Suppr超能文献

SLC38A1的过表达与中国胃癌患者较差的预后相关。

Overexpression of SLC38A1 is associated with poorer prognosis in Chinese patients with gastric cancer.

作者信息

Xie Jing, Li Ping, Gao Hui-Feng, Qian Jian-Xin, Yuan Ling-Yan, Wang Jie-Jun

机构信息

Department of Integrative Oncology, Fudan University Shanghai Cancer Center; Department of Oncology, Shanghai Medical College, Fudan University, 270 DongAn Road, Shanghai 200032, China.

出版信息

BMC Gastroenterol. 2014 Apr 9;14:70. doi: 10.1186/1471-230X-14-70.

Abstract

BACKGROUND

Current literature has demonstrated that host glutamine depletion facilitates tumorigenesis. Likewise, the glutamine transporter SLC38A1 is putatively associated with malignant transformation and tumor progression. Taken together, this forms the premise for undertaking the current study. The twofold aim of this study was to provide insight into whether or not a variance in the expression of SLC38A1 exists between human gastric cancer and healthy human tissues, and to determine how silencing the SLC38A1 gene could affect the proliferation, viability, migration, and invasion of gastric cancer cells.

METHODS

Immunohistochemical staining was used to analyze the expression of SLC38A1 in gastric cancer tissues and adjacent healthy mucosa in 896 patients with pathologically confirmed gastric cancer who had underwent R0 resection. SH-10-TC cells (a gastric cancer cell line) were used to examine whether silencing SLC38A1 with siRNA could affect cell viability, migration and invasion.

RESULTS

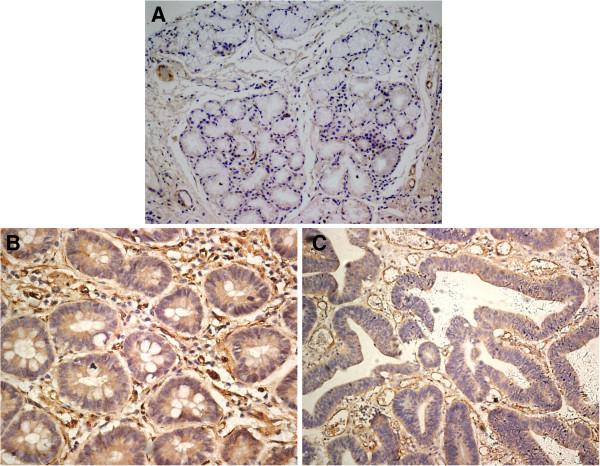
The SLC38A1 protein was very low or undetectable in healthy gastric mucosa. In contrast, strong staining of SLC38A1 protein was found in the cytoplasm in 495 out of the 896 gastric cancer samples. More pronounced SLC38A1 expression in gastric cancer tissues was significantly associated with age, differentiation status, lymph node metastasis, TNM stage and PCNA (proliferating cell nuclear antigen) expression. Upon univariate survival analysis, SLC38A1 expression was correlated with poor survival. Multivariate survival analysis revealed that SLC38A1 was an independent prognostic factor.

CONCLUSION

SLC38A1 is overexpressed in gastric cancer, which suggests that it is contributory to tumor progression. These results encourage the exploration of SLC38A1 as a target for intervention in gastric cancer.

摘要

背景

当前文献表明,宿主谷氨酰胺耗竭促进肿瘤发生。同样,谷氨酰胺转运蛋白SLC38A1被推测与恶性转化和肿瘤进展相关。综上所述,这构成了开展本研究的前提。本研究的双重目的是深入了解人胃癌组织与健康人体组织之间SLC38A1表达是否存在差异,并确定沉默SLC38A1基因如何影响胃癌细胞的增殖、活力、迁移和侵袭。

方法

采用免疫组织化学染色分析896例经病理确诊且接受R0切除的胃癌患者的胃癌组织及相邻健康黏膜中SLC38A1的表达。使用SH-10-TC细胞(一种胃癌细胞系)检测用小干扰RNA(siRNA)沉默SLC38A1是否会影响细胞活力、迁移和侵袭。

结果

健康胃黏膜中SLC38A1蛋白含量极低或无法检测到。相比之下,在896例胃癌样本中的495例样本的细胞质中发现了SLC38A1蛋白的强染色。胃癌组织中更明显的SLC38A1表达与年龄、分化状态、淋巴结转移、TNM分期和增殖细胞核抗原(PCNA)表达显著相关。单因素生存分析显示,SLC38A1表达与较差的生存率相关。多因素生存分析表明,SLC38A1是一个独立的预后因素。

结论

SLC38A1在胃癌中过表达,这表明它促进肿瘤进展。这些结果鼓励探索将SLC38A1作为胃癌干预的靶点。

https://cdn.ncbi.nlm.nih.gov/pmc/blobs/3bd1/3984425/abf88fb11033/1471-230X-14-70-1.jpg

文献AI研究员

20分钟写一篇综述,助力文献阅读效率提升50倍。

立即体验

用中文搜PubMed

大模型驱动的PubMed中文搜索引擎

马上搜索

文档翻译

学术文献翻译模型,支持多种主流文档格式。

立即体验