Suppr超能文献

孕酮可增加经表柔比星处理的人肝癌HA22T/VGH细胞的凋亡,并相反地减少其自噬。

Progesterone increases apoptosis and inversely decreases autophagy in human hepatoma HA22T/VGH cells treated with epirubicin.

作者信息

Chang Wen-Tsan, Cheng Hsiao-Ling, Hsieh Bau-Shan, Chiu Chien-Chih, Lee King-Teh, Chang Kee-Lung

机构信息

Graduate Institute of Medicine, College of Medicine, Kaohsiung Medical University, Kaohsiung 80708, Taiwan ; Division of Hepatobiliary and Pancreatic Surgery, Department of Surgery, Kaohsiung Medical University Hospital, Kaohsiung 80756, Taiwan ; Department of Surgery, School of Medicine, College of Medicine, Kaohsiung Medical University, Kaohsiung 80708, Taiwan.

Department of Biochemistry, School of Medicine, College of Medicine, Kaohsiung Medical University, Kaohsiung 80708, Taiwan.

出版信息

ScientificWorldJournal. 2014;2014:567148. doi: 10.1155/2014/567148. Epub 2014 May 19.

Abstract

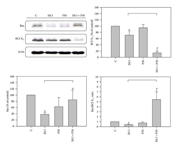
Hepatocellular carcinoma (HCC) is the leading cause of cancer-related deaths worldwide. Epirubicin can induce intracellular reactive oxygen species and is widely used to treat unresectable HCC. Progesterone has been found to inhibit the proliferation of hepatoma cells. This study was designed to test the combined effects of epirubicin and progesterone on human hepatoma cell line, HA22T/VGH. These cells were treated with different concentrations of epirubicin with or without the coaddition of 30 μM progesterone and then analyzed for apoptosis, autophagy, and expressions of apoptotic-related proteins and multidrug-resistant gene. Epirubicin treatment dose-dependently inhibited the growth of HA22T/VGH cells. Addition of 30 μM progesterone, which was inactive alone, augmented the effect of epirubicin on the inhibition of growth of HA22T/VGH cells. Cotreatment with progesterone enhanced epirubicin-induced apoptosis, as evidenced by greater increase in caspase-3 activity and in the ratio of the apoptosis-regulating protein, Bax/Bcl-X(L). The combination also caused a decrease in autophagy and in the expression of multidrug resistance-related protein 1 mRNA compared to epirubicin alone. This study shows the epirubicin/progesterone combination was more effective in increasing apoptosis and inversely decreasing autophagy on HA22T/VGH cells treated with epirubicin alone, suggesting that this combination can potentially be used to treat HCC.

摘要

肝细胞癌(HCC)是全球癌症相关死亡的主要原因。表柔比星可诱导细胞内活性氧的产生,被广泛用于治疗无法切除的HCC。已发现孕酮可抑制肝癌细胞的增殖。本研究旨在测试表柔比星和孕酮对人肝癌细胞系HA22T/VGH的联合作用。用不同浓度的表柔比星处理这些细胞,同时添加或不添加30μM孕酮,然后分析细胞凋亡、自噬以及凋亡相关蛋白和多药耐药基因的表达。表柔比星处理呈剂量依赖性地抑制HA22T/VGH细胞的生长。单独无活性的30μM孕酮的添加增强了表柔比星对HA22T/VGH细胞生长抑制的作用。与孕酮共同处理增强了表柔比星诱导的细胞凋亡,这表现为半胱天冬酶-3活性以及凋亡调节蛋白Bax/Bcl-X(L)比值的更大幅度增加。与单独使用表柔比星相比,该联合处理还导致自噬以及多药耐药相关蛋白1 mRNA表达的降低。本研究表明,表柔比星/孕酮联合用药在增加单独使用表柔比星处理的HA22T/VGH细胞的凋亡并反向降低自噬方面更有效,提示该联合用药可能具有治疗HCC的潜力。

https://cdn.ncbi.nlm.nih.gov/pmc/blobs/3904/4055367/46996a14abd5/TSWJ2014-567148.001.jpg

文献检索

告别复杂PubMed语法,用中文像聊天一样搜索,搜遍4000万医学文献。AI智能推荐,让科研检索更轻松。

立即免费搜索

文件翻译

保留排版,准确专业,支持PDF/Word/PPT等文件格式,支持 12+语言互译。

免费翻译文档

深度研究

AI帮你快速写综述,25分钟生成高质量综述,智能提取关键信息,辅助科研写作。

立即免费体验