• 文献检索
  • 文档翻译
  • 深度研究
  • 学术资讯
  • Suppr Zotero 插件Zotero 插件
  • 邀请有礼
  • 套餐&价格
  • 历史记录
应用&插件
Suppr Zotero 插件Zotero 插件浏览器插件Mac 客户端Windows 客户端微信小程序
定价
高级版会员购买积分包购买API积分包
服务
文献检索文档翻译深度研究API 文档MCP 服务
关于我们
关于 Suppr公司介绍联系我们用户协议隐私条款
关注我们

Suppr 超能文献

核心技术专利:CN118964589B侵权必究
粤ICP备2023148730 号-1Suppr @ 2026

文献检索

告别复杂PubMed语法,用中文像聊天一样搜索,搜遍4000万医学文献。AI智能推荐,让科研检索更轻松。

立即免费搜索

文件翻译

保留排版,准确专业,支持PDF/Word/PPT等文件格式,支持 12+语言互译。

免费翻译文档

深度研究

AI帮你快速写综述,25分钟生成高质量综述,智能提取关键信息,辅助科研写作。

立即免费体验

上皮样血管内皮细胞瘤:39 例临床病理、免疫组织化学和分子遗传学分析。

Epithelioid Hemangioendothelioma: clinicopathologic, immunhistochemical, and molecular genetic analysis of 39 cases.

机构信息

Department of Pathology, Radboud University Medical Center, P,O, Box 9101, 6500 HB Nijmegen, The Netherlands.

出版信息

Diagn Pathol. 2014 Jul 1;9:131. doi: 10.1186/1746-1596-9-131.

DOI:10.1186/1746-1596-9-131
PMID:24986479
原文链接:https://pmc.ncbi.nlm.nih.gov/articles/PMC4100035/
Abstract

BACKGROUND

Epithelioid hemangioendothelioma is a malignant, often indolent vascular tumor which occurs at various anatomic sites. Based on a reciprocal translocation t (1;3)(p36;q25), a consistent WWTR1-CAMTA1 fusion gene has been found. An alternate YAP1-TFE3 fusion has been detected in a small and distinct subset of cases.

METHODS

Thirty-nine tumors, from 24 females and 15 males with an age range 9-85 years, were located in soft tissue (head and neck [8], trunk [5], upper extremities [3], lower extremities [2], mediastinal [1], and paratesticular [1]), lymph node (1), breast (1), skin (2), bone (6), lung (7), and liver (2). The cases were investigated using a panel of immunohistochemical markers. The aforementioned fusion-genes were examined using RT-PCR and/or FISH in order to validate their diagnostic value.

RESULTS

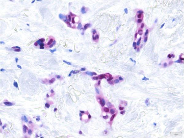
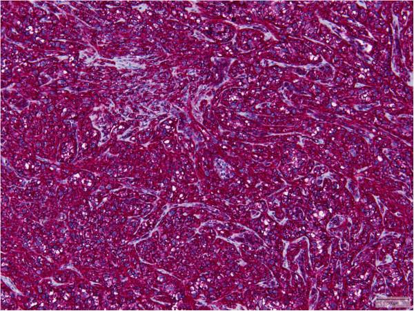
Follow-up available for 17 patients ranged from 3 months to 7 years (median interval 1.5 years). Eleven patients were alive without disease, 2 patients were alive with disease after 1.5 and 2 years, respectively. Four patients died of disease after 4 months (n = 1), 5 months (n = 2), and 1.5 years (n = 1).The size, known for 30 lesions, was >3 cm in 9 of them. Histologically, all lesions had classical features, at least focally. Four tumors counted >3 mitoses/50 HPF. Immunohistochemically, all cases tested stained positive for ERG (21), FLI1 (5) and CD31 (39). CD34 and D2-40 positivity was seen in 81% and 71% of the examined cases, respectively. 11/35 cases expressed pan-keratin and 6/20 cases CK8.18. TFE3 showed a nuclear reaction in 21/24 cases, irrespective of TFE3 rearrangement.Molecular genetically, 35/35 cases revealed one of the fusion genes by FISH and/or RT-PCR with WWTR1-CAMTA1 in 33 cases and YAP1-TFE3 in 2 cases.

