• 文献检索
  • 文档翻译
  • 深度研究
  • 学术资讯
  • Suppr Zotero 插件Zotero 插件
  • 邀请有礼
  • 套餐&价格
  • 历史记录
应用&插件
Suppr Zotero 插件Zotero 插件浏览器插件Mac 客户端Windows 客户端微信小程序
定价
高级版会员购买积分包购买API积分包
服务
文献检索文档翻译深度研究API 文档MCP 服务
关于我们
关于 Suppr公司介绍联系我们用户协议隐私条款
关注我们

Suppr 超能文献

核心技术专利:CN118964589B侵权必究
粤ICP备2023148730 号-1Suppr @ 2026

文献检索

告别复杂PubMed语法,用中文像聊天一样搜索,搜遍4000万医学文献。AI智能推荐,让科研检索更轻松。

立即免费搜索

文件翻译

保留排版,准确专业,支持PDF/Word/PPT等文件格式,支持 12+语言互译。

免费翻译文档

深度研究

AI帮你快速写综述,25分钟生成高质量综述,智能提取关键信息,辅助科研写作。

立即免费体验

双侧腮腺腺癌多灶性脉络膜转移致视力障碍:病例报告。

Visual impairment due to bilateral multifocal choroidal metastasis of parotid adenocarcinoma: a case report.

机构信息

Northern Ireland Cancer Centre , Belfast , UK.

Department of Histopathology, Royal Group of Hospitals Trust , Belfast , UK.

出版信息

Front Oncol. 2014 Jun 5;4:136. doi: 10.3389/fonc.2014.00136. eCollection 2014.

DOI:10.3389/fonc.2014.00136
PMID:24926438
原文链接:https://pmc.ncbi.nlm.nih.gov/articles/PMC4046101/
Abstract

BACKGROUND

Orbital metastases are an uncommon finding, being present in just 9% deceased patients with metastatic cancer. Only a quarter of patients with choroidal metastases have bilateral disease. Parotid cancer is not a common form of head and neck malignancy. Bilateral multifocal metastases from adenocarcinoma ex pleomorphic of parotid gland have been documented just once before in the literature. We present a similar case where palliative EBRT was used to gain local control with minimal toxicity.

CASE PRESENTATION

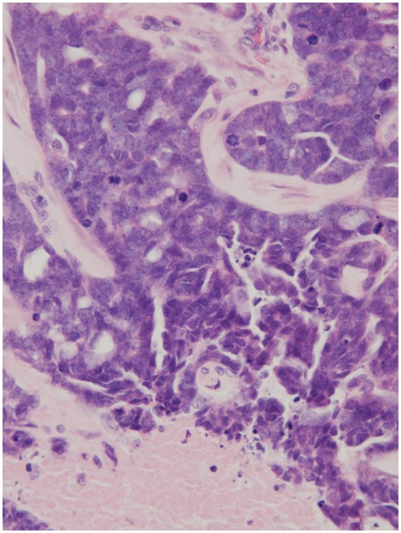
The case of a 45-year-old Caucasian gentleman who presented to his general practitioner with otalgia and weight loss. Imaging revealed a mass in the deep lobe of the left parotid gland, invading into the medial pterygoid muscle. PET-CT revealed locoregional and distant lymphatic involvement plus disseminated skeletal metastases. Lymph node examination revealed adenocarcinoma ex pleomorphic histology. Within weeks of this diagnosis, the patient developed rapidly progressive visual impairment. Ophthalmologists found multifocal uveal masses bilaterally. Palliative fractions of external beam radiotherapy were delivered to the orbits before combination chemotherapy. We discuss the patient's presentation, histopathology, and management, with support from the literature regarding applied and related therapies.

SUMMARY

In this rare presentation of disseminated malignancy affecting the choroid bilaterally, the authors demonstrate the application of palliative EBRT to good local effect. Given the nature of this treatment and that of the metastases, in the setting of incurable disease orbital morbidity is likely to occur again before the patient's death. Awareness of the initial symptoms is important to provide prompt care and maintain quality of life.

