Suppr超能文献

炎症性肠病中抗TNF-α治疗继发的肝损伤:病例系列及文献综述

Liver Injury Secondary to Anti-TNF-Alpha Therapy in Inflammatory Bowel Disease: A Case Series and Review of the Literature.

作者信息

Parekh Ravish, Kaur Nirmal

机构信息

Inflammatory Bowel Disease Center, Henry Ford Health System, 39450 West Twelve Mile Roud, Novi, MI 48377, USA.

出版信息

Case Rep Gastrointest Med. 2014;2014:956463. doi: 10.1155/2014/956463. Epub 2014 Jan 19.

Abstract

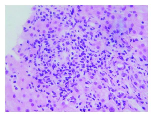
Background. Biologic therapy to inhibit tumor necrosis factor-alpha (TNF- α ) is an effective, safe treatment for patients with inflammatory bowel disease (IBD). All TNF- α inhibitors have been associated with liver toxicity, but many of these cases have been reported in patients receiving therapy for rheumatologic disease. Herein we report the first single-center case series of TNF- α antagonist related liver injury in patients with IBD. Methods. A retrospective case series was performed at the Henry Ford Inflammatory Bowel Diseases Center. IRB approval was obtained. Results. 2 patients were treated with infliximab, whereas the 3rd patient was treated with adalimumab for IBD. All 3 patients had negative viral markers, normal autoimmune serologies, and normal biliary imaging studies. Liver biopsy was performed in all 3 patients, and evidence of portal inflammation was seen. Liver enzymes normalized after discontinuation of therapy in all patients, and no long term effects have been observed. One patient was successfully transitioned from infliximab to adalimumab without relapse of either IBD or liver injury. Conclusion. Liver injury secondary to TNF- α antagonist is an underrecognized, important clinical entity with potentially serious consequences. The mechanism of drug-induced injury is idiosyncratic. Larger cohort studies are needed to establish risk factors and injury patterns related to hepatotoxicity in these patients.

摘要

背景。抑制肿瘤坏死因子-α(TNF-α)的生物疗法是治疗炎症性肠病(IBD)患者的一种有效、安全的方法。所有TNF-α抑制剂均与肝毒性有关,但其中许多病例是在接受风湿性疾病治疗的患者中报告的。在此,我们报告了首例单中心IBD患者中与TNF-α拮抗剂相关的肝损伤病例系列。方法。在亨利福特炎症性肠病中心进行了一项回顾性病例系列研究。获得了机构审查委员会(IRB)的批准。结果。2例患者接受英夫利昔单抗治疗,而第3例患者接受阿达木单抗治疗IBD。所有3例患者病毒标志物均为阴性,自身免疫血清学正常,胆道影像学检查正常。所有3例患者均进行了肝活检,可见门静脉炎症证据。所有患者停药后肝酶均恢复正常,且未观察到长期影响。1例患者成功从英夫利昔单抗转换为阿达木单抗,IBD和肝损伤均未复发。结论。TNF-α拮抗剂继发的肝损伤是一种未被充分认识的重要临床实体,可能产生严重后果。药物性损伤的机制是特异质的。需要更大规模的队列研究来确定这些患者肝毒性的危险因素和损伤模式。

https://cdn.ncbi.nlm.nih.gov/pmc/blobs/5170/3966260/13243110e532/CRIGM2014-956463.001.jpg

相似文献

1
Liver Injury Secondary to Anti-TNF-Alpha Therapy in Inflammatory Bowel Disease: A Case Series and Review of the Literature.
Case Rep Gastrointest Med. 2014;2014:956463. doi: 10.1155/2014/956463. Epub 2014 Jan 19.
2
New onset idiosyncratic liver enzyme elevations with biological therapy in inflammatory bowel disease.
Aliment Pharmacol Ther. 2015 May;41(10):972-9. doi: 10.1111/apt.13159. Epub 2015 Mar 10.
4
New Onset Autoimmune Hepatitis during Anti-Tumor Necrosis Factor-Alpha Treatment in Children.
J Pediatr. 2018 Mar;194:128-135.e1. doi: 10.1016/j.jpeds.2017.10.071. Epub 2017 Dec 21.
5
The safety and efficacy of antitumour necrosis factor-alpha therapy for inflammatory bowel disease in patients post liver transplantation: a case series.
Aliment Pharmacol Ther. 2012 Jul;36(2):159-65. doi: 10.1111/j.1365-2036.2012.05141.x. Epub 2012 May 23.
8
Autoimmune hepatitis and anti-tumor necrosis factor alpha therapy: A single center report of 8 cases.
World J Gastroenterol. 2015 Jun 28;21(24):7584-8. doi: 10.3748/wjg.v21.i24.7584.