CONCLUSIONS

These results demonstrate the high diagnostic value of FISH and RT-PCR in detecting the fusion genes of EHE. The immunohistochemical utility of TFE3 appears questionable in this study.

VIRTUAL SLIDES

The virtual slide(s) for this article can be found here: http://www.diagnosticpathology.diagnomx.eu/vs/4010279141259481.

摘要

背景

上皮样血管内皮细胞瘤是一种恶性、常为惰性的血管肿瘤,可发生于各种解剖部位。基于相互易位 t(1;3)(p36;q25),发现了一致的 WWTR1-CAMTA1 融合基因。在一小部分明显不同的病例中,检测到了另一种 YAP1-TFE3 融合。

方法

39 例肿瘤来自 24 名女性和 15 名男性,年龄 9-85 岁,位于软组织(头颈部[8]、躯干[5]、上肢[3]、下肢[2]、纵隔[1]和副睾[1])、淋巴结(1)、乳腺(1)、皮肤(2)、骨(6)、肺(7)和肝(2)。使用一组免疫组织化学标志物对这些病例进行了研究。使用 RT-PCR 和/或 FISH 检查了上述融合基因,以验证其诊断价值。

结果

17 例患者的随访时间为 3 个月至 7 年(中位间隔 1.5 年)。11 例患者无疾病存活,2 例患者分别在 1.5 年和 2 年后疾病存活。4 例患者分别在 4 个月(n=1)、5 个月(n=2)和 1.5 年后(n=1)死于疾病。已知 30 个病变中的 30 个病变的大小>3cm。组织学上,所有病变至少局灶性地具有典型特征。4 个肿瘤计数>3/50 HPF 的有丝分裂。免疫组织化学检查,所有病例均检测到 ERG(21)、FLI1(5)和 CD31(39)阳性。CD34 和 D2-40 的阳性率分别为 81%和 71%。35/35 例表达泛角蛋白,20/20 例 CK8.18。24 例中的 21 例 TFE3 显示核反应,不论 TFE3 重排如何。分子遗传学上,35/35 例通过 FISH 和/或 RT-PCR 检测到融合基因,其中 WWTR1-CAMTA1 融合基因在 33 例中,YAP1-TFE3 融合基因在 2 例中。