摘要

背景

眼眶转移较为罕见,仅存在于 9%患有转移性癌症的已故患者中。仅有四分之一的脉络膜转移患者存在双侧疾病。腮腺癌并不是一种常见的头颈部恶性肿瘤。在文献中,仅记录过一次来自腮腺多形性腺癌的双侧多灶性转移。我们呈现了一个类似的病例,使用姑息性 EBRT 获得局部控制,同时毒性最小。

病例介绍

一名 45 岁的白种男性,因耳痛和体重减轻就诊于他的全科医生。影像学检查显示左侧腮腺深叶有一个肿块,侵犯了内侧翼状肌。PET-CT 显示局部和远处淋巴结受累以及广泛的骨骼转移。淋巴结检查显示多形性腺癌组织学。在诊断后的几周内,患者的视力迅速恶化。眼科医生发现双侧脉络膜有多发性葡萄膜肿块。在联合化疗之前,对眼眶进行了姑息性分次外照射放疗。我们讨论了患者的表现、组织病理学和治疗,同时参考了有关应用和相关治疗的文献。

总结

在这种罕见的双侧脉络膜弥漫性恶性肿瘤的表现中,作者展示了姑息性 EBRT 的良好局部效果。鉴于这种治疗和转移的性质,在无法治愈的疾病背景下,在患者死亡之前,眼眶发病率可能再次发生。了解初始症状很重要,可以提供及时的护理并维持生活质量。

https://cdn.ncbi.nlm.nih.gov/pmc/blobs/057e/4046101/368d6d7b1a03/fonc-04-00136-g003.jpg
https://cdn.ncbi.nlm.nih.gov/pmc/blobs/057e/4046101/8794eade8d58/fonc-04-00136-g001.jpg
https://cdn.ncbi.nlm.nih.gov/pmc/blobs/057e/4046101/0beb800e8986/fonc-04-00136-g002.jpg
https://cdn.ncbi.nlm.nih.gov/pmc/blobs/057e/4046101/368d6d7b1a03/fonc-04-00136-g003.jpg
https://cdn.ncbi.nlm.nih.gov/pmc/blobs/057e/4046101/8794eade8d58/fonc-04-00136-g001.jpg
https://cdn.ncbi.nlm.nih.gov/pmc/blobs/057e/4046101/0beb800e8986/fonc-04-00136-g002.jpg
https://cdn.ncbi.nlm.nih.gov/pmc/blobs/057e/4046101/368d6d7b1a03/fonc-04-00136-g003.jpg

相似文献

1
Visual impairment due to bilateral multifocal choroidal metastasis of parotid adenocarcinoma: a case report.双侧腮腺腺癌多灶性脉络膜转移致视力障碍:病例报告。
Front Oncol. 2014 Jun 5;4:136. doi: 10.3389/fonc.2014.00136. eCollection 2014.
2
Multiple Simultaneous Rare Distant Metastases as the Initial Presentation of Papillary Thyroid Carcinoma: A Case Report.多发同时性罕见远处转移作为甲状腺乳头状癌的初始表现:一例报告
Front Endocrinol (Lausanne). 2019 Nov 8;10:759. doi: 10.3389/fendo.2019.00759. eCollection 2019.
3
Bilateral choroidal metastasis from carcinoma ex pleomorphic adenoma of the parotid gland.
Clin Exp Ophthalmol. 2005 Feb;33(1):70-2. doi: 10.1111/j.1442-9071.2005.00946.x.
4
More advantages in detecting bone and soft tissue metastases from prostate cancer using F-PSMA PET/CT.使用F-PSMA PET/CT检测前列腺癌骨和软组织转移方面有更多优势。
Hell J Nucl Med. 2019 Jan-Apr;22(1):6-9. doi: 10.1967/s002449910952. Epub 2019 Mar 7.
5
An unusual case of spleen metastasis from carcinoma ex pleomorphic adenoma of the parotid gland.1例罕见的腮腺多形性腺瘤恶变后脾脏转移病例。
World J Surg Oncol. 2014 Jan 23;12:18. doi: 10.1186/1477-7819-12-18.
6
Choroidal metastases as the sole initial presentation of metastatic lung cancer: case report and review of literature.脉络膜转移作为转移性肺癌的唯一初始表现:病例报告及文献综述
Nepal J Ophthalmol. 2012 Jul-Dec;4(2):339-42. doi: 10.3126/nepjoph.v4i2.6559.
7
Bilateral synchronous trabecular adenocarcinoma of the parotid gland.
ORL J Otorhinolaryngol Relat Spec. 1978;40(2):120-6. doi: 10.1159/000275394.
8
Presumed eccrine carcinoma metastatic to the choroid.推测为转移至脉络膜的小汗腺癌。
Clin Exp Ophthalmol. 2006 Sep-Oct;34(7):699-700. doi: 10.1111/j.1442-9071.2006.01322.x.
9
Choroidal metastasis as the sole initial presentation of metastatic lung cancer.脉络膜转移作为转移性肺癌的唯一初始表现。
Hematol Oncol Stem Cell Ther. 2012;5(1):60-5. doi: 10.5144/1658-3876.2012.60.
10
A case of pleomorphic adenoma of the parotid gland metastasizing to a mediastinal lymph node.1例腮腺多形性腺瘤转移至纵隔淋巴结。
Am J Otolaryngol. 2007 Mar-Apr;28(2):130-3. doi: 10.1016/j.amjoto.2006.07.002.

