Biological Science Department, Faculty of Science, King Abdulaziz University, P,O, Box 80203, Jeddah 21589, Kingdom of Saudi Arabia.
BMC Complement Altern Med. 2014 Jul 3;14:219. doi: 10.1186/1472-6882-14-219.
Hepatitis C virus (HCV) infection represents a worldwide health threat that still needs efficient protective vaccine and/or effective drug. The traditional medicine, such as camel milk, is heavily used by the large sector of HCV patients to control the infection due to the high cost of the available standard therapy. Camel milk contains lactoferrin, which plays an important and multifunctional role in innate immunity and specific host defense against microbial infection. Continuing the analysis of the effectiveness of camel lactoferrin against HCV, the current study aimed to separate and purify the native N- and C-lobes from the proteolytically cleaved camel lactoferrin (cLF) and to compare their in vitro activities against the HCV infection in Huh7.5 cells in order to determine the most active domain.
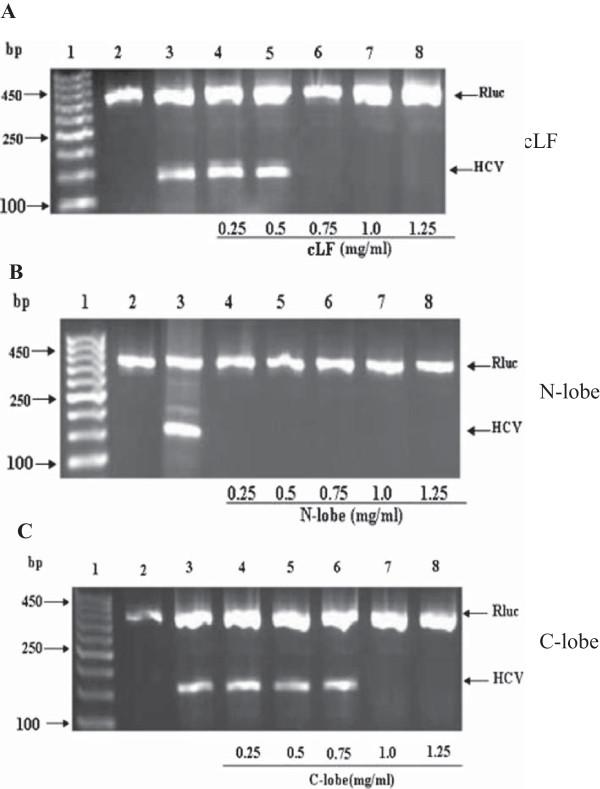
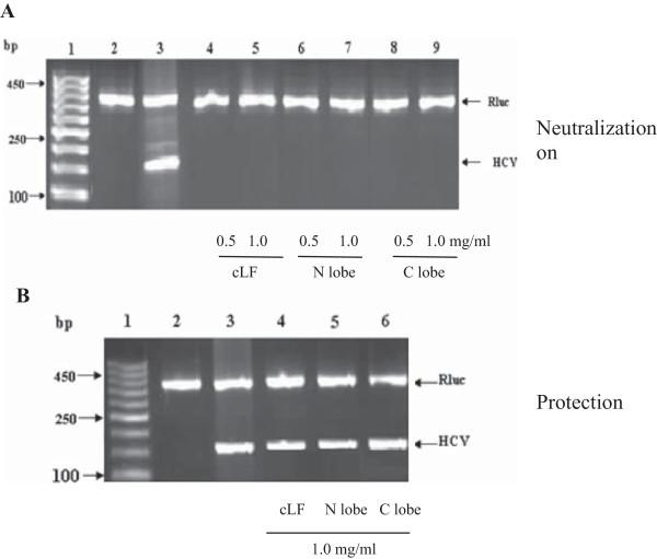
Lactoferrin and its digested N- and C-lobes were purified by Mono S 5/50 GL column and Superdex 200 5/150 column. The purified proteins were assessed through three venues: 1. To inhibit intracellular replication, HCV infected cells were treated with the proteins at different concentrations and time intervals; 2. The proteins were directly incubated with the viral particles (neutralization) and then such neutralized viruses were used to infect cells; 3. The cells were protected with proteins before exposure to the virus. The antiviral potentials of the cLf and its lobes were determined using three techniques: 1. RT-nested PCR, 2. Real-time PCR, and 3. Flow cytometry.
N- and C-lobes were purified in two consecutive steps; using Mono-S and Superdex 200 columns. The molecular mass of N- and C-lobes was about 40 kDa. cLF and its lobes could prevent HCV entry into Huh 7.5 cells with activity reached 100% through direct interaction with the virus. The inhibition of intracellular viral replication by N-lobe is 2-fold and 3-fold more effective than that of the cLF and C-lobe, respectively.
Generated native N- and C-lobes from camel lactoferrin demonstrated a range of noticeably different potentials against HCV cellular infectivity. The anti-HCV activities were sorted as N-lobe > cLf > C-lobe.
丙型肝炎病毒 (HCV) 感染是一种全球性的健康威胁,仍需要有效的保护性疫苗和/或药物。由于现有标准疗法的成本较高,骆驼奶等传统药物被大量 HCV 患者用于控制感染。骆驼奶含有乳铁蛋白,它在天然免疫和针对微生物感染的特定宿主防御中发挥着重要的多功能作用。为了继续分析骆驼乳铁蛋白对 HCV 的有效性,本研究旨在从酶切的骆驼乳铁蛋白 (cLF) 中分离和纯化天然的 N 端和 C 端结构域,并比较它们在 Huh7.5 细胞中对 HCV 感染的体外活性,以确定最具活性的结构域。
乳铁蛋白及其消化的 N 端和 C 端结构域通过 Mono S 5/50 GL 柱和 Superdex 200 5/150 柱进行纯化。通过三种方法评估纯化的蛋白质:1. 通过用不同浓度和时间间隔的蛋白质处理感染 HCV 的细胞来抑制细胞内复制;2. 将蛋白质直接与病毒颗粒孵育(中和),然后用中和后的病毒感染细胞;3. 在暴露于病毒之前用蛋白质保护细胞。使用三种技术来确定 cLf 及其结构域的抗病毒潜力:1. RT-巢式 PCR;2. 实时 PCR;3. 流式细胞术。
通过连续两步使用 Mono-S 和 Superdex 200 柱,纯化了 N 端和 C 端结构域。N 端和 C 端结构域的分子量约为 40 kDa。cLF 和其结构域可通过与病毒直接相互作用,将 HCV 进入 Huh7.5 细胞的效率达到 100%。N 端结构域抑制细胞内病毒复制的效果分别比 cLF 和 C 端结构域高 2 倍和 3 倍。
从骆驼乳铁蛋白中产生的天然 N 端和 C 端结构域对 HCV 细胞感染力表现出一系列明显不同的潜力。抗 HCV 活性排序为 N 端结构域 > cLF > C 端结构域。