Department of Radiology, Affiliated Hospital of Xuzhou Medical College, Xuzhou, PR China.
Cancer Imaging. 2011 Nov 30;11(1):184-8. doi: 10.1102/1470-7330.2011.0025.
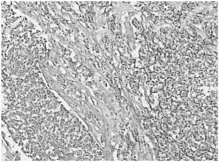
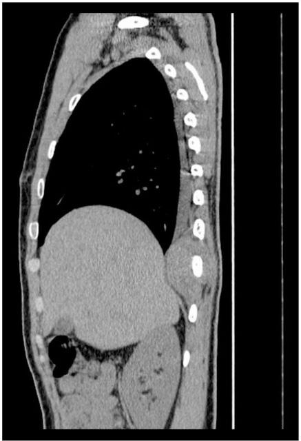
Askin tumor is an uncommon malignant neoplasm in the thoracopulmonary region mainly occurring in children and adolescents. Four young patients with histologically proven Askin tumors were treated in our hospital. In all patients, chest computed tomography imaging demonstrated a chest wall mass with or without destruction of ribs. All patients underwent radical mass resection and postoperative chemotherapy. By the time this article was completed, two of the patients had died with local chest wall recurrences. Here we focus on the imaging features, differential diagnosis, pathology and prognosis of this rare disease.
Askin 肿瘤是一种罕见的发生于胸肺区域的恶性肿瘤,主要见于儿童和青少年。我院收治了 4 例经组织学证实的 Askin 肿瘤患者。所有患者的胸部 CT 影像学表现均为伴有或不伴有肋骨破坏的胸壁肿块。所有患者均接受了根治性肿块切除术和术后化疗。截至本文撰写时,2 例患者已因局部胸壁复发而死亡。本文重点介绍了这种罕见疾病的影像学特征、鉴别诊断、病理学和预后。