结论

这些结果表明 FISH 和 RT-PCR 在检测 EHE 的融合基因方面具有很高的诊断价值。在这项研究中,TFE3 的免疫组织化学效用似乎值得怀疑。

https://cdn.ncbi.nlm.nih.gov/pmc/blobs/71be/4100035/1597bb87e2bd/1746-1596-9-131-9.jpg
https://cdn.ncbi.nlm.nih.gov/pmc/blobs/71be/4100035/39bf6ec09c8a/1746-1596-9-131-1.jpg
https://cdn.ncbi.nlm.nih.gov/pmc/blobs/71be/4100035/b6c2a202404f/1746-1596-9-131-2.jpg
https://cdn.ncbi.nlm.nih.gov/pmc/blobs/71be/4100035/5d58f86d13b9/1746-1596-9-131-3.jpg
https://cdn.ncbi.nlm.nih.gov/pmc/blobs/71be/4100035/41852f23ab27/1746-1596-9-131-4.jpg
https://cdn.ncbi.nlm.nih.gov/pmc/blobs/71be/4100035/af288839429a/1746-1596-9-131-5.jpg
https://cdn.ncbi.nlm.nih.gov/pmc/blobs/71be/4100035/66761c58cda2/1746-1596-9-131-6.jpg
https://cdn.ncbi.nlm.nih.gov/pmc/blobs/71be/4100035/26c271a8d6ad/1746-1596-9-131-7.jpg
https://cdn.ncbi.nlm.nih.gov/pmc/blobs/71be/4100035/4579cb33207f/1746-1596-9-131-8.jpg
https://cdn.ncbi.nlm.nih.gov/pmc/blobs/71be/4100035/1597bb87e2bd/1746-1596-9-131-9.jpg
https://cdn.ncbi.nlm.nih.gov/pmc/blobs/71be/4100035/39bf6ec09c8a/1746-1596-9-131-1.jpg
https://cdn.ncbi.nlm.nih.gov/pmc/blobs/71be/4100035/b6c2a202404f/1746-1596-9-131-2.jpg
https://cdn.ncbi.nlm.nih.gov/pmc/blobs/71be/4100035/5d58f86d13b9/1746-1596-9-131-3.jpg
https://cdn.ncbi.nlm.nih.gov/pmc/blobs/71be/4100035/41852f23ab27/1746-1596-9-131-4.jpg
https://cdn.ncbi.nlm.nih.gov/pmc/blobs/71be/4100035/af288839429a/1746-1596-9-131-5.jpg
https://cdn.ncbi.nlm.nih.gov/pmc/blobs/71be/4100035/66761c58cda2/1746-1596-9-131-6.jpg
https://cdn.ncbi.nlm.nih.gov/pmc/blobs/71be/4100035/26c271a8d6ad/1746-1596-9-131-7.jpg
https://cdn.ncbi.nlm.nih.gov/pmc/blobs/71be/4100035/4579cb33207f/1746-1596-9-131-8.jpg
https://cdn.ncbi.nlm.nih.gov/pmc/blobs/71be/4100035/1597bb87e2bd/1746-1596-9-131-9.jpg

相似文献

1
Epithelioid Hemangioendothelioma: clinicopathologic, immunhistochemical, and molecular genetic analysis of 39 cases.上皮样血管内皮细胞瘤:39 例临床病理、免疫组织化学和分子遗传学分析。
Diagn Pathol. 2014 Jul 1;9:131. doi: 10.1186/1746-1596-9-131.
2
