Suppr超能文献

肿瘤钙化:黏液样脂肪肉瘤对曲贝替定的一种新反应模式。

Tumor calcification: a new response pattern of myxoid liposarcoma to trabectedin.

作者信息

Turpin Anthony, Taieb Sophie, Penel Nicolas

机构信息

Department of Medical Oncology, Lille, France.

Imaging Department, Centre Oscar Lambret, Lille, France.

出版信息

Case Rep Oncol. 2014 Mar 26;7(1):204-9. doi: 10.1159/000360575. eCollection 2014 Jan.

Abstract

INTRODUCTION

Myxoid/round-cell liposarcoma (MRCL) is a specific histological subtype that accounts for 30-35% of liposarcomas and whose virulence depends on the quantity of round-cells within the tumor. MRCL is associated with specific chromosomal translocations resulting in the formation of CHOP/FUS and CHOP/EWS fusion proteins. A high sensitivity of MRCL to trabectedin was reported.

CASE REPORT

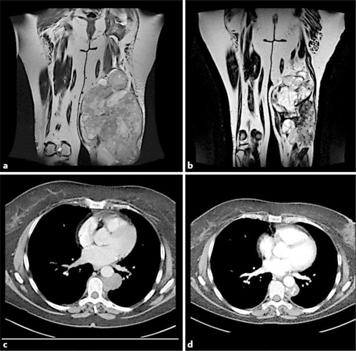
We report the case of a 63-year-old woman with a bulky and metastatic MRCL, treated with trabectedin 1.5 mg/m(2) as a first-line treatment. She experienced a long-lasting clinical benefit. The patients received 14 cycles of trabectedin and achieved a durable partial response to the metastases and a stable disease of the primary tumor, which is a very favorable safety profile. Also noteworthy is that we have observed a calcification of the primary tumor and the metastasis. The response, which lasted 30 months, led to a symptomatic improvement, associated with an excellent general condition and an absence of pain.

CONCLUSION

To the best of our knowledge, this is the first report of a MRCL treated with trabectedin that resulted in a calcification of the primary tumor and the metastases, associated with an outstandingly long response. This case suggests that trabectedin may represent a feasible first-line therapeutic option for patients with MRCL, with meaningful clinical benefits and an acceptable safety profile.

摘要

引言

黏液样/圆形细胞脂肪肉瘤(MRCL)是一种特殊的组织学亚型,占脂肪肉瘤的30%-35%,其恶性程度取决于肿瘤内圆形细胞的数量。MRCL与特定的染色体易位有关,导致形成CHOP/FUS和CHOP/EWS融合蛋白。据报道,MRCL对曲贝替定具有高度敏感性。

病例报告

我们报告了一例63岁患有巨大转移性MRCL的女性患者,接受1.5mg/m²曲贝替定作为一线治疗。她获得了持久的临床获益。该患者接受了14个周期的曲贝替定治疗,对转移灶取得了持久的部分缓解,原发肿瘤病情稳定,安全性非常良好。同样值得注意的是,我们观察到原发肿瘤和转移灶出现了钙化。持续30个月的缓解带来了症状改善,患者总体状况良好且无疼痛。

结论

据我们所知,这是首例用曲贝替定治疗的MRCL病例,该治疗导致原发肿瘤和转移灶钙化,并伴有异常长的缓解期。该病例表明,曲贝替定可能是MRCL患者可行的一线治疗选择,具有显著的临床获益和可接受的安全性。

https://cdn.ncbi.nlm.nih.gov/pmc/blobs/8d4b/3999575/630d1e0b17ff/cro-0007-0204-g01.jpg

文献AI研究员

20分钟写一篇综述,助力文献阅读效率提升50倍。

立即体验

用中文搜PubMed

大模型驱动的PubMed中文搜索引擎

马上搜索

文档翻译

学术文献翻译模型,支持多种主流文档格式。

立即体验