Suppr超能文献

侵袭性伴颅内扩展的中鼻甲骨母细胞瘤:一例报告

Aggressive middle turbinate osteoblastoma with intracranial extension: a case report.

作者信息

Cikojević Draško, Colović Zaviša, Lozić Bernarda, Klančnik Marisa

机构信息

Department of Othorinolaryngology, University Hospital Split, Spinčićeva 1, 21000 Split, Croatia.

出版信息

J Med Case Rep. 2014 May 23;8:161. doi: 10.1186/1752-1947-8-161.

Abstract

INTRODUCTION

Osteoblastoma is an uncommon benign bone tumor that accounts for 1 percent of all primary bone tumors. About 30 to 40 percent of all osteoblastoma cases involve the spine. Osteoblastoma involving the nasal cavity is rare, with only 11 reported cases in the English-language literature, while only four cases of turbinate osteoblastoma have been described.

CASE PRESENTATION

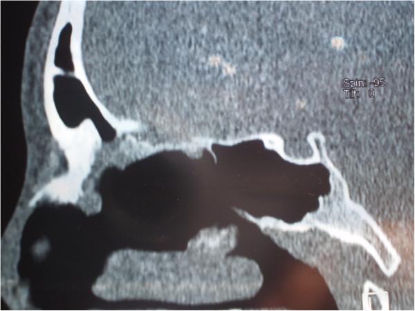
We report an unusual case of middle turbinate osteoblastoma associated with right-sided nasal obstruction and severe headache in a 14-year-old Caucasian girl. The tumor involved the right middle turbinate, complete anterior and incomplete posterior ethmoidal cells, and the frontal sinus ostium. Cribriform lamina was, in the most part, consumed by the tumor growth, while the skull base was mostly of normal bone structure.

CONCLUSIONS

To the best of our knowledge, this is the first case of middle turbinate osteoblastoma with intracranial spread. Surgical treatment is the only therapeutic option for osteoblastoma.

摘要

引言

骨母细胞瘤是一种罕见的良性骨肿瘤,占所有原发性骨肿瘤的1%。所有骨母细胞瘤病例中约30%至40%累及脊柱。累及鼻腔的骨母细胞瘤很罕见,英文文献中仅报道了11例,而鼻甲骨母细胞瘤仅描述了4例。

病例报告

我们报告一例不寻常的右侧中鼻甲骨母细胞瘤病例,该病例发生在一名14岁的白种女孩身上,伴有右侧鼻塞和严重头痛。肿瘤累及右侧中鼻甲、完整的前筛窦和不完整的后筛窦以及额窦开口。筛状板大部分被肿瘤生长所破坏,而颅底大部分骨质结构正常。

结论

据我们所知,这是首例伴有颅内扩散的中鼻甲骨母细胞瘤病例。手术治疗是骨母细胞瘤唯一的治疗选择。

https://cdn.ncbi.nlm.nih.gov/pmc/blobs/80b7/4096441/e27058da6eb7/1752-1947-8-161-1.jpg

文献AI研究员

20分钟写一篇综述,助力文献阅读效率提升50倍。

立即体验

用中文搜PubMed

大模型驱动的PubMed中文搜索引擎

马上搜索

文档翻译

学术文献翻译模型,支持多种主流文档格式。

立即体验