Suppr超能文献

γH2AX和Chk1磷酸化作为Chk1抑制剂与化疗联合治疗的预测性药效学生物标志物。

γH2AX and Chk1 phosphorylation as predictive pharmacodynamic biomarkers of Chk1 inhibitor-chemotherapy combination treatments.

作者信息

Rawlinson Rebecca, Massey Andrew J

机构信息

Vernalis R&D Ltd, Granta Park, Cambridge, UK CB21 6GB.

出版信息

BMC Cancer. 2014 Jul 4;14:483. doi: 10.1186/1471-2407-14-483.

Abstract

BACKGROUND

Chk1 inhibitors are currently in clinical trials in combination with a range of cytotoxic agents and have the potential to potentiate the clinical activity of a large number of standard of care chemotherapeutic agents. Utilizing pharmacodynamic biomarkers to optimize drug dose and scheduling in these trials could greatly enhance the likelihood of clinical success.

METHODS

In this study, we evaluated the in vitro potentiation of the cytotoxicity of a range of cytotoxic chemotherapeutic drugs by the novel Chk1 inhibitor V158411 in p53 mutant colon cancer cells. Pharmacodynamic biomarkers were evaluated in vitro.

RESULTS

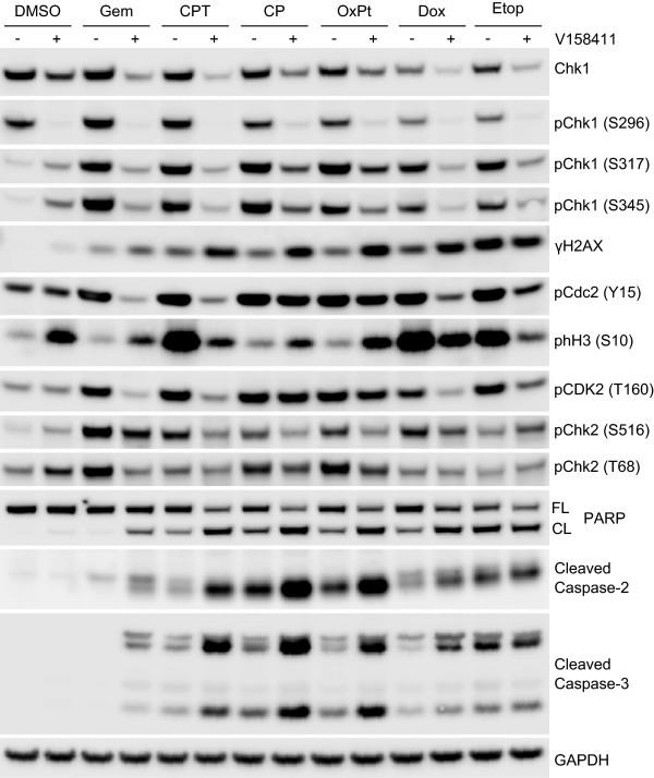
V158411 potentiated the cytotoxicity of a range of chemotherapeutic agents with distinct mechanisms of action in p53 mutant colon cancer cell lines grown in anchorage dependent or independent culture conditions. Analysis of pharmacodynamic biomarker changes identified dependencies on the chemotherapeutic agent, the concentration of the chemotherapeutic and the duration of time between combination treatment and biomarker analysis. A reduction in total Chk1 and S296/S317/S345 phosphorylation occurred consistently with all cytotoxics in combination with V158411 but did not predict cell line potentiation. Induction of γH2AX levels was chemotherapeutic dependent and correlated closely with potentiation of gemcitabine and camptothecin in p53 mutant colon cancer cells.

CONCLUSIONS

Our results suggest that Chk1 phosphorylation could be a useful biomarker for monitoring inhibition of Chk1 activity in clinical trials involving a range of V158411-chemotherapy combinations and γH2AX induction as a predictor of potentiation in combinations containing gemcitabine or camptothecin.

摘要

背景

Chk1抑制剂目前正与一系列细胞毒性药物联合进行临床试验,并且有可能增强大量标准护理化疗药物的临床活性。在这些试验中利用药效学生物标志物来优化药物剂量和给药方案,可大大提高临床成功的可能性。

方法

在本研究中,我们评估了新型Chk1抑制剂V158411对一系列细胞毒性化疗药物在p53突变结肠癌细胞中的体外细胞毒性增强作用。对药效学生物标志物进行了体外评估。

结果

在贴壁依赖性或非依赖性培养条件下生长的p53突变结肠癌细胞系中,V158411增强了一系列具有不同作用机制的化疗药物的细胞毒性。药效学生物标志物变化分析确定了其对化疗药物、化疗药物浓度以及联合治疗与生物标志物分析之间时间间隔的依赖性。与V158411联合使用时,所有细胞毒性药物均一致出现总Chk1及S296/S317/S345磷酸化水平降低,但这并不能预测细胞系的增强作用。γH2AX水平的诱导具有化疗药物依赖性,并且与p53突变结肠癌细胞中吉西他滨和喜树碱的增强作用密切相关。

结论

我们的结果表明,在涉及一系列V158411-化疗联合方案的临床试验中,Chk1磷酸化可能是监测Chk1活性抑制的有用生物标志物,而γH2AX诱导可作为含吉西他滨或喜树碱联合方案中增强作用的预测指标。

https://cdn.ncbi.nlm.nih.gov/pmc/blobs/0e69/4094550/94cb5a12f527/1471-2407-14-483-1.jpg

文献AI研究员

20分钟写一篇综述,助力文献阅读效率提升50倍。

立即体验

用中文搜PubMed

大模型驱动的PubMed中文搜索引擎

马上搜索

文档翻译

学术文献翻译模型,支持多种主流文档格式。

立即体验