Bernatík Ondřej, Šedová Kateřina, Schille Carolin, Ganji Ranjani Sri, Červenka Igor, Trantírek Lukáš, Schambony Alexandra, Zdráhal Zbyněk, Bryja Vítězslav
From the Institute of Experimental Biology, Faculty of Science, Masaryk University, Kotlarska 2, 61137 Brno, Czech Republic, Department of Cytokinetics, Institute of Biophysics, Academy of Sciences of the Czech Republic, Kralovopolska 135, 61265 Brno, Czech Republic.
National Centre for Biomolecular Research, Faculty of Science, Masaryk University, Kamenice 5, 62500 Brno, Czech Republic, Research Group-Proteomics, Central European Institute of Technology (CEITEC), Masaryk University, Kamenice 5, 62500 Brno, Czech Republic.
J Biol Chem. 2014 Aug 22;289(34):23520-33. doi: 10.1074/jbc.M114.590638. Epub 2014 Jul 3.
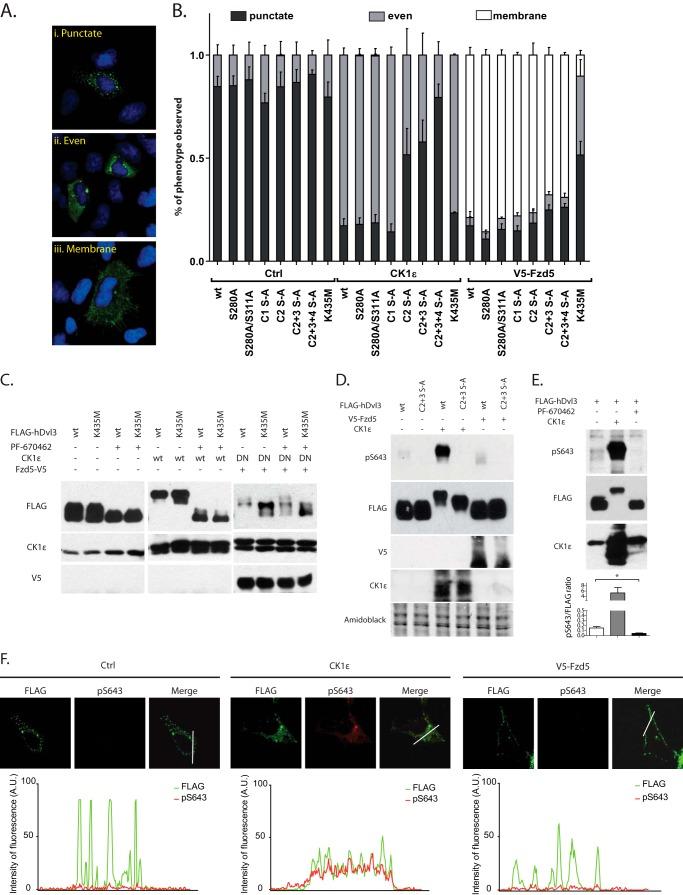
Dishevelled-3 (Dvl3), a key component of the Wnt signaling pathways, acts downstream of Frizzled (Fzd) receptors and gets heavily phosphorylated in response to pathway activation by Wnt ligands. Casein kinase 1ϵ (CK1ϵ) was identified as the major kinase responsible for Wnt-induced Dvl3 phosphorylation. Currently it is not clear which Dvl residues are phosphorylated and what is the consequence of individual phosphorylation events. In the present study we employed mass spectrometry to analyze in a comprehensive way the phosphorylation of human Dvl3 induced by CK1ϵ. Our analysis revealed >50 phosphorylation sites on Dvl3; only a minority of these sites was found dynamically induced after co-expression of CK1ϵ, and surprisingly, phosphorylation of one cluster of modified residues was down-regulated. Dynamically phosphorylated sites were analyzed functionally. Mutations within PDZ domain (S280A and S311A) reduced the ability of Dvl3 to activate TCF/LEF (T-cell factor/lymphoid enhancer factor)-driven transcription and induce secondary axis in Xenopus embryos. In contrast, mutations of clustered Ser/Thr in the Dvl3 C terminus prevented ability of CK1ϵ to induce electrophoretic mobility shift of Dvl3 and its even subcellular localization. Surprisingly, mobility shift and subcellular localization changes induced by Fzd5, a Wnt receptor, were in all these mutants indistinguishable from wild type Dvl3. In summary, our data on the molecular level (i) support previous the assumption that CK1ϵ acts via phosphorylation of distinct residues as the activator as well as the shut-off signal of Wnt/β-catenin signaling and (ii) suggest that CK1ϵ acts on Dvl via different mechanism than Fzd5.
散乱蛋白3(Dvl3)是Wnt信号通路的关键组成部分,在卷曲蛋白(Fzd)受体下游发挥作用,并在Wnt配体激活该通路时发生大量磷酸化。酪蛋白激酶1ε(CK1ε)被确定为负责Wnt诱导的Dvl3磷酸化的主要激酶。目前尚不清楚Dvl的哪些残基被磷酸化,以及单个磷酸化事件的后果是什么。在本研究中,我们采用质谱法全面分析了CK1ε诱导的人Dvl3的磷酸化情况。我们的分析揭示了Dvl3上有超过50个磷酸化位点;在共表达CK1ε后,这些位点中只有少数是动态诱导的,令人惊讶的是,一组修饰残基的磷酸化被下调。对动态磷酸化位点进行了功能分析。PDZ结构域内的突变(S280A和S311A)降低了Dvl3激活TCF/LEF(T细胞因子/淋巴增强因子)驱动的转录以及在非洲爪蟾胚胎中诱导次级轴的能力。相比之下,Dvl3 C末端成簇的丝氨酸/苏氨酸突变阻止了CK1ε诱导Dvl3的电泳迁移率变化及其均匀的亚细胞定位。令人惊讶的是,Wnt受体Fzd5诱导的迁移率变化和亚细胞定位变化在所有这些突变体中与野生型Dvl3没有区别。总之,我们在分子水平上的数据(i)支持了先前的假设,即CK1ε通过磷酸化不同的残基作为Wnt/β-连环蛋白信号通路的激活剂以及关闭信号起作用,并且(ii)表明CK1ε作用于Dvl的机制与Fzd5不同。