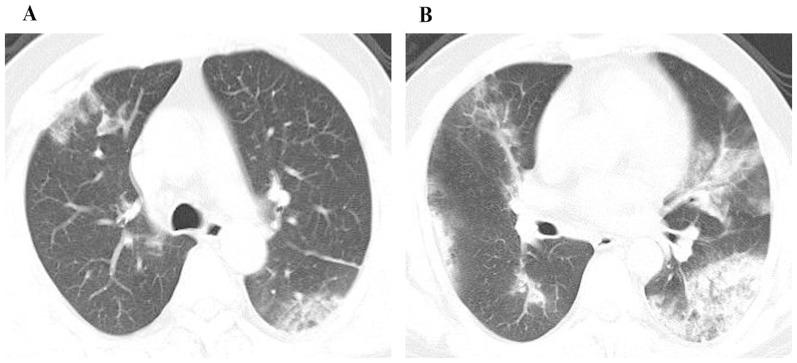
Demographics, comorbidities, clinical findings, radiologic appearance and scores of the affected lung parenchyma were compared between survivor group (n = 15) and mortality group (n = 7). Two radiologic scores were calculated, one using chest radiography and one using CT. Follow-up CT scans at discharge were analyzed in 12 patients of the survival group.

RESULTS

All the patients in mortality group developed acute respiratory distress syndrome and required mechanical ventilation, while in the survival group 33% (5/15) developed acute respiratory distress syndrome (P<0.05) and 27% (4/15) required mechanical ventilation (P<0.05). The mean radiographic and CT scores of the mortality group were 50% higher compared to the survival group (P<0.05). ROC analysis revealed an area under curve of 0.738 for the radiographic score with an optimal cutoff value of a score of 19 for prediction of mortality, with a sensitivity of 71% and a specificity of 67%, and an area under curve of 0.833 for the CT score with an optimal cutoff value of a CT score of 21 for prediction of mortality, with a sensitivity of 86% and a specificity of 73%. The mean CT score of the affected lung parenchyma at discharge was 30% lower than the initial CT examination (P<0.05).

CONCLUSION

High initial radiologic score is associated with mortality in patients with avian influenza H7N9 pneumonia.

摘要

背景

新型 H7N9 病毒可引起严重疾病,包括肺炎和急性呼吸窘迫综合征,死亡率较高。我们研究了人感染 H7N9 禽流感肺炎患者入院时初始影像学特征与临床结局的相关性。

方法

比较存活组(n=15)和死亡组(n=7)的人口统计学、合并症、临床发现、肺部受累的影像学表现和评分。计算了两种影像学评分,一种使用胸部 X 线摄影,另一种使用 CT。对存活组 12 例患者的出院后随访 CT 扫描进行了分析。

结果

死亡组所有患者均发生急性呼吸窘迫综合征并需要机械通气,而存活组中 33%(5/15)发生急性呼吸窘迫综合征(P<0.05),27%(4/15)需要机械通气(P<0.05)。死亡组的平均放射学和 CT 评分比存活组高 50%(P<0.05)。ROC 分析显示,放射学评分的曲线下面积为 0.738,最佳截断值为 19 分,预测死亡率的敏感性为 71%,特异性为 67%,CT 评分的曲线下面积为 0.833,最佳截断值为 21 分,预测死亡率的敏感性为 86%,特异性为 73%。出院时肺部受累 CT 评分平均比初始 CT 检查低 30%(P<0.05)。

结论

人感染 H7N9 禽流感肺炎患者初始影像学评分高与死亡率相关。

https://cdn.ncbi.nlm.nih.gov/pmc/blobs/f52a/3976364/e87509bda605/pone.0093885.g001.jpg

文献AI研究员

20分钟写一篇综述,助力文献阅读效率提升50倍。

立即体验

用中文搜PubMed

大模型驱动的PubMed中文搜索引擎

马上搜索

文档翻译

学术文献翻译模型,支持多种主流文档格式。

立即体验