Suppr超能文献

肾下动脉瘤虚拟几何校正下肾动脉开口投影的建议:一项初步研究的初步结果

Proposal of renal artery's ostial projection under virtual geometric correction in infrarenal aneurysms: initial results of a pilot study.

作者信息

Molinari Giovani José Dal Poggetto, Dalbem Andreia Marques de Oliveira, Menezes Fabio Hüsemann, Guillaumon Ana Terezinha

出版信息

Rev Bras Cir Cardiovasc. 2014 Jan-Mar;29(1):78-82. doi: 10.5935/1678-9741.20140014.

Abstract

INTRODUCTION

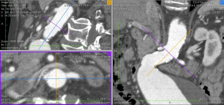
Endovascular aneurysm repair requires the precise deployment of the graft. In order to achieve accurate positioning, the anatomical and morphological characteristics of the aorta and its branches is mandatory. Software that perform three dimensional reformatting of multislice tomographic images, allow for the study of the whole aorto-iliac axis and the perpendicular visualization of the origin of the renal arteries. The correct length of the proximal neck can be evaluated and adequate graft fixation and sealing may be foreseen. A technique is presented, using an software, for the orthogonal correction of the position of the renal arteries in relation to the proximal neck, which may guide the radioscopic orientation intraoperatively.

METHODS

Within a multiplanar tomographic image reconstruction, virtual triangulation allows for the three dimensional orthogonal correction of the renal arteries' ostia position. The predetermined best angulations for visualization are annotated and used for the positioning of the surgical C-arm.

RESULTS/DISCUSSION: Some authors discuss that the anatomic position of the renal vessels seen on the tomographic scan can change during the surgical procedure. It is known that the renal arterys' angular positioning does not alter, even after insertion of stiff guidewires, introducers, and the endograft itself. Therefore, it is possible, using concepts of spacial geometry and orthogonal correction, to predict the ideal bidimensional intraoperative positioning of the radioscopy device in order to reproduce the optimized renal artery ostial projection, ensuring the best accuracy during endograft deployment.

CONCLUSION

As closer to the tomographic reproduction was the radioscopic correction, more careful is the visualization of the ostium of the renal artery, better is the exploitation of the lap for fixing and sealing and the endoprosthesis deployment is more accurate.

摘要

引言

血管内动脉瘤修复需要精确地植入移植物。为了实现准确的定位,主动脉及其分支的解剖和形态特征是必不可少的。能够对多层断层图像进行三维重建的软件,有助于研究整个主动脉-髂动脉轴以及肾动脉起源的垂直可视化。可以评估近端颈部的正确长度,并预见合适的移植物固定和密封。本文介绍了一种使用软件对肾动脉相对于近端颈部的位置进行正交校正的技术,这可能会在术中指导放射透视的方向。

方法

在多平面断层图像重建中,虚拟三角测量法可对肾动脉开口位置进行三维正交校正。标注用于可视化的预定最佳角度,并将其用于手术C形臂的定位。

结果/讨论:一些作者讨论了断层扫描上看到的肾血管的解剖位置在手术过程中可能会发生变化。众所周知,即使在插入硬导丝、导入器和移植物本身之后,肾动脉的角度定位也不会改变。因此,利用空间几何概念和正交校正,可以预测放射透视设备在术中的理想二维定位,以重现优化后的肾动脉开口投影,确保在植入移植物期间达到最佳准确性。

结论

放射透视校正越接近断层图像再现,肾动脉开口的可视化就越仔细,用于固定、密封的操作空间利用得就越好,并且移植物的植入也就越准确。

https://cdn.ncbi.nlm.nih.gov/pmc/blobs/ea40/4389474/9f877d1f9b49/rbccv-29-01-0078-g01.jpg

文献AI研究员

20分钟写一篇综述,助力文献阅读效率提升50倍。

立即体验

用中文搜PubMed

大模型驱动的PubMed中文搜索引擎

马上搜索

文档翻译

学术文献翻译模型,支持多种主流文档格式。

立即体验