Larivé Emerentienne, Nicolas Michael, Kaya Gürkan, Riggi Nicolo, Moulin Alexandre P
Lausanne University, Lausanne, Switzerland.
Jules-Gonin Eye Hospital, Lausanne University, FAA, Lausanne, Switzerland.
Dermatopathology (Basel). 2019 Jun 26;6(2):50-62. doi: 10.1159/000500682. eCollection 2019 Apr-Jun.
To assess the role of the canonical Wnt pathway via activation of β-catenin in tumor progression of conjunctival melanoma.
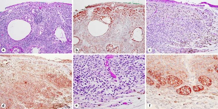
β-Catenin localization was assessed by immunohistochemistry in 43 conjunctival nevi, 48 primary acquired melanoses (PAM; conjunctival melanocytic intraepithelial neoplasia), and 44 conjunctival melanomas. Activation of the canonical or the noncanonical Wnt pathway was tested in vitro in 4 conjunctival melanoma cell lines with stimulation of either Wnt5a or Wnt3a. Wound healing assays were performed with Wnt5a.
Nuclear β-catenin expression was found in 16% of the nevi, in 15% of the melanomas, and in 4% of the PAM. Membranous β-catenin expression was identified in all the nevi and PAM and in 97.7% of the melanomas. In vitro, Wnt5a stimulation in the 4 conjunctival melanomas and in 1 skin melanoma cell line did not induce nuclear translocation of β-catenin, nor did it increase cell motility in the wound healing assays. Wnt3a stimulation did not induce nuclear localization of β-catenin in any of the cell lines tested.
In conjunctival melanoma, nuclear localization and activation of β-catenin appear to be limited, suggesting that inhibition of ARF6, responsible for β-catenin activation, in subsets of skin melanoma may not represent a treatment option for this tumor. In vitro, Wnt3a or Wnt5a did not induce nuclear β-catenin localization.
通过激活β-连环蛋白评估经典Wnt信号通路在结膜黑色素瘤肿瘤进展中的作用。
采用免疫组织化学法评估43例结膜痣、48例原发性获得性黑色素沉着病(PAM;结膜黑素细胞上皮内瘤变)和44例结膜黑色素瘤中β-连环蛋白的定位。在4种结膜黑色素瘤细胞系中,用Wnt5a或Wnt3a刺激,体外检测经典或非经典Wnt信号通路的激活情况。用Wnt5a进行伤口愈合试验。
在16%的痣、15%的黑色素瘤和4%的PAM中发现核β-连环蛋白表达。在所有痣和PAM以及97.7%的黑色素瘤中均鉴定出膜性β-连环蛋白表达。在体外,4种结膜黑色素瘤和1种皮肤黑色素瘤细胞系中Wnt5a刺激未诱导β-连环蛋白的核转位,在伤口愈合试验中也未增加细胞运动性。Wnt3a刺激在任何测试的细胞系中均未诱导β-连环蛋白的核定位。
在结膜黑色素瘤中,β-连环蛋白的核定位和激活似乎有限,这表明在皮肤黑色素瘤亚群中抑制负责β-连环蛋白激活的ARF6可能不是该肿瘤的一种治疗选择。在体外,Wnt3a或Wnt5a未诱导核β-连环蛋白定位。