• 文献检索
  • 文档翻译
  • 深度研究
  • 学术资讯
  • Suppr Zotero 插件Zotero 插件
  • 邀请有礼
  • 套餐&价格
  • 历史记录
应用&插件
Suppr Zotero 插件Zotero 插件浏览器插件Mac 客户端Windows 客户端微信小程序
定价
高级版会员购买积分包购买API积分包
服务
文献检索文档翻译深度研究API 文档MCP 服务
关于我们
关于 Suppr公司介绍联系我们用户协议隐私条款
关注我们

Suppr 超能文献

核心技术专利:CN118964589B侵权必究
粤ICP备2023148730 号-1Suppr @ 2026

文献检索

告别复杂PubMed语法,用中文像聊天一样搜索,搜遍4000万医学文献。AI智能推荐,让科研检索更轻松。

立即免费搜索

文件翻译

保留排版,准确专业,支持PDF/Word/PPT等文件格式,支持 12+语言互译。

免费翻译文档

深度研究

AI帮你快速写综述,25分钟生成高质量综述,智能提取关键信息,辅助科研写作。

立即免费体验

肺硬化性血管瘤伴淋巴结转移:1例报告及文献复习

Pulmonary sclerosing hemangioma with lymph node metastasis: A case report and literature review.

作者信息

Adachi Yasushi, Tsuta Koji, Hirano Ryuji, Tanaka Jin, Minamino Keizo, Shimo Tomohiko, Ikehara Susumu

机构信息

Division of Surgical Pathology, Toyooka Hospital, Toyooka, Hyogo 668-8501, Japan ; Department of Stem Cell Disorders, Kansai Medical University, Hirakata, Osaka 573-1010, Japan.

Department of Pathology and Clinical Laboratories, National Cancer Center Hospital, Tokyo 104-0045, Japan.

出版信息

Oncol Lett. 2014 Apr;7(4):997-1000. doi: 10.3892/ol.2014.1831. Epub 2014 Jan 28.

DOI:10.3892/ol.2014.1831
PMID:24944657
原文链接:https://pmc.ncbi.nlm.nih.gov/articles/PMC3961406/
Abstract

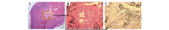
Pulmonary sclerosing hemangioma (SH) is an uncommon benign or low-grade malignant tumor. Multicentric SH and SH with lymph node metastasis have rarely been reported. The present report describes a case of pulmonary SH with lymph node metastasis in a middle-aged female. A nodule was found incidentally in the lower left lung. The patient underwent left lower pulmonary lobectomy and lymph node dissection. Histologically, the nodule demonstrated the characteristic features of SH and one of the resected lymph nodes contained a metastasis of this tumor. Thus, pulmonary SH has the potential to metastasize, a potential not suggested by histological features.

摘要

肺硬化性血管瘤(SH)是一种罕见的良性或低度恶性肿瘤。多中心性SH及伴有淋巴结转移的SH鲜有报道。本报告描述了一例中年女性肺SH伴淋巴结转移的病例。在左肺下叶偶然发现一个结节。患者接受了左下肺叶切除术及淋巴结清扫术。组织学检查显示,该结节具有SH的特征性表现,且切除的一个淋巴结中存在此肿瘤的转移灶。因此,肺SH有发生转移的可能,而组织学特征并未提示这种可能性。

https://cdn.ncbi.nlm.nih.gov/pmc/blobs/f3a1/3961406/e200fc9b8aa6/OL-07-04-0997-g03.jpg
https://cdn.ncbi.nlm.nih.gov/pmc/blobs/f3a1/3961406/cc92170755e5/OL-07-04-0997-g00.jpg
https://cdn.ncbi.nlm.nih.gov/pmc/blobs/f3a1/3961406/6c1107ccc1e3/OL-07-04-0997-g01.jpg
https://cdn.ncbi.nlm.nih.gov/pmc/blobs/f3a1/3961406/6f4a6970ac11/OL-07-04-0997-g02.jpg
https://cdn.ncbi.nlm.nih.gov/pmc/blobs/f3a1/3961406/e200fc9b8aa6/OL-07-04-0997-g03.jpg
https://cdn.ncbi.nlm.nih.gov/pmc/blobs/f3a1/3961406/cc92170755e5/OL-07-04-0997-g00.jpg
https://cdn.ncbi.nlm.nih.gov/pmc/blobs/f3a1/3961406/6c1107ccc1e3/OL-07-04-0997-g01.jpg
https://cdn.ncbi.nlm.nih.gov/pmc/blobs/f3a1/3961406/6f4a6970ac11/OL-07-04-0997-g02.jpg
https://cdn.ncbi.nlm.nih.gov/pmc/blobs/f3a1/3961406/e200fc9b8aa6/OL-07-04-0997-g03.jpg