Novel YAP1-TFE3 fusion defines a distinct subset of epithelioid hemangioendothelioma.新型 YAP1-TFE3 融合基因定义了独特的上皮样血管内皮细胞瘤亚群。
Genes Chromosomes Cancer. 2013 Aug;52(8):775-84. doi: 10.1002/gcc.22073. Epub 2013 Jun 5.
3
Epithelioid hemangioendotheliomas with TFE3 gene translocations are compossible with CAMTA1 gene rearrangements.伴有TFE3基因易位的上皮样血管内皮瘤可能与CAMTA1基因重排同时存在。
Oncotarget. 2016 Feb 16;7(7):7480-8. doi: 10.18632/oncotarget.7060.
4
Molecular characterization of epithelioid haemangioendotheliomas identifies novel WWTR1-CAMTA1 fusion variants.上皮样血管内皮瘤的分子特征鉴定出新型WWTR1-CAMTA1融合变体。
Histopathology. 2015 Nov;67(5):699-708. doi: 10.1111/his.12697. Epub 2015 May 14.
5
[Atypical epithelioid hemangioendothelioma: a clinicopathological analysis of eight cases].[非典型上皮样血管内皮瘤:8例临床病理分析]
Zhonghua Bing Li Xue Za Zhi. 2019 Aug 8;48(8):620-625. doi: 10.3760/cma.j.issn.0529-5807.2019.08.007.
6
Primary Intranodal Epithelioid Hemangioendothelioma with Molecular Confirmation.伴分子确证的原发性淋巴结上皮样血管内皮细胞瘤。
Int J Surg Pathol. 2022 Aug;30(5):557-563. doi: 10.1177/10668969211070174. Epub 2022 Jan 31.
7
A novel WWTR1-CAMTA1 gene fusion is a consistent abnormality in epithelioid hemangioendothelioma of different anatomic sites.一种新的 WWTR1-CAMTA1 基因融合是不同解剖部位上皮样血管内皮细胞瘤的一致性异常。
Genes Chromosomes Cancer. 2011 Aug;50(8):644-53. doi: 10.1002/gcc.20886. Epub 2011 May 16.
8
YAP1-TFE3-fused hemangioendothelioma: a multi-institutional clinicopathologic study of 24 genetically-confirmed cases.YAP1-TFE3融合性血管内皮瘤:24例基因确诊病例的多机构临床病理研究
Mod Pathol. 2021 Dec;34(12):2211-2221. doi: 10.1038/s41379-021-00879-7. Epub 2021 Aug 11.
9
Prognostic stratification of clinical and molecular epithelioid hemangioendothelioma subsets.临床和分子表型上皮样血管内皮细胞瘤亚组的预后分层。
Mod Pathol. 2020 Apr;33(4):591-602. doi: 10.1038/s41379-019-0368-8. Epub 2019 Sep 19.
10
[Epithelioid hemangioendothelioma with TFE3 translocation in soft tissue:a clinicopathological study].[软组织中伴有TFE3易位的上皮样血管内皮瘤:一项临床病理研究]
Zhonghua Bing Li Xue Za Zhi. 2021 Oct 8;50(10):1151-1156. doi: 10.3760/cma.j.cn112151-20210119-00054.

