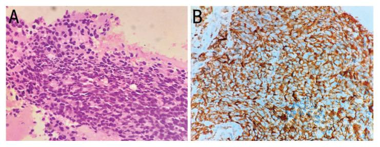
Hussain Aqeel, Khurana Alkesh K, Goyal Abhishek, Joshi Deepti
Departments of Pulmonary Medicine.
Pathology, All India Institute of Medical Sciences, Bhopal, India.
Sultan Qaboos Univ Med J. 2021 Nov;21(4):664-665. doi: 10.18295/squmj.4.2021.048. Epub 2021 Nov 25.