相似文献

1
Pulmonary sclerosing hemangioma with lymph node metastasis: A case report and literature review.肺硬化性血管瘤伴淋巴结转移:1例报告及文献复习
Oncol Lett. 2014 Apr;7(4):997-1000. doi: 10.3892/ol.2014.1831. Epub 2014 Jan 28.
2
A rare case of pulmonary sclerosing hemagioma with lymph node metastasis and review of the literature.1例罕见的伴有淋巴结转移的肺硬化性血管瘤并文献复习
Int J Clin Exp Pathol. 2015 Jul 1;8(7):8619-23. eCollection 2015.
3
Sclerosing hemangioma with lymph node metastasis.伴有淋巴结转移的硬化性血管瘤。
Yonsei Med J. 2003 Feb;44(1):150-4. doi: 10.3349/ymj.2003.44.1.150.
4
Sclerosing haemangioma with lymph node metastasis.伴有淋巴结转移的硬化性血管瘤。
Respirology. 2009 May;14(4):614-6. doi: 10.1111/j.1440-1843.2009.01523.x. Epub 2009 Apr 8.
5
Pulmonary sclerosing pneumocytoma with mediastinal lymph node metastasis: a case report.肺硬化性血管皮细胞瘤伴纵隔淋巴结转移:1 例报告。
Gen Thorac Cardiovasc Surg. 2021 Jan;69(1):142-146. doi: 10.1007/s11748-020-01431-1. Epub 2020 Jul 14.
6
Pulmonary sclerosing hemangioma with lymph node metastases: report of 4 cases.肺硬化性血管瘤伴淋巴结转移:4例报告
Arch Pathol Lab Med. 2003 Mar;127(3):321-5. doi: 10.5858/2003-127-0321-PSHWLN.
7
A case of pneumocytoma (so-called sclerosing hemangioma) with lymph node metastasis.一例伴有淋巴结转移的肺细胞瘤(所谓的硬化性血管瘤)。
Jpn J Clin Oncol. 1986 Mar;16(1):77-86.
8
Pulmonary sclerosing hemangioma with metastasis to the mediastinal lymph node.肺硬化性血管瘤伴纵隔淋巴结转移。
Ann Thorac Surg. 2005 Dec;80(6):2351-3. doi: 10.1016/j.athoracsur.2004.06.099.
9
Completion lower lobectomy after basal segmentectomy for pulmonary sclerosing pneumocytoma with lymph node metastasis.肺硬化性细胞瘤伴淋巴结转移行基底段切除术后完成下叶切除术。
J Surg Case Rep. 2021 Nov 11;2021(11):rjab492. doi: 10.1093/jscr/rjab492. eCollection 2021 Nov.
10
Sclerosing hemangioma with metastases to multiple nodal stations.伴有多组淋巴结转移的硬化性血管瘤。
Ann Thorac Surg. 2002 Mar;73(3):981-3. doi: 10.1016/s0003-4975(01)03122-8.

引用本文的文献

1
Multiple pulmonary sclerosing pneumocytoma, based on a study of 36 cases worldwide.多灶性肺硬化性血管瘤 36 例全球研究
Sci Rep. 2024 May 28;14(1):12242. doi: 10.1038/s41598-024-63185-7.
2
Giant pulmonary sclerosing pneumocytoma with potentially malignant biological behavior: a case report and literature review.具有潜在恶性生物学行为的巨大肺硬化性细胞瘤:一例报告并文献复习
Ann Transl Med. 2023 Aug 30;11(10):365. doi: 10.21037/atm-22-4049. Epub 2023 Jun 14.
3
Pulmonary sclerosing pneumocytoma and mortality risk.肺硬化性血管平滑肌脂肪瘤与死亡风险。

