Suppr超能文献

Donor cell myeloid sarcoma.

作者信息

Walshauser Mark A, Go Aileen, Sojitra Payal, Venkataraman Girish, Stiff Patrick

机构信息

Division of Hematology & Oncology, Department of Internal Medicine, Loyola University Medical Center, Maywood, IL 60153, USA ; Division of Hematology & Oncology, Department of Medicine, Cardinal Bernardin Cancer Center, 2160 South First Avenue, Maywood, IL 60153, USA.

Division of Hematology & Oncology, Department of Internal Medicine, Loyola University Medical Center, Maywood, IL 60153, USA.

出版信息

Case Rep Hematol. 2014;2014:153989. doi: 10.1155/2014/153989. Epub 2014 Apr 14.

Abstract

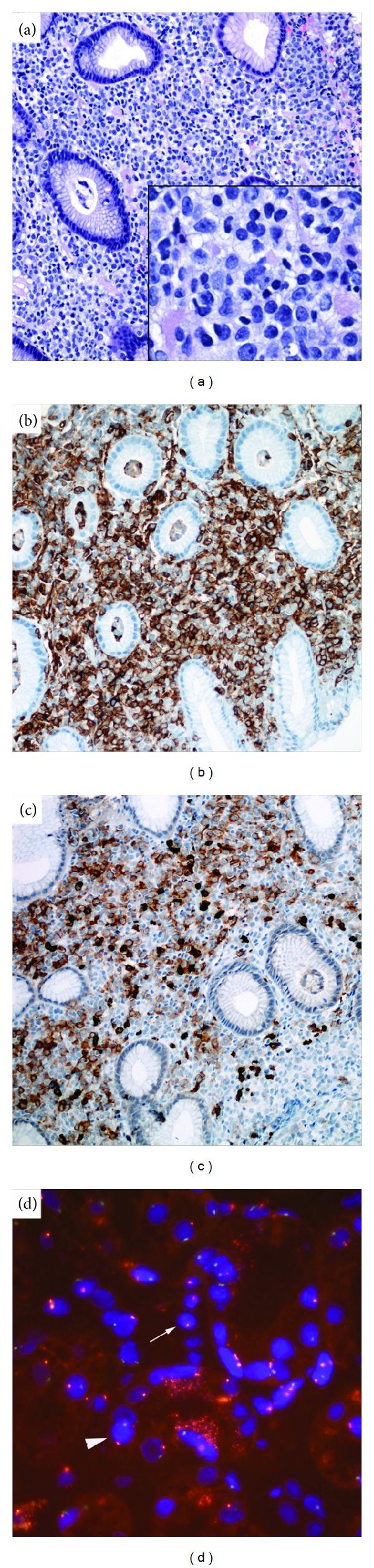
Donor cell derived malignancies are a rare and interesting complication of allogeneic bone marrow transplantation. We present a case of a 56-year-old male with donor cell myeloid sarcoma of the stomach and myocardium.

摘要
https://cdn.ncbi.nlm.nih.gov/pmc/blobs/ec01/4009308/9c82290610ea/CRIHEM2014-153989.001.jpg

文献AI研究员

20分钟写一篇综述,助力文献阅读效率提升50倍。

立即体验

用中文搜PubMed

大模型驱动的PubMed中文搜索引擎

马上搜索

文档翻译

学术文献翻译模型,支持多种主流文档格式。

立即体验