引用本文的文献

1
[Clinical approach for solid intraocular metastases].[眼内实性转移瘤的临床诊治方法]
Ophthalmologie. 2024 May;121(5):352-365. doi: 10.1007/s00347-024-02031-7. Epub 2024 Apr 22.
2
Radiotherapy of orbital metastases: a systematic review of management and treatment outcomes on behalf of palliative care study group of Italian association of radiotherapy and clinical oncology (AIRO).放疗治疗眼眶转移瘤:意大利放射肿瘤学和临床肿瘤学协会姑息治疗研究组对管理和治疗结果的系统评价。
Br J Radiol. 2023 Nov;96(1151):20230124. doi: 10.1259/bjr.20230124. Epub 2023 Oct 11.
3
Choroidal metastasis as the initial presentation of lung adenocarcinoma: A case report.

本文引用的文献

1
Management of patients with uveal metastases at the Liverpool Ocular Oncology Centre.利物浦眼部肿瘤中心葡萄膜转移患者的管理。
Br J Ophthalmol. 2014 Jan;98(1):92-8. doi: 10.1136/bjophthalmol-2013-303519. Epub 2013 Oct 29.
2
A comparison between ¹²⁵Iodine brachytherapy and stereotactic radiotherapy in the management of juxtapapillary choroidal melanoma.¹²⁵I 碘近距离放疗与立体定向放疗治疗睫状体旁脉络膜黑色素瘤的比较。
Br J Ophthalmol. 2013 Mar;97(3):327-32. doi: 10.1136/bjophthalmol-2012-302808. Epub 2013 Jan 19.
3
Uveal metastatic disease: current and new treatment options (review).
脉络膜转移作为肺腺癌的首发表现:一例报告
Respir Med Case Rep. 2020 Jan 3;29:100992. doi: 10.1016/j.rmcr.2019.100992. eCollection 2020.
4
Choroidal metastases from thymic carcinoma during pregnancy: Case Report.妊娠期间胸腺腺癌的脉络膜转移:病例报告
BMC Cancer. 2015 Dec 16;15:972. doi: 10.1186/s12885-015-1968-4.
葡萄膜转移性疾病:当前和新的治疗选择(综述)。
Oncol Rep. 2012 Mar;27(3):603-7. doi: 10.3892/or.2011.1563. Epub 2011 Nov 28.
4
Uveal metastases.
Monogr Clin Cytol. 2012;21:17-30. doi: 10.1159/000330816. Epub 2011 Oct 18.
5
Current treatments for radiation retinopathy.目前治疗放射性视网膜病变的方法。
Acta Oncol. 2011 Jan;50(1):6-13. doi: 10.3109/0284186X.2010.500299. Epub 2010 Aug 20.
6
Orbital lymphatics: do they exist?眼眶淋巴管:它们存在吗?
Eye (Lond). 2006 Oct;20(10):1145-8. doi: 10.1038/sj.eye.6702378.
7
Bilateral choroidal metastasis from carcinoma ex pleomorphic adenoma of the parotid gland.
Clin Exp Ophthalmol. 2005 Feb;33(1):70-2. doi: 10.1111/j.1442-9071.2005.00946.x.
8
Uveal metastasis from breast cancer in 264 patients.264例乳腺癌患者的葡萄膜转移
Am J Ophthalmol. 2003 Aug;136(2):264-71. doi: 10.1016/s0002-9394(03)00192-2.
9
External beam radiotherapy of choroidal metastases--final results of a prospective study of the German Cancer Society (ARO 95-08).脉络膜转移瘤的体外放射治疗——德国癌症协会前瞻性研究(ARO 95 - 08)的最终结果
Radiother Oncol. 2002 Jul;64(1):13-8. doi: 10.1016/s0167-8140(02)00134-2.
10
Cancer metastatic to the orbit: the 2000 Robert M. Curts Lecture.眼眶转移性癌:2000年罗伯特·M·柯茨讲座
Ophthalmic Plast Reconstr Surg. 2001 Sep;17(5):346-54. doi: 10.1097/00002341-200109000-00009.