Suppr超能文献

表现罕见的自发性纵隔气肿。

Spontaneous pneumomediastinum with a rare presentation.

作者信息

Bolvardi Ehsan, Pishbin Elham, Ebrahimi Mohsen, Mahmoudi Gharaee Azadeh, Bagherian Farhad

机构信息

Department of Emergency Medicine, Mashhad University of Medical Science, Mashhad 9137913316, Iran.

出版信息

Case Rep Emerg Med. 2014;2014:451407. doi: 10.1155/2014/451407. Epub 2014 May 20.

Abstract

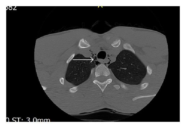
Spontaneous pneumomediastinum is an unusual and benign condition in which air is present in mediastinum. A 20-year-old male patient presented to ED with complaint of hoarseness and odynophagia from the day before, after weightlifting. The patient was nonsmoker and denied history of other diseases. On physical examination he had no dyspnea with normal vital signs. Throat examination and pulmonary auscultation were normal and no crepitation was palpable. We could not find subcutaneous emphysema in neck and chest examination. In neck and chest X-ray we found that air is present around the trachea. There was no apparent pneumothorax in CXR. In cervical and chest CT free air was present around trachea and in mediastinum. Subcutaneous emphysema was also evident. But there was no pneumothorax. The patient was admitted and went under close observation, oxygen therapy, and analgesic. The pneumomediastinum and subcutaneous emphysema gradually resolved within a week by conservative therapy and he was discharged without any complication. Many different conditions could be trigged because of pneumomediastinum but it is rarely seen in intense physical exertion such as weightlifting and bodybuilding. Two most common symptoms are retrosternal chest pain and dyspnea. But the patient here complained of hoarseness and odynophagia.

摘要

自发性纵隔气肿是一种罕见的良性病症,纵隔内存在气体。一名20岁男性患者因前一天举重后出现声音嘶哑和吞咽痛而就诊于急诊科。该患者不吸烟,否认有其他疾病史。体格检查时,他生命体征正常,无呼吸困难。咽喉检查和肺部听诊正常,未触及捻发音。在颈部和胸部检查中未发现皮下气肿。在颈部和胸部X线检查中,我们发现气管周围有气体。胸部X线片未见明显气胸。颈部和胸部CT显示气管周围及纵隔内有游离气体。皮下气肿也很明显。但无气胸。患者入院并接受密切观察、氧疗和镇痛治疗。通过保守治疗,纵隔气肿和皮下气肿在一周内逐渐消退,患者出院时无任何并发症。纵隔气肿可能引发许多不同情况,但在举重和健美等剧烈体力活动中很少见。最常见的两种症状是胸骨后胸痛和呼吸困难。但该患者主诉为声音嘶哑和吞咽痛。

https://cdn.ncbi.nlm.nih.gov/pmc/blobs/a984/4054972/31326353093d/CRIEM2014-451407.001.jpg

文献AI研究员

20分钟写一篇综述,助力文献阅读效率提升50倍。

立即体验

用中文搜PubMed

大模型驱动的PubMed中文搜索引擎

马上搜索

文档翻译

学术文献翻译模型,支持多种主流文档格式。

立即体验