Suppr超能文献

首发痴呆的 Fahr 病:病例报告及文献复习。

Fahr's disease presenting with dementia at onset: a case report and literature review.

机构信息

IRCCS Centro Neurolesi "Bonino-Pulejo", 98124 Messina, Italy.

出版信息

Behav Neurol. 2014;2014:750975. doi: 10.1155/2014/750975. Epub 2014 Mar 12.

Abstract

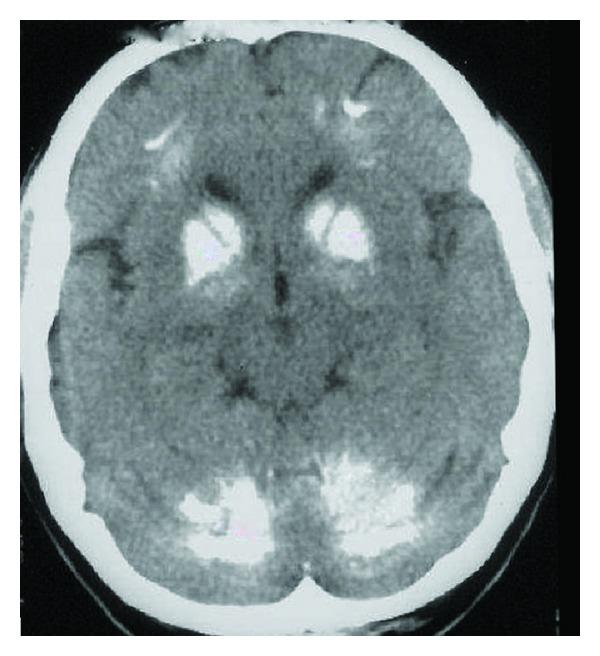
Fahr's disease (FD) is characterized by sporadic or familiar idiopathic calcification of the basal ganglia, dentate nuclei of the cerebellum, and centrum semiovale, mainly presenting with movement disorder, dementia, and behavioral abnormalities. We described a rare case of Fahr's disease presenting at onset only with behavioral and neuropsychological alterations, whose diagnosis was supposed only after a brain CT, which showed extensive bilateral calcifications in the dentate nuclei of the cerebellum and basal ganglia. Since the onset of Fahr's disease may be a dysexecutive syndrome with behavioral abnormalities, the clinical and radiological features are really important to do the appropriate diagnosis.

摘要

Fahr 病(FD)的特征是基底节、小脑齿状核和大脑半卵圆中心的散发性或家族性特发性钙化,主要表现为运动障碍、痴呆和行为异常。我们描述了一例 Fahr 病的罕见病例,其首发症状仅为行为和神经心理学改变,仅在脑 CT 显示小脑齿状核和基底节广泛双侧钙化后才作出诊断。由于 Fahr 病的发病可能是一种伴有行为异常的执行功能障碍综合征,因此临床和影像学特征对于做出适当的诊断非常重要。

https://cdn.ncbi.nlm.nih.gov/pmc/blobs/df51/4006620/eef9a8aa608f/BN2014-750975.001.jpg

文献AI研究员

20分钟写一篇综述,助力文献阅读效率提升50倍。

立即体验

用中文搜PubMed

大模型驱动的PubMed中文搜索引擎

马上搜索

文档翻译

学术文献翻译模型,支持多种主流文档格式。

立即体验