Suppr超能文献

一名患有色素性干皮病变异型患者的原位恶性黑色素瘤对基底细胞癌和光化性角化病的定植。

Colonisation of basal cell carcinoma and actinic keratosis by malignant melanoma in situ in a patient with xeroderma pigmentosum variant.

作者信息

Smith Louise J, Husain Ehab A

机构信息

Department of Pathology, Aberdeen Royal Infirmary, Aberdeen, UK.

出版信息

Clin Pract. 2012 Apr 16;2(2):e47. doi: 10.4081/cp.2012.e47. eCollection 2012 Mar 30.

Abstract

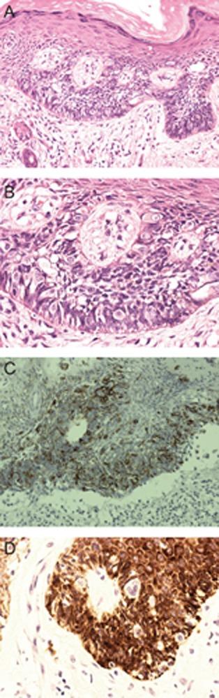
Although malignant melanoma (MM) and both basal cell carcinoma (BCC) and actinic keratosis (AK) are sun-induced lesions, the coexistence of these entities at the same anatomical site (collision tumour) is exceedingly rare. We report the case of a 54-year-old woman with a known history of xeroderma pigmentosum variant (XPV) who presented with 2 separate skin lesions over the middle and upper right forearm, respectively. The clinical impression was that of BCCs or squamous cell lesions. On histological examination, both specimens showed features of melanoma in situ (MIS). In the first lesion, MIS merged with and colonised a superficial and focally invasive BCC. In the second lesion, MIS merged with an AK. No separate invasive nests of malignant melanoma were seen in either specimen. The atypical melanocytes were highlighted by Melan-A and HMB-45 immunostaining, whereas the epithelial cells in both the BCC and AK stained with the pancytokeratin MNF-116. The patient had a previous history of multiple MMs and non-melanomatous skin cancers and finally developed widespread metastatic malignant melanoma, which proved fatal. The rare and interesting phenomenon of collision tumours may pose diagnostic difficulties. To our knowledge, this is the first reported simultaneous presentation of cytologically malignant collision tumours in a patient with XPV.

摘要

尽管恶性黑色素瘤(MM)以及基底细胞癌(BCC)和光化性角化病(AK)均为日光诱导性病变,但这些病变在同一解剖部位同时存在(碰撞瘤)的情况极为罕见。我们报告了一例54岁患有色素性干皮病变异型(XPV)的女性患者,其右上臂中上部分别出现了2个独立的皮肤病变。临床印象为基底细胞癌或鳞状细胞病变。组织学检查显示,两个标本均呈现原位黑色素瘤(MIS)的特征。在第一个病变中,原位黑色素瘤与浅表且局灶性浸润性基底细胞癌融合并占据了该癌。在第二个病变中,原位黑色素瘤与光化性角化病融合。两个标本中均未见到独立的恶性黑色素瘤浸润巢。Melan - A和HMB - 45免疫染色突出显示了非典型黑素细胞,而基底细胞癌和光化性角化病中的上皮细胞均用全细胞角蛋白MNF - 116染色。该患者既往有多发恶性黑色素瘤和非黑素瘤性皮肤癌病史,最终发展为广泛转移性恶性黑色素瘤,导致死亡。碰撞瘤这种罕见且有趣的现象可能会带来诊断困难。据我们所知,这是首例报道的色素性干皮病变异型患者同时出现细胞学上恶性的碰撞瘤。

https://cdn.ncbi.nlm.nih.gov/pmc/blobs/b840/3981299/0c7c78377bd2/cp-2012-2-e47-g001.jpg

文献检索

告别复杂PubMed语法,用中文像聊天一样搜索,搜遍4000万医学文献。AI智能推荐,让科研检索更轻松。

立即免费搜索

文件翻译

保留排版,准确专业,支持PDF/Word/PPT等文件格式,支持 12+语言互译。

免费翻译文档

深度研究

AI帮你快速写综述,25分钟生成高质量综述,智能提取关键信息,辅助科研写作。

立即免费体验