Suppr超能文献

黑色素瘤的发生与发展与Rad6上调及β-连环蛋白重新定位至细胞膜有关。

Melanoma Development and Progression Are Associated with Rad6 Upregulation and β -Catenin Relocation to the Cell Membrane.

作者信息

Rosner Karli, Mehregan Darius R, Kirou Evangelia, Abrams Judith, Kim Seongho, Campbell Michelle, Frieder Jillian, Lawrence Kelsey, Haynes Brittany, Shekhar Malathy P V

机构信息

Laboratory for Molecular Dermatology, Barbara Ann Karmanos Cancer Institute, 110 East Warren Avenue, Detroit, MI 48201, USA ; Department of Dermatology, School of Medicine, Wayne State University, Detroit, MI 48201, USA ; Center for Molecular Medicine and Genetics, School of Medicine, Wayne State University, Detroit, MI 48201, USA.

Department of Dermatology, School of Medicine, Wayne State University, Detroit, MI 48201, USA ; Pinkus Dermatopathology Laboratory, Monroe, MI 48162, USA.

出版信息

J Skin Cancer. 2014;2014:439205. doi: 10.1155/2014/439205. Epub 2014 May 6.

Abstract

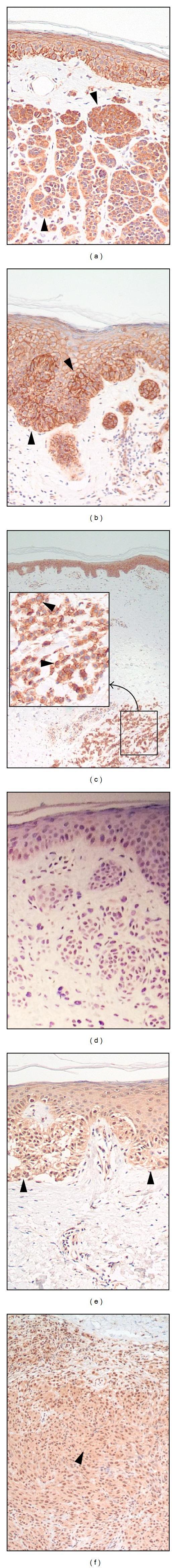
We have previously demonstrated that Rad6 and β -catenin enhance each other's expression through a positive feedback loop to promote breast cancer development/progression. While β -catenin has been implicated in melanoma pathogenesis, Rad6 function has not been investigated. Here, we examined the relationship between Rad6 and β -catenin in melanoma development and progression. Eighty-eight cutaneous tumors, 30 nevi, 29 primary melanoma, and 29 metastatic melanomas, were immunostained with anti- β -catenin and anti-Rad6 antibodies. Strong expression of Rad6 was observed in only 27% of nevi as compared to 100% of primary and 96% of metastatic melanomas. β -Catenin was strongly expressed in 97% of primary and 93% of metastatic melanomas, and unlike Rad6, in 93% of nevi. None of the tumors expressed nuclear β -catenin. β -Catenin was exclusively localized on the cell membrane of 55% of primary, 62% of metastatic melanomas, and only 10% of nevi. Cytoplasmic β -catenin was detected in 90% of nevi, 17% of primary, and 8% of metastatic melanoma, whereas 28% of primary and 30% of metastatic melanomas exhibited β -catenin at both locations. These data suggest that melanoma development and progression are associated with Rad6 upregulation and membranous redistribution of β -catenin and that β -catenin and Rad6 play independent roles in melanoma development.

摘要

我们之前已经证明,Rad6和β-连环蛋白通过正反馈回路相互增强表达,以促进乳腺癌的发展/进展。虽然β-连环蛋白与黑色素瘤发病机制有关,但Rad6的功能尚未得到研究。在这里,我们研究了Rad6和β-连环蛋白在黑色素瘤发展和进展中的关系。用抗β-连环蛋白和抗Rad6抗体对88例皮肤肿瘤、30例痣、29例原发性黑色素瘤和29例转移性黑色素瘤进行免疫染色。与100%的原发性黑色素瘤和96%的转移性黑色素瘤相比,仅27%的痣中观察到Rad6的强表达。β-连环蛋白在97%的原发性黑色素瘤和93%的转移性黑色素瘤中强表达,与Rad6不同的是,在93%的痣中也有表达。所有肿瘤均未表达核β-连环蛋白。β-连环蛋白仅定位于55%的原发性黑色素瘤、62%的转移性黑色素瘤和仅10%的痣的细胞膜上。在90%的痣、17%的原发性黑色素瘤和8%的转移性黑色素瘤中检测到细胞质β-连环蛋白,而28%的原发性黑色素瘤和30%的转移性黑色素瘤在这两个位置均表现出β-连环蛋白。这些数据表明,黑色素瘤的发展和进展与Rad6上调和β-连环蛋白的膜重新分布有关,并且β-连环蛋白和Rad6在黑色素瘤发展中发挥独立作用。

https://cdn.ncbi.nlm.nih.gov/pmc/blobs/a123/4033428/183d98d1ef64/JSC2014-439205.001.jpg

文献AI研究员

20分钟写一篇综述,助力文献阅读效率提升50倍。

立即体验

用中文搜PubMed

大模型驱动的PubMed中文搜索引擎

马上搜索

文档翻译

学术文献翻译模型,支持多种主流文档格式。

立即体验