Suppr超能文献

Askin肿瘤:CT及FDG-PET/CT影像学表现及随访

Askin tumor: CT and FDG-PET/CT imaging findings and follow-up.

作者信息

Xia Tingting, Guan Yubao, Chen Yongxin, Li Jingxu

机构信息

Department of Radiology (TX, YG, JL), The First Affiliated Hospital of GuangZhou Medical University, Guangzhou, 510120; Department of Radiology (YC), State Key Laboratory of Oncology in South China, Cancer Center, Sun Yat-sen University, Guangzhou, 510060, PR China.

出版信息

Medicine (Baltimore). 2014 Jul;93(6):e42. doi: 10.1097/MD.0000000000000042.

Abstract

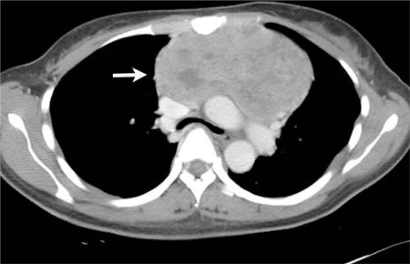
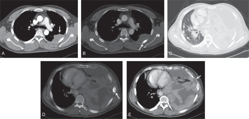
The aim of the study was to describe the imaging findings of Askin tumors on computed tomography (CT) and fluorine 18 fluorodeoxyglucose-positron emission tomography (FDG-PET/CT).Seventeen cases of Askin tumors confirmed by histopathology were retrospectively analyzed in terms of CT (17 cases) and FDG-PET/CT data (6 cases).Fifteen of the tumors were located in the chest wall and the other 2 were in the anterior middle mediastinum. Of the 15 chest wall cases, 13 demonstrated irregular, heterogeneous soft tissue masses with cystic degeneration and necrosis, and 2 demonstrated homogeneous soft tissue masses on unenhanced CT scans. Two mediastinal tumors demonstrated the irregular, heterogeneous soft tissue masses. Calcifications were found in 2 tumors. The tumors demonstrated heterogeneously enhancement in 16 cases and homogeneous enhancement in 1 case on contrast-enhanced scans. FDG-PET/CT images revealed increased metabolic activity in all 6 cases undergone FDG-PET/CT scan, and the lesion SUVmax ranged from 4.0 to 18.6. At initial diagnosis, CT and FDG-PET/CT scans revealed rib destruction in 9 cases, pleural effusion in 9 cases, and lung metastasis in 1 case. At follow-up, 12 cases showed recurrence and/or metastases, 4 cases showed improvement or remained stable, and 1 was lost to follow-up.In summary, CT and FDG-PET/CT images of Askin tumors showed heterogeneous soft tissue masses in the chest wall and the mediastinum, accompanied by rib destruction, pleural effusion, and increased FDG uptake. CT and FDG-PET/CT imaging play important roles in the diagnosis and follow-up of patients with Askin tumors.

摘要

本研究的目的是描述Askin肿瘤在计算机断层扫描(CT)和氟-18氟脱氧葡萄糖正电子发射断层扫描(FDG-PET/CT)上的影像学表现。对17例经组织病理学确诊的Askin肿瘤病例进行回顾性分析,分析其CT(17例)和FDG-PET/CT数据(6例)。15例肿瘤位于胸壁,另外2例位于前纵隔中部。在15例胸壁病例中,13例表现为不规则、不均匀的软组织肿块,伴有囊性变和坏死,2例在平扫CT上表现为均匀的软组织肿块。2例纵隔肿瘤表现为不规则、不均匀的软组织肿块。2例肿瘤发现有钙化。增强扫描时,16例肿瘤表现为不均匀强化,1例表现为均匀强化。FDG-PET/CT图像显示,所有6例行FDG-PET/CT扫描的病例代谢活性均增加,病变SUVmax范围为4.0至18.6。初诊时,CT和FDG-PET/CT扫描显示9例有肋骨破坏,9例有胸腔积液,1例有肺转移。随访时,12例出现复发和/或转移,4例病情改善或保持稳定,1例失访。总之,Askin肿瘤的CT和FDG-PET/CT图像显示胸壁和纵隔有不均匀的软组织肿块,伴有肋骨破坏、胸腔积液和FDG摄取增加。CT和FDG-PET/CT成像在Askin肿瘤患者的诊断和随访中发挥着重要作用。

https://cdn.ncbi.nlm.nih.gov/pmc/blobs/fca7/4602428/fb19d92577e4/medi-93-e42-g001.jpg

文献AI研究员

20分钟写一篇综述,助力文献阅读效率提升50倍。

立即体验

用中文搜PubMed

大模型驱动的PubMed中文搜索引擎

马上搜索

文档翻译

学术文献翻译模型,支持多种主流文档格式。

立即体验