Suppr超能文献

多发同时性罕见远处转移作为甲状腺乳头状癌的初始表现:一例报告

Multiple Simultaneous Rare Distant Metastases as the Initial Presentation of Papillary Thyroid Carcinoma: A Case Report.

作者信息

Yang Jing, Ma Yu, Gong Yanping, Gong Rixiang, Li Zhihui, Zhu Jingqiang

机构信息

Thyroid and Parathyroid Surgery Center, West China Hospital, Sichuan University, Chengdu, China.

出版信息

Front Endocrinol (Lausanne). 2019 Nov 8;10:759. doi: 10.3389/fendo.2019.00759. eCollection 2019.

Abstract

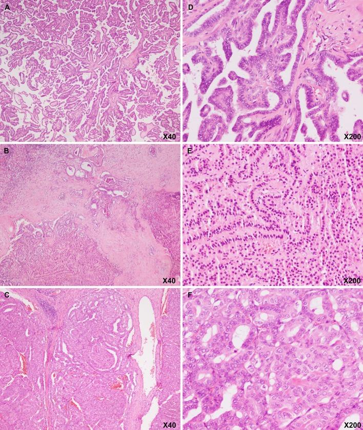
Papillary thyroid carcinoma (PTC) commonly metastasizes to regional lymph nodes. However, they infrequently cause rare distant metastases (RDMs), with the exclusion of lungs and bone metastases. RDMs are seldom identified prior to a primary thyroid cancer diagnosis. Therefore, cases initially presenting with synchronously multiple RDMs from PTC are extremely infrequent. This is a rare case of a 48-year-old man with initial diaphragm, pancreatic, and liver tumors from PTC. Following resection of the tumors, an ultrasound-guided fine-needle aspiration (US-FNA) cytology of a mass in the thyroid's left lobe revealed PTC. After postoperative recovery for more than 4 months, physical examination identified an irregular large nodule in the thyroid's isthmus and left lobe, a swollen lymph node in the left neck, and a mass in the right parotid gland. Ultrasound reexamination revealed numerous hypoechoic masses as follows: one in the thyroid's isthmus and entire left lobe (7.3 × 5.9 × 5.1 cm) and multiple in the thyroid's right lobe (0.2-0.3 cm). Ultrasound examination also showed several swollen lymph nodes in the left neck, a mass in the left gluteus maximus, and several masses in both the bilateral parotid and salivary region. The US-FNA's pathological examination confirmed metastatic PTCs in the left gluteus maximus and bilaterally located in the parotid and salivary gland. 18-fluorodeoxyglucose positron-emission tomography and computed tomography scan revealed abnormal uptakes in numerous locations (e.g., the thyroid's isthmus and left lobe, bilateral parotid gland, subcutaneous tissues, etc.). The patient underwent palliative therapy, including total thyroidectomy, bilateral central neck dissection, left lateral neck dissection, and excision of the bilateral parotid and salivary gland. A whole-body scan post-therapeutic radioactive iodine ablation showed exclusive thyroid bed uptake. Subsequently, the patient underwent continuous thyroid stimulating hormone repression therapy and was treated with lenvatinib chemotherapy for ~8 months. The primary thyroid tumor, pancreatic metastasis, and cervical lymph node metastasis were both positive for and promoter (C288T) mutations. After 13 months of follow-up, the patient is currently in stable clinical conditions. In conclusion, the present case is an extremely rare occurrence of simultaneous multiple RDMs from PTC as the initial presentation.

摘要

甲状腺乳头状癌(PTC)通常转移至区域淋巴结。然而,除肺和骨转移外,其很少引起罕见的远处转移(RDMs)。在原发性甲状腺癌诊断之前,很少能发现RDMs。因此,最初表现为来自PTC的同步多发RDMs的病例极为罕见。这是一例罕见的48岁男性病例,最初表现为来自PTC的膈肌、胰腺和肝脏肿瘤。肿瘤切除后,对甲状腺左叶一个肿块进行超声引导下细针穿刺抽吸(US-FNA)细胞学检查,结果显示为PTC。术后恢复4个多月后,体格检查发现甲状腺峡部和左叶有一个不规则的大结节,左侧颈部有一个肿大的淋巴结,右侧腮腺有一个肿块。超声复查发现多个低回声肿块,具体如下:甲状腺峡部及整个左叶有一个(7.3×5.9×5.1 cm),甲状腺右叶有多个(0.2 - 0.3 cm)。超声检查还显示左侧颈部有几个肿大的淋巴结,左侧臀大肌有一个肿块,双侧腮腺和唾液腺区域有几个肿块。US-FNA的病理检查证实左侧臀大肌以及双侧腮腺和唾液腺存在转移性PTC。18-氟脱氧葡萄糖正电子发射断层扫描和计算机断层扫描显示多个部位有异常摄取(如甲状腺峡部和左叶、双侧腮腺、皮下组织等)。该患者接受了姑息治疗,包括甲状腺全切术、双侧中央区颈部淋巴结清扫术、左侧侧颈部淋巴结清扫术以及双侧腮腺和唾液腺切除术。治疗性放射性碘消融术后的全身扫描显示仅甲状腺床有摄取。随后,该患者接受了持续的促甲状腺激素抑制治疗,并接受了约8个月的乐伐替尼化疗。原发性甲状腺肿瘤、胰腺转移灶和颈部淋巴结转移灶均检测到 和 启动子(C288T)突变。经过13个月的随访,患者目前临床病情稳定。总之,本病例是极为罕见的以来自PTC的同步多发RDMs为首发表现的病例。

https://cdn.ncbi.nlm.nih.gov/pmc/blobs/8762/6856955/1fb17ef72889/fendo-10-00759-g0001.jpg

文献AI研究员

20分钟写一篇综述,助力文献阅读效率提升50倍。

立即体验

用中文搜PubMed

大模型驱动的PubMed中文搜索引擎

马上搜索

文档翻译

学术文献翻译模型,支持多种主流文档格式。

立即体验