Abacioglu Ufuk, Ozen Zeynep, Yilmaz Meltem, Arifoglu Alptekin, Gunhan Basri, Kayalilar Namik, Peker Selcuk, Sengoz Meric, Gurdalli Salih, Cozzi Luca
Medical Physics Unit, Oncology Institute of Southern Switzerland, 6504 Bellinzona, Switzerland.
Radiat Oncol. 2014 May 21;9:119. doi: 10.1186/1748-717X-9-119.
To evaluate the role of RapidArc (RA) for stereotactic radiosurgery (SRS) of benign brain lesions in comparison to GammaKnife (GK) based technique.
Twelve patients with vestibular schwannoma (VS, n = 6) or cavernous sinus meningioma (CSM, n = 6) were planned for both SRS using volumetric modulated arc therapy (VMAT) by RA. 104 MV flattening filter free photon beams with a maximum dose rate of 2400 MU/min were selected. Data were compared against plans optimised for GK. A single dose of 12.5 Gy was prescribed. The primary objective was to assess treatment plan quality. Secondary aim was to appraise treatment efficiency.
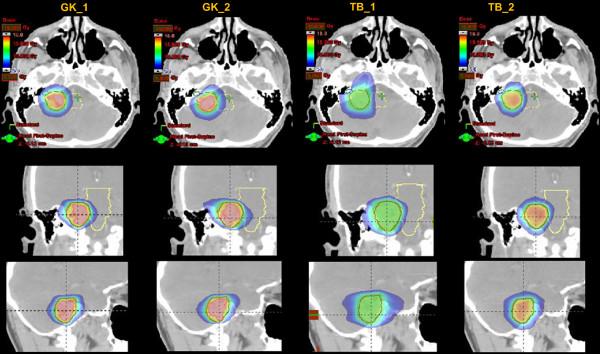
For VS, comparing best GK vs. RA plans, homogeneity was 51.7 ± 3.5 vs. 6.4 ± 1.5%; Paddick conformity Index (PCI) resulted 0.81 ± 0.03 vs. 0.84 ± 0.04. Gradient index (PGI) was 2.7 ± 0.2 vs. 3.8 ± 0.6. Mean target dose was 17.1 ± 0.9 vs. 12.9 ± 0.1 Gy. For the brain stem, D(1cm3) was 5.1 ± 2.0 Gy vs 4.8 ± 1.6 Gy. For the ipsilateral cochlea, D(0.1cm3) was 1.7 ± 1.0 Gy vs. 1.8 ± 0.5 Gy. For CSM, homogeneity was 52.3 ± 2.4 vs. 12.4 ± 0.6; PCI: 0.86 ± 0.05 vs. 0.88 ± 0.05; PGI: 2.6 ± 0.1 vs. 3.8 ± 0.5; D(1cm3) to brain stem was 5.4 ± 2.8 Gy vs. 5.2 ± 2.8 Gy; D(0.1cm3) to ipsi-lateral optic nerve was 4.2 ± 2.1 vs. 2.1 ± 1.5 Gy; D(0.1cm3) to optic chiasm was 5.9 ± 3.1 vs. 4.5 ± 2.1 Gy. Treatment time was 53.7 ± 5.8 (64.9 ± 24.3) minutes for GK and 4.8 ± 1.3 (5.0 ± 0.7) minutes for RA for schwannomas (meningiomas).
SRS with RA and FFF beams revealed to be adequate and comparable to GK in terms of target coverage, homogeneity, organs at risk sparing with some gain in terms of treatment efficiency.
为评估容积旋转调强放疗(RA)与基于伽玛刀(GK)的技术相比,在良性脑病变立体定向放射外科治疗(SRS)中的作用。
12例前庭神经鞘瘤(VS,n = 6)或海绵窦脑膜瘤(CSM,n = 6)患者计划采用RA的容积旋转调强放疗(VMAT)进行SRS治疗。选择了104 MV无均整器光子束,最大剂量率为2400 MU/分钟。将数据与针对GK优化的计划进行比较。处方剂量为单次12.5 Gy。主要目的是评估治疗计划质量。次要目的是评估治疗效率。
对于VS,比较最佳GK计划与RA计划,均匀性分别为51.7±3.5% vs. 6.4±1.5%;帕迪克适形指数(PCI)分别为0.81±0.03 vs. 0.84±0.04。梯度指数(PGI)分别为2.7±0.2 vs. 3.8±0.6。平均靶区剂量分别为17.1±0.9 vs. 12.9±0.1 Gy。对于脑干,D(1cm³)分别为5.1±2.0 Gy vs 4.8±1.6 Gy。对于同侧耳蜗,D(0.1cm³)分别为1.7±1.0 Gy vs. 1.8±0.5 Gy。对于CSM,均匀性分别为52.3±2.4 vs. 12.4±0.6;PCI:0.86±0.05 vs. 0.88±0.05;PGI:2.6±0.1 vs. 3.8±0.5;脑干的D(1cm³)分别为5.4±2.8 Gy vs. 5.2±2.8 Gy;同侧视神经的D(0.1cm³)分别为4.2±2.1 vs. 2.1±1.5 Gy;视交叉的D(0.1cm³)分别为5.9±3.1 vs. 4.5±2.1 Gy。对于神经鞘瘤(脑膜瘤),GK的治疗时间为53.7±5.8(64.9±24.3)分钟,RA的治疗时间为4.8±1.3(5.0±0.7)分钟。
使用RA和无均整器光束进行SRS在靶区覆盖、均匀性、危及器官保护方面显示出足够性且与GK相当,在治疗效率方面有一定提高。