Suppr超能文献

母体尼古丁对新生Balb/C小鼠脑微血管基底膜胶原蛋白IV的影响

The effect of maternal nicotine on basement membrane collagen IV of brain microvessels changes in neonatal Balb/C mice.

作者信息

Tahajjodi Somayyeh Sadat, Amerion Maryam, Mahdavi Shahri Nasser, Jalali Mehdi, Nikravesh Mohammad Reza

机构信息

Department of Biology, Faculty of Sciences, Ferdowsi University of Mashhad, Mashhad, Iran.

Department of Anatomy, School of Medicine, Mashhad University of Medical Sciences, Mashhad, Iran.

出版信息

Iran J Reprod Med. 2014 Apr;12(4):275-80.

Abstract

BACKGROUND

Nicotine can pass through placental blood barrier and accumulate in the developing organs of fetus. Also, entering the breast milk, nicotine can have an effect on the neonates. Investigations have showed that collagen IV is one of the most important micro vessels basement membrane components.

OBJECTIVE

In this study, the effect of maternal nicotine exposure in pre and postnatal periods on collagen IV in microvessels of neonatal Balb/C mice brain cortex was studied by immunohistochemistry technique.

MATERIALS AND METHODS

24 pregnant Balb/C mice were divided in to 4 groups (6 mice in each group): two experimental and 2 control groups. The mothers in the 1(st) experimental group were injected 3 mg/kg nicotine intrapritoneally from the 5(th) day of pregnancy to parturition daily and in 2(nd) experimental group the same procedure was repeated to the 10(th) day after parturition (lactation). The control groups received the same volume of normal saline during the same time. 10 days after delivery, the brain tissues of newborns were isolated. Then, prepared blocks from fixed brain were cut serially for immunohistochemical assay.

RESULTS

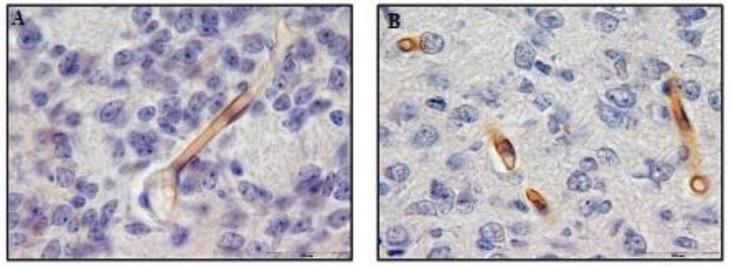
The findings of the present study indicated that collagen IV reaction in microvessels basement membrane in the first experimental group increased significantly compared to the first control group (p=0.002). In addition, collagen IV reaction in microvessels basement membrane in the 2(nd) experimental group increased significantly compared to the 2(nd) control group (p=0.002). However, no significant difference was observed between the two experimental groups.

CONCLUSION

These results suggested that maternal nicotine exposure during prenatal period may increase basement membrane collagen IV expression. Also, nicotine increases in maternal breast milk has no effect on basement membrane collagen IV expression.

摘要

背景

尼古丁可穿过胎盘血脑屏障并积聚在胎儿发育中的器官中。此外,尼古丁进入母乳后会对新生儿产生影响。研究表明,IV型胶原是最重要的微血管基底膜成分之一。

目的

本研究采用免疫组织化学技术,研究孕期和产后母体尼古丁暴露对新生Balb/C小鼠脑皮质微血管中IV型胶原的影响。

材料与方法

将24只怀孕的Balb/C小鼠分为4组(每组6只):两个实验组和两个对照组。第一实验组的母鼠从怀孕第5天至分娩每天腹腔注射3mg/kg尼古丁,第二实验组重复相同程序至产后第10天(哺乳期)。对照组在相同时间内接受相同体积的生理盐水。分娩10天后,分离新生小鼠的脑组织。然后,将固定好的脑组织制成组织块,连续切片进行免疫组织化学检测。

结果

本研究结果表明,与第一对照组相比,第一实验组微血管基底膜中的IV型胶原反应显著增加(p=0.002)。此外,与第二对照组相比,第二实验组微血管基底膜中的IV型胶原反应显著增加(p=0.002)。然而,两个实验组之间未观察到显著差异。

结论

这些结果表明,孕期母体尼古丁暴露可能会增加基底膜IV型胶原的表达。此外,母体母乳中尼古丁含量的增加对基底膜IV型胶原的表达没有影响。

https://cdn.ncbi.nlm.nih.gov/pmc/blobs/11ab/4071633/b6adc79303d5/ijrm-12-275-g001.jpg

文献AI研究员

20分钟写一篇综述,助力文献阅读效率提升50倍。

立即体验

用中文搜PubMed

大模型驱动的PubMed中文搜索引擎

马上搜索

文档翻译

学术文献翻译模型,支持多种主流文档格式。

立即体验