Suppr超能文献

抗血管内皮生长因子治疗诱导的胶质瘤侵袭与表达Tie2的单核细胞聚集有关。

Anti-vascular endothelial growth factor therapy-induced glioma invasion is associated with accumulation of Tie2-expressing monocytes.

作者信息

Gabrusiewicz Konrad, Liu Dan, Cortes-Santiago Nahir, Hossain Mohammad B, Conrad Charles A, Aldape Kenneth D, Fuller Gregory N, Marini Frank C, Alonso Marta M, Idoate Miguel Angel, Gilbert Mark R, Fueyo Juan, Gomez-Manzano Candelaria

机构信息

Department of Neuro-Oncology, The University of Texas MD Anderson Cancer Center, Houston, Texas, USA.

出版信息

Oncotarget. 2014 Apr 30;5(8):2208-20. doi: 10.18632/oncotarget.1893.

Abstract

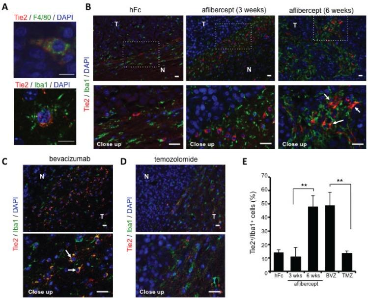
The addition of anti-angiogenic therapy to the few treatments available to patients with malignant gliomas was based on the fact that these tumors are highly vascularized and on encouraging results from preclinical and clinical studies. However, tumors that initially respond to this therapy invariably recur with the acquisition of a highly aggressive and invasive phenotype. Although several myeloid populations have been associated to this pattern of recurrence, a specific targetable population has not been yet identified. Here, we present evidence for the accumulation of Tie2-expressing monocytes/macrophages (TEMs) at the tumor/normal brain interface of mice treated with anti-VEGF therapies in regions with heightened tumoral invasion. Furthermore, we describe the presence of TEMs in malignant glioma surgical specimens that recurred after bevacizumab treatment. Our studies showed that TEMs enhanced the invasive properties of glioma cells and secreted high levels of gelatinase enzymatic proteins. Accordingly, Tie2⁺MMP9⁺ monocytic cells were consistently detected in the invasive tumor edge upon anti-VEGF therapies. Our results suggest the presence of a specific myeloid/monocytic subpopulation that plays a pivotal role in the mechanism of escape of malignant gliomas from anti-VEGF therapies and therefore constitutes a new cellular target for combination therapies in patients selected for anti-angiogenesis treatment.

摘要

对于恶性胶质瘤患者,在现有的少数治疗方法中加入抗血管生成疗法,是基于这些肿瘤血管高度丰富以及临床前和临床研究取得的鼓舞人心的结果。然而,最初对这种疗法有反应的肿瘤总是会复发,并获得高度侵袭性的表型。尽管有几种髓系细胞群与这种复发模式有关,但尚未确定一个可靶向的特定细胞群。在此,我们提供证据表明,在用抗血管内皮生长因子(VEGF)疗法治疗的小鼠肿瘤/正常脑界面处,在肿瘤侵袭增强的区域有表达Tie2的单核细胞/巨噬细胞(TEMs)聚集。此外,我们描述了在贝伐单抗治疗后复发的恶性胶质瘤手术标本中存在TEMs。我们的研究表明,TEMs增强了胶质瘤细胞的侵袭特性,并分泌高水平的明胶酶蛋白。因此,在用抗VEGF疗法治疗时,在侵袭性肿瘤边缘始终能检测到Tie2⁺MMP9⁺单核细胞。我们的结果表明存在一个特定的髓系/单核细胞亚群,它在恶性胶质瘤逃避抗VEGF疗法的机制中起关键作用,因此对于选择抗血管生成治疗的患者而言,它构成了联合治疗的新细胞靶点。

https://cdn.ncbi.nlm.nih.gov/pmc/blobs/a75d/4039157/90bbeebd0e4e/oncotarget-05-2208-g001.jpg

文献AI研究员

20分钟写一篇综述,助力文献阅读效率提升50倍。

立即体验

用中文搜PubMed

大模型驱动的PubMed中文搜索引擎

马上搜索

文档翻译

学术文献翻译模型,支持多种主流文档格式。

立即体验