引用本文的文献

1
Inflammatory Bowel Disease Therapies and Acute Liver Injury.
Toxics. 2024 Jun 8;12(6):421. doi: 10.3390/toxics12060421.
2
Managing the Patient with Psoriasis and Metabolic Comorbidities.
Am J Clin Dermatol. 2024 Jul;25(4):527-540. doi: 10.1007/s40257-024-00857-0. Epub 2024 May 15.
3
Focus on Anti-Tumour Necrosis Factor (TNF)-α-Related Autoimmune Diseases.
Int J Mol Sci. 2023 May 3;24(9):8187. doi: 10.3390/ijms24098187.
4
Liver biopsy in inflammatory bowel disease patients with sustained abnormal liver function tests: a retrospective single-center study.
Ann Gastroenterol. 2023 Jan-Feb;36(1):54-60. doi: 10.20524/aog.2023.0761. Epub 2022 Nov 15.
5
Idiosyncratic Drug-Induced Liver Injury: Mechanistic and Clinical Challenges.
Int J Mol Sci. 2021 Mar 14;22(6):2954. doi: 10.3390/ijms22062954.
6
Biologic and Checkpoint Inhibitor-Induced Liver Injury: A Systematic Literature Review.
Hepatol Commun. 2020 Jan 2;4(2):172-184. doi: 10.1002/hep4.1465. eCollection 2020 Feb.
8
Lipid nanoparticles silence tumor necrosis factor α to improve wound healing in diabetic mice.
Bioeng Transl Med. 2018 Dec 20;4(1):75-82. doi: 10.1002/btm2.10123. eCollection 2019 Jan.
9
Role of Biologics in the Development of Autoimmune Hepatitis: A Review.
J Clin Transl Hepatol. 2018 Dec 28;6(4):402-409. doi: 10.14218/JCTH.2018.00039. Epub 2018 Dec 15.
10
Harmful Effects and Potential Benefits of Anti-Tumor Necrosis Factor (TNF)-α on the Liver.
Int J Mol Sci. 2018 Jul 27;19(8):2199. doi: 10.3390/ijms19082199.

本文引用的文献

1
Tumor necrosis factor inhibitors for inflammatory bowel disease.
N Engl J Med. 2013 Aug 22;369(8):754-62. doi: 10.1056/NEJMct1209614.
2
Liver injury from tumor necrosis factor-α antagonists: analysis of thirty-four cases.
Clin Gastroenterol Hepatol. 2013 May;11(5):558-564.e3. doi: 10.1016/j.cgh.2012.12.025. Epub 2013 Jan 17.
3
4
Infliximab-induced autoimmune hepatitis in Crohn's disease treated with budesonide and mycophenolate.
Inflamm Bowel Dis. 2011 Nov;17(11):E149-50. doi: 10.1002/ibd.21880. Epub 2011 Aug 30.
5
Infliximab-induced autoimmune hepatitis with successful switch to adalimumab in a patient with Crohn's disease: the index case.
Dig Dis Sci. 2011 Nov;56(11):3386-8. doi: 10.1007/s10620-011-1748-1. Epub 2011 May 20.
6
Autoimmune hepatitis during infliximab therapy for Crohn's disease: a case report.
J Crohns Colitis. 2011 Jun;5(3):253-5. doi: 10.1016/j.crohns.2010.12.007. Epub 2011 Feb 11.
7
Efficacy of biological therapies in inflammatory bowel disease: systematic review and meta-analysis.
Am J Gastroenterol. 2011 Apr;106(4):644-59, quiz 660. doi: 10.1038/ajg.2011.73. Epub 2011 Mar 15.
9
Hepatotoxicity of agents used in the management of inflammatory bowel disease.
Dig Dis. 2010;28(3):508-18. doi: 10.1159/000320410. Epub 2010 Sep 30.

文献AI研究员

20分钟写一篇综述,助力文献阅读效率提升50倍。

立即体验

用中文搜PubMed

大模型驱动的PubMed中文搜索引擎

马上搜索

文档翻译

学术文献翻译模型,支持多种主流文档格式。

立即体验