本文引用的文献

1
Bilateral multiple sclerosing hemangiomas of the lung.双侧多发性肺硬化性血管瘤
Gen Thorac Cardiovasc Surg. 2009 Dec;57(12):667-70. doi: 10.1007/s11748-009-0452-y.
2
Sclerosing hemangioma with lymph nodal metastases.伴有淋巴结转移的硬化性血管瘤。
Indian J Pathol Microbiol. 2009 Jul-Sep;52(3):392-4. doi: 10.4103/0377-4929.55004.
3
Sclerosing hemangioma of the lung.肺硬化性血管瘤
BMC Pulm Med. 2022 Nov 7;22(1):404. doi: 10.1186/s12890-022-02199-1.
4
Clinical Characteristics of Malignant Pulmonary Sclerosing Pneumocytoma Based on a Study of 46 Cases Worldwide.基于全球46例病例研究的恶性肺硬化性细胞瘤的临床特征
Cancer Manag Res. 2022 Aug 13;14:2459-2467. doi: 10.2147/CMAR.S377161. eCollection 2022.
5
Coexistence of Multiple Pulmonary Sclerosing Pneumocytoma and Scleroderma-Rheumatoid Arthritis Overlap Syndrome: A Case Report.多发性肺硬化性肺细胞瘤与硬皮病-类风湿关节炎重叠综合征并存:一例报告
Turk Thorac J. 2022 Jul;23(4):302-305. doi: 10.5152/TurkThoracJ.2022.21273.
6
Completion lower lobectomy after basal segmentectomy for pulmonary sclerosing pneumocytoma with lymph node metastasis.肺硬化性细胞瘤伴淋巴结转移行基底段切除术后完成下叶切除术。
J Surg Case Rep. 2021 Nov 11;2021(11):rjab492. doi: 10.1093/jscr/rjab492. eCollection 2021 Nov.
7
Case Report and Literature Review: Pulmonary Sclerosing Pneumocytoma With Multiple Metastases Harboring E17K Somatic Mutation and C176Y Germline Mutation.病例报告与文献综述:伴有E17K体细胞突变和C176Y胚系突变且发生多处转移的肺硬化性肺细胞瘤
Front Med (Lausanne). 2021 Sep 8;8:655574. doi: 10.3389/fmed.2021.655574. eCollection 2021.
8
Case Report: Rare Pulmonary Sclerosing Pneumocytoma: Large, Multiple, Metastatic, and Fatal.病例报告:罕见的肺硬化性肺细胞瘤:巨大、多发、转移且致命。
Front Med (Lausanne). 2021 Aug 16;8:661032. doi: 10.3389/fmed.2021.661032. eCollection 2021.
9
A case of pulmonary sclerosing pneumocytoma diagnosed preoperatively using transbronchial cryobiopsy.1例经支气管冷冻活检术前诊断的肺硬化性肺细胞瘤。
Respir Med Case Rep. 2021 Aug 11;34:101494. doi: 10.1016/j.rmcr.2021.101494. eCollection 2021.
10
Large pulmonary sclerosing pneumocytoma in a young female: A rare lung tumor.年轻女性肺部硬化性血管外皮细胞瘤:一种罕见的肺部肿瘤。
Thorac Cancer. 2021 Jun;12(12):1909-1911. doi: 10.1111/1759-7714.13970. Epub 2021 May 5.
Arch Pathol Lab Med. 2009 May;133(5):820-5. doi: 10.5858/133.5.820.
4
Pulmonary sclerosing hemangioma with metastasis to the mediastinal lymph node.肺硬化性血管瘤伴纵隔淋巴结转移。
Ann Thorac Surg. 2005 Dec;80(6):2351-3. doi: 10.1016/j.athoracsur.2004.06.099.
5
Sixteen cases of sclerosing hemangioma of the lung including unusual presentations.16例肺硬化性血管瘤,包括不典型表现。
J Korean Med Sci. 2004 Jun;19(3):352-8. doi: 10.3346/jkms.2004.19.3.352.
6
Pulmonary sclerosing hemangioma with lymph node metastases.伴有淋巴结转移的肺硬化性血管瘤
Can Respir J. 2003 Oct;10(7):391-2. doi: 10.1155/2003/534147.
7
Sclerosing hemangioma (histiocytoma, xanthoma) of the lung.肺硬化性血管瘤(组织细胞瘤、黄色瘤)
Cancer. 1956 Jan-Feb;9(1):53-75. doi: 10.1002/1097-0142(195601/02)9:1<53::aid-cncr2820090104>3.0.co;2-u.
8
Pulmonary sclerosing hemangioma with lymph node metastases: report of 4 cases.肺硬化性血管瘤伴淋巴结转移:4例报告
Arch Pathol Lab Med. 2003 Mar;127(3):321-5. doi: 10.5858/2003-127-0321-PSHWLN.
9
Sclerosing hemangioma with lymph node metastasis.伴有淋巴结转移的硬化性血管瘤。
Yonsei Med J. 2003 Feb;44(1):150-4. doi: 10.3349/ymj.2003.44.1.150.
10
Sclerosing hemangioma with metastases to multiple nodal stations.伴有多组淋巴结转移的硬化性血管瘤。
Ann Thorac Surg. 2002 Mar;73(3):981-3. doi: 10.1016/s0003-4975(01)03122-8.