Suppr超能文献

西班牙人群中的脑白质消失症

Vanishing white matter disease in a spanish population.

作者信息

Turón-Viñas Eulàlia, Pineda Mercè, Cusí Victòria, López-Laso Eduardo, Del Pozo Rebeca Losada, Gutiérrez-Solana Luis González, Moreno David Conejo, Sierra-Córcoles Concha, Olabarrieta-Hoyos Naiara, Madruga-Garrido Marcos, Aguirre-Rodríguez Javier, González-Álvarez Verónica, O'Callaghan Mar, Muchart Jordi, Armstrong-Moron Judith

机构信息

Neurology Department, Fundació, Hospital Sant Joan de Déu, Barcelona, Spain. ; Centro de Investigación Biomédica en Red de Enfermedades Raras (CIBERER), Instituto de Salud Carlos III, Spain.

Pathology Department, Hospital Sant Joan de Déu, Barcelona, Spain.

出版信息

J Cent Nerv Syst Dis. 2014 Jul 13;6:59-68. doi: 10.4137/JCNSD.S13540. eCollection 2014.

Abstract

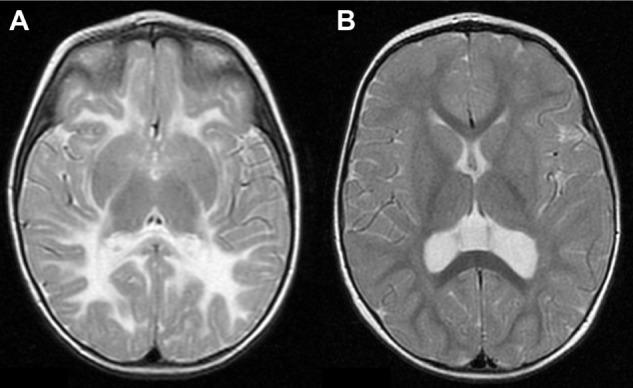
Vanishing white matter (VWM) leukoencephalopathy is one of the most prevalent hereditary white matter diseases. It has been associated with mutations in genes encoding eukaryotic translation initiation factor (eIF2B). We have compiled a list of all the patients diagnosed with VWM in Spain; we found 21 children. The first clinical manifestation in all of them was spasticity, with severe ataxia in six patients, hemiparesis in one child, and dystonic movements in another. They suffered from progressive cognitive deterioration and nine of them had epilepsy too. In four children, we observed optic atrophy and three also had progressive macrocephaly, which is not common in VWM disease. The first two cases were diagnosed before the 1980s. Therefore, they were diagnosed by necropsy studies. The last 16 patients were diagnosed according to genetics: we found mutations in the genes eIF2B5 (13 cases), eIF2B3 (2 cases), and eIF2B4 (1 case). In our report, the second mutation in frequency was c.318A>T; patients with this mutation all followed a slow chronic course, both in homozygous and heterozygous states. Previously, there were no other reports to confirm this fact. We also found some mutations not described in previous reports: c.1090C>T in eIF2B4, c.314A>G in eIF2B5, and c.877C>T in eIF2B5.

摘要

消失性白质(VWM)脑病是最常见的遗传性白质疾病之一。它与编码真核生物翻译起始因子(eIF2B)的基因突变有关。我们整理了西班牙所有被诊断为VWM的患者名单;我们找到了21名儿童。他们所有人的首发临床表现都是痉挛,6名患者伴有严重共济失调,1名儿童有偏瘫,另1名有肌张力障碍性运动。他们都有进行性认知衰退,其中9人还患有癫痫。在4名儿童中,我们观察到视神经萎缩,3人还患有进行性巨头症,这在VWM疾病中并不常见。前两例在20世纪80年代之前被诊断。因此,他们是通过尸检研究确诊的。最后16名患者是根据遗传学确诊的:我们在eIF2B5基因中发现了13例突变,在eIF2B3基因中发现了2例突变,在eIF2B4基因中发现了1例突变。在我们的报告中,第二常见的突变是c.318A>T;无论纯合还是杂合状态,携带这种突变的患者病程都很缓慢。此前,没有其他报告证实这一事实。我们还发现了一些之前报告中未描述的突变:eIF2B4基因中的c.1090C>T、eIF2B5基因中的c.314A>G和eIF2B5基因中的c.877C>T。

https://cdn.ncbi.nlm.nih.gov/pmc/blobs/34b1/4116383/76f53369fe59/jcnsd-6-2014-059f1.jpg

文献AI研究员

20分钟写一篇综述,助力文献阅读效率提升50倍。

立即体验

用中文搜PubMed

大模型驱动的PubMed中文搜索引擎

马上搜索

文档翻译

学术文献翻译模型,支持多种主流文档格式。

立即体验