Kamaleshwaran Koramadai Karuppusamy, Shibu Deepu, Edathurthy Radhakrishnan, Shinto Ajit Sugunan
Department of Nuclear Medicine and PET/CT, Comprehensive Cancer Care Centre, Kovai Medical Centre and Hospital Limited, Coimbatore, Tamil Nadu, India.
Indian J Nucl Med. 2014 Apr;29(2):97-8. doi: 10.4103/0972-3919.130293.
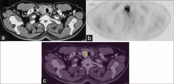
Differentiated thyroid cancer frequently metastasizes but generally spreads to regional cervical lymph nodes and, in advanced cases, to the lungs and/or skeleton. Metastases to the skin/subcutaneous tissue are rare. We report 45-year-old male patient presented with a loin swelling which on biopsy showed a papillary carcinoma and referred for fluorodeoxyglucose-positron emission tomography/computed tomography (FDG PET/CT) to find out the primary disease. PET/CT showed abnormal FDG uptake within a loin metastasis and right lobe thyroid nodule. Fine-needle aspiration from nodule showed papillary carcinoma. Because thyroid cancer can rarely metastasize to the skin, attention should be given to that region during interpretation of the images. He was advised total thyroidectomy and metastasis excision.
分化型甲状腺癌常发生转移,但一般转移至颈部区域淋巴结,在晚期病例中可转移至肺和/或骨骼。转移至皮肤/皮下组织的情况罕见。我们报告了一名45岁男性患者,其腰部出现肿块,活检显示为乳头状癌,转诊至氟脱氧葡萄糖-正电子发射断层扫描/计算机断层扫描(FDG PET/CT)以查找原发疾病。PET/CT显示腰部转移灶和右叶甲状腺结节内有异常的FDG摄取。对结节进行细针穿刺显示为乳头状癌。由于甲状腺癌很少转移至皮肤,因此在解读图像时应关注该区域。建议他进行全甲状腺切除术和转移灶切除术。