Suppr超能文献

新生儿脑膜炎并发气颅。

Neonatal meningitis complicating with pneumocephalus.

作者信息

Kumari Anita, Agrawal Satish C

机构信息

Department of Pediatrics, Shri Ram Murti Smarak Institute of Medical Sciences, Bareilly, Uttar Pradesh, India.

出版信息

J Neurosci Rural Pract. 2014 Jan;5(1):68-70. doi: 10.4103/0976-3147.127879.

Abstract

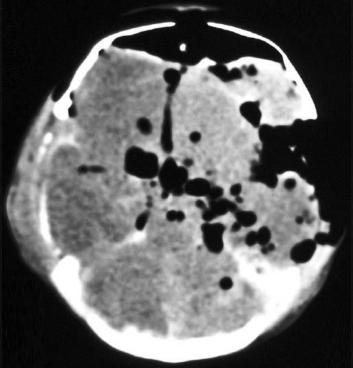
Pneumocephalus is a rare condition characterized by the presence of gas within the cranial cavity. This gas may arise either from a trauma, a tumor, a surgical, or a diagnostic procedure or occasionally from an infection. Pneumocephalus as a complication of bacterial meningitis, in absence of trauma or a procedure, is extremely rare, particularly in a newborn. A case of pneumocephalus occurring in a baby, suffering from neonatal meningitis, acquired probably through unsafe cutting and tying of the cord, is reported here. Cutting, tying, and care of the umbilical cord is of utmost importance to prevent neonatal infection as the same is a potential cause of serious anaerobic infections, besides tetanus.

摘要

气颅是一种罕见的病症,其特征为颅腔内存在气体。这种气体可能源于外伤、肿瘤、手术或诊断操作,偶尔也可能源于感染。在没有外伤或操作的情况下,气颅作为细菌性脑膜炎的并发症极为罕见,尤其是在新生儿中。本文报告了一例发生在患有新生儿脑膜炎的婴儿身上的气颅病例,可能是通过不安全的脐带剪断和结扎感染的。脐带的剪断、结扎和护理对于预防新生儿感染至关重要,因为除了破伤风外,这也是严重厌氧菌感染的潜在原因。

https://cdn.ncbi.nlm.nih.gov/pmc/blobs/9c16/3985365/a88e2d6f6745/JNRP-5-68-g001.jpg

文献AI研究员

20分钟写一篇综述,助力文献阅读效率提升50倍。

立即体验

用中文搜PubMed

大模型驱动的PubMed中文搜索引擎

马上搜索

文档翻译

学术文献翻译模型,支持多种主流文档格式。

立即体验