Suppr超能文献

Delayed onset renal failure in a patient on tenofovir based antiretroviral regimen.

作者信息

Krishna M Murali, Subbalaxmi M V S, Uppin Megha, Radhika S

机构信息

Department of General Medicine, Nizam's Institute of Medical Sciences, Hyderabad, Andhra Pradesh, India.

Department of Pathology, Nizam's Institute of Medical Sciences, Hyderabad, Andhra Pradesh, India.

出版信息

Indian J Pharmacol. 2014 Mar-Apr;46(2):230-1. doi: 10.4103/0253-7613.129330.

Abstract

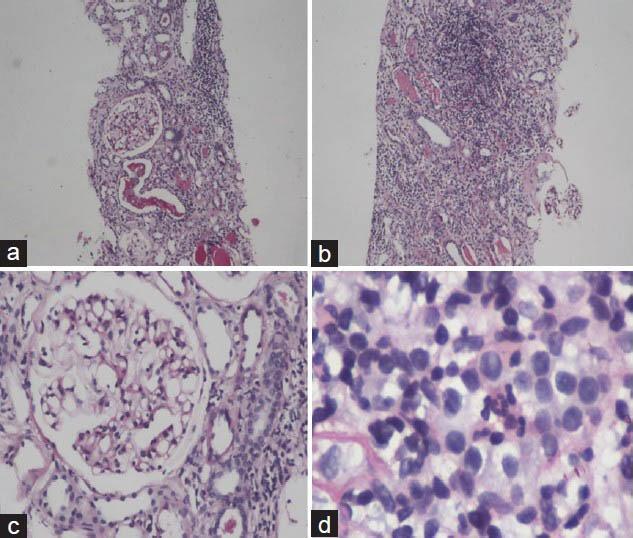
Tenofovir is recommended as one of the first line agents in combination with other antiretroviral drugs for management of human immunodeficiency virus (HIV). It is known to cause renal failure after exposure for a median duration of 5 months. We report tenofovir induced adverse drug reaction in a 56-year-old female patient who was diagnosed to have HIV 1 infection since 10 years. The combination antiretroviral treatment included tenofovir, emtricitabine and ritonavir/lopinavir regimen since the last 6 years. She presented with recent onset renal failure and renal biopsy showed interstitial nephritis which could probably attributable to tenofovir.

摘要
https://cdn.ncbi.nlm.nih.gov/pmc/blobs/19df/3987198/0e10282e4643/IJPharm-46-230-g001.jpg

文献AI研究员

20分钟写一篇综述,助力文献阅读效率提升50倍。

立即体验

用中文搜PubMed

大模型驱动的PubMed中文搜索引擎

马上搜索

文档翻译

学术文献翻译模型,支持多种主流文档格式。

立即体验