引用本文的文献

1
YAP, TAZ, and Hippo-Dysregulating Fusion Proteins in Cancer.癌症中的YAP、TAZ和失调的Hippo融合蛋白
Annu Rev Cancer Biol. 2024 Jun;8:331-350. doi: 10.1146/annurev-cancerbio-061223-094639.
2
Hepatic epithelioid hemangioendothelioma, a rare liver tumor: a case report and review of the literature.肝上皮样血管内皮瘤,一种罕见的肝脏肿瘤:病例报告及文献综述
Front Oncol. 2025 May 16;15:1522002. doi: 10.3389/fonc.2025.1522002. eCollection 2025.
3
Advancing Precision Medicine: The Role of Genetic Testing and Sequencing Technologies in Identifying Biological Markers for Rare Cancers.

本文引用的文献

1
A novel SERPINE1-FOSB fusion gene results in transcriptional up-regulation of FOSB in pseudomyogenic haemangioendothelioma.一种新型 SERPINE1-FOSB 融合基因导致假性肌源性血管内皮瘤中 FOSB 的转录上调。
J Pathol. 2014 Apr;232(5):534-40. doi: 10.1002/path.4322. Epub 2014 Jan 29.
2
ERG and FLI1 protein expression in epithelioid sarcoma.上皮样肉瘤中 ERG 和 FLI1 蛋白的表达。
Mod Pathol. 2014 Apr;27(4):496-501. doi: 10.1038/modpathol.2013.161. Epub 2013 Sep 27.
3
Mediastinal epithelioid hemangioendothelioma with abundant spindle cells and osteoclast-like giant cells mimicking malignant fibrous histiocytoma.
推进精准医学:基因检测与测序技术在识别罕见癌症生物标志物中的作用
Cancer Med. 2025 Apr;14(8):e70853. doi: 10.1002/cam4.70853.
4
Perivascular Epithelioid Cell Tumor of the Lung With a Novel Fusion.伴有新型融合的肺血管周上皮样细胞瘤
Int J Surg Pathol. 2025 Sep;33(6):1519-1525. doi: 10.1177/10668969251323936. Epub 2025 Mar 13.
5
CAMTA1-immunonegative epithelioid hemangioendotheliomas of the liver: a clinicopathological and molecular analysis of seven cases.肝脏CAMTA1免疫阴性上皮样血管内皮瘤:7例临床病理及分子分析
Front Oncol. 2025 Feb 18;15:1478036. doi: 10.3389/fonc.2025.1478036. eCollection 2025.
6
Total talectomy and reconstruction using unrestricted 3D printed prosthesis for pediatric talus hemangioendothelioma.采用无限制3D打印假体进行全距骨切除术并重建治疗小儿距骨血管内皮瘤。
Bone Rep. 2025 Feb 13;24:101830. doi: 10.1016/j.bonr.2025.101830. eCollection 2025 Mar.
7
Multifocal epithelioid hemangioendothelioma of liver.肝脏多灶性上皮样血管内皮瘤
Med J Armed Forces India. 2024 Nov-Dec;80(6):738-740. doi: 10.1016/j.mjafi.2022.03.007. Epub 2022 Jun 13.
8
Hepatic epithelioid hemangioendothelioma with rearrangement: a case report and literature review.伴有重排的肝上皮样血管内皮瘤:一例报告及文献复习
Front Oncol. 2025 Jan 23;15:1442233. doi: 10.3389/fonc.2025.1442233. eCollection 2025.
9
Non-metastatic causes of multiple pulmonary nodules.多发性肺结节的非转移性病因。
Insights Imaging. 2024 Nov 29;15(1):288. doi: 10.1186/s13244-024-01856-9.
10
Atypical cellular neurothekeoma: a case report with a novel NF1 mutation.非典型细胞神经鞘瘤:一例伴有新型 NF1 突变的病例报告。
Diagn Pathol. 2024 Nov 22;19(1):151. doi: 10.1186/s13000-024-01578-y.
纵隔上皮样血管内皮细胞瘤伴丰富梭形细胞和破骨样巨细胞,类似于恶性纤维组织细胞瘤。
Diagn Pathol. 2013 Jun 21;8:103. doi: 10.1186/1746-1596-8-103.
4
ERG expression in epithelioid sarcoma: a diagnostic pitfall.上皮样肉瘤中 ERG 的表达:一个诊断陷阱。
Am J Surg Pathol. 2013 Oct;37(10):1580-5. doi: 10.1097/PAS.0b013e31828de23a.
5
Novel YAP1-TFE3 fusion defines a distinct subset of epithelioid hemangioendothelioma.新型 YAP1-TFE3 融合基因定义了独特的上皮样血管内皮细胞瘤亚群。
Genes Chromosomes Cancer. 2013 Aug;52(8):775-84. doi: 10.1002/gcc.22073. Epub 2013 Jun 5.
6
Frequent PLAG1 gene rearrangements in skin and soft tissue myoepithelioma with ductal differentiation.皮肤和软组织肌上皮瘤伴导管分化中频繁的 PLAG1 基因重排。
Genes Chromosomes Cancer. 2013 Jul;52(7):675-82. doi: 10.1002/gcc.22063. Epub 2013 Apr 30.
7
Molecular diagnostics complementing morphology in superficial mesenchymal tumors.在表浅间叶性肿瘤中,分子诊断对形态学起补充作用。
Semin Diagn Pathol. 2013 Feb;30(1):95-109. doi: 10.1053/j.semdp.2012.01.005.
8
Mesothelioma with signet-ring cell features: report of 23 cases.具有印戒细胞特征的间皮瘤:23 例报告。
Mod Pathol. 2013 Mar;26(3):370-84. doi: 10.1038/modpathol.2012.172. Epub 2012 Oct 5.
9
Perivascular epithelioid cell tumors (PEComas) harboring TFE3 gene rearrangements lack the TSC2 alterations characteristic of conventional PEComas: further evidence for a biological distinction.携带TFE3基因重排的血管周围上皮样细胞瘤(PEComas)缺乏传统PEComas特有的TSC2改变:生物学差异的进一步证据。
Am J Surg Pathol. 2012 May;36(5):783-4. doi: 10.1097/PAS.0b013e31824a8a37.
10
A subset of cutaneous and soft tissue mixed tumors are genetically linked to their salivary gland counterpart.一部分皮肤和软组织混合瘤在基因上与其唾液腺对应物相关联。
Genes Chromosomes Cancer. 2012 Feb;51(2):140-8. doi: 10.1002/gcc.20938. Epub 2011 Oct 28.