Suppr超能文献

一例未被怀疑的腹膜间皮瘤,与伪装成腹膜转移瘤的结肠腺癌同时发生。

A case of unsuspected peritoneal mesothelioma occurring with colonic adenocarcinoma masquerading as peritoneal metastases.

作者信息

Xie Wei, Green Linda K, Patel Rishi A, Lai Syeling

机构信息

Department of Pathology and Immunology, Baylor College of Medicine, One Baylor Plaza, Houston, TX 77030, USA.

Department of Pathology and Immunology, Baylor College of Medicine, One Baylor Plaza, Houston, TX 77030, USA ; Department of Pathology, Michael E. DeBakey VA Medical Center, 2002 Holcombe Boulevard, Houston, TX 77030, USA.

出版信息

Case Rep Pathol. 2014;2014:838506. doi: 10.1155/2014/838506. Epub 2014 May 20.

Abstract

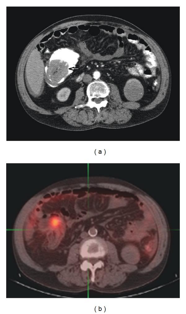
We report a case of synchronous primary colonic adenocarcinoma and malignant mesothelioma. A 61-year-old male presented with a six-month history of fatigue and weight loss. An abdominal computed tomography (CT) scan showed a 5.8 cm partially obstructing mass in the cecum with ascites and peritoneal thickening. A biopsy of the large mass showed an adenocarcinoma. Because the patient was clinically thought to be a T4 colon carcinoma with peritoneal metastatic lesions (M1), prior to initiating chemotherapy, a debulking right hemicolectomy was performed. Resection of the colon and ileum revealed a T3N0 colonic mucinous adenocarcinoma and concurrent diffuse malignant peritoneal mesothelioma. Presenting synchronous colonic and peritoneal mesothelial primary malignancies are exceedingly rare but must be considered to prevent incorrect clinical staging.

摘要

我们报告一例同时发生的原发性结肠腺癌和恶性间皮瘤病例。一名61岁男性,有6个月的疲劳和体重减轻病史。腹部计算机断层扫描(CT)显示盲肠有一个5.8厘米的部分梗阻性肿块,伴有腹水和腹膜增厚。对大肿块进行活检显示为腺癌。由于临床上认为该患者为伴有腹膜转移灶(M1)的T4期结肠癌,在开始化疗之前,进行了减瘤性右半结肠切除术。结肠和回肠切除术后显示为T3N0期结肠黏液腺癌并伴有弥漫性恶性腹膜间皮瘤。同时出现的结肠和腹膜间皮原发性恶性肿瘤极为罕见,但必须予以考虑,以防止临床分期错误。

https://cdn.ncbi.nlm.nih.gov/pmc/blobs/0363/4055023/71bedea3018f/CRIPA2014-838506.001.jpg

文献AI研究员

20分钟写一篇综述,助力文献阅读效率提升50倍。

立即体验

用中文搜PubMed

大模型驱动的PubMed中文搜索引擎

马上搜索

文档翻译

学术文献翻译模型,支持多种主流文档格式。

立即体验