Cambridge Institute for Medical Research and Department of Clinical Biochemistry, University of Cambridge, Wellcome Trust/MRC Building, Cambridge Biomedical Campus, Hills Road, Cambridge CB2 0XY, UK.
Medical Research Council Laboratory of Molecular Biology, Francis Crick Avenue, Cambridge Biomedical Campus, Cambridge CB2 0QH, UK.
Dev Cell. 2014 Jun 9;29(5):591-606. doi: 10.1016/j.devcel.2014.04.010. Epub 2014 May 22.
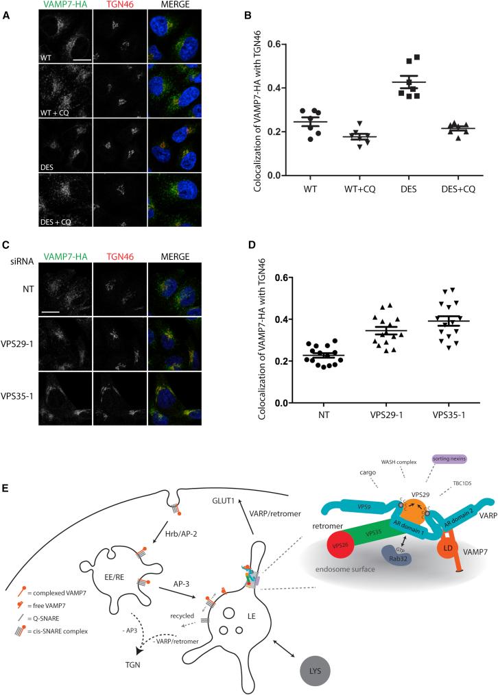
VARP is a Rab32/38 effector that also binds to the endosomal/lysosomal R-SNARE VAMP7. VARP binding regulates VAMP7 participation in SNARE complex formation and can therefore influence VAMP7-mediated membrane fusion events. Mutant versions of VARP that cannot bind Rab32:GTP, designed on the basis of the VARP ankyrin repeat/Rab32:GTP complex structure described here, unexpectedly retain endosomal localization, showing that VARP recruitment is not dependent on Rab32 binding. We show that recruitment of VARP to the endosomal membrane is mediated by its direct interaction with VPS29, a subunit of the retromer complex, which is involved in trafficking from endosomes to the TGN and the cell surface. Transport of GLUT1 from endosomes to the cell surface requires VARP, VPS29, and VAMP7 and depends on the direct interaction between VPS29 and VARP. Finally, we propose that endocytic cycling of VAMP7 depends on its interaction with VARP and, consequently, also on retromer.
VARP 是 Rab32/38 的效应物,也与内体/溶酶体 SNARE VAMP7 结合。VARP 结合调节 VAMP7 参与 SNARE 复合物的形成,因此可以影响 VAMP7 介导的膜融合事件。基于此处描述的 VARP 锚蛋白重复/Rab32:GTP 复合物结构设计的不能结合 Rab32:GTP 的 VARP 突变体版本出人意料地保留了内体定位,表明 VARP 的募集不依赖于 Rab32 结合。我们表明,VARP 被招募到内体膜是由其与 retromer 复合物的一个亚基 VPS29 的直接相互作用介导的,该复合物参与从内体到 TGN 和细胞表面的运输。GLUT1 从内体到细胞表面的运输需要 VARP、VPS29 和 VAMP7,并且依赖于 VPS29 和 VARP 之间的直接相互作用。最后,我们提出内体循环的 VAMP7 取决于其与 VARP 的相互作用,因此也取决于 retromer。