• 文献检索
  • 文档翻译
  • 深度研究
  • 学术资讯
  • Suppr Zotero 插件Zotero 插件
  • 邀请有礼
  • 套餐&价格
  • 历史记录
应用&插件
Suppr Zotero 插件Zotero 插件浏览器插件Mac 客户端Windows 客户端微信小程序
定价
高级版会员购买积分包购买API积分包
服务
文献检索文档翻译深度研究API 文档MCP 服务
关于我们
关于 Suppr公司介绍联系我们用户协议隐私条款
关注我们

Suppr 超能文献

核心技术专利:CN118964589B侵权必究
粤ICP备2023148730 号-1Suppr @ 2026

文献检索

告别复杂PubMed语法,用中文像聊天一样搜索,搜遍4000万医学文献。AI智能推荐,让科研检索更轻松。

立即免费搜索

文件翻译

保留排版,准确专业,支持PDF/Word/PPT等文件格式,支持 12+语言互译。

免费翻译文档

深度研究

AI帮你快速写综述,25分钟生成高质量综述,智能提取关键信息,辅助科研写作。

立即免费体验

成人发病进行性脑白质病伴 EIF2B2 基因突变以月经过多为表现。

Adult-onset vanishing white matter disease with the EIF2B2 gene mutation presenting as menometrorrhagia.

机构信息

Innovation center for neurological disorders, Department of Neurology, Xuan Wu Hospital, Capital Medical University, 45 Changchun Street, Beijing, 100053, China.

Department of Obstetrics and Gynecology, Peking Union Medical College Hospital, Peking Union Medical College, Chinese Academy of Medical Science, Beijing, China.

出版信息

BMC Neurol. 2019 Aug 22;19(1):203. doi: 10.1186/s12883-019-1429-9.

DOI:10.1186/s12883-019-1429-9
PMID:31438897
原文链接:https://pmc.ncbi.nlm.nih.gov/articles/PMC6704498/
Abstract

BACKGROUND

Vanishing white matter disease (VWMD) is one of the most prevalent inherited leukoencephalopathies, which generally presents in childhood as a progressive disorder while less beginning in adulthood. The present report describes the clinical, neuroimaging, and genetic findings of a female patient with adult-onset VWMD. In addition, to provide a clearer delineation of the clinical and genetic characteristics of female adult-onset VWMD patients, 32 genetically confirmed female adult-onset EIF2B-mutated cases are summarized.

CASE PRESENTATION

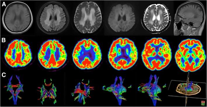
The patient described here suffered from long-term menometrorrhagia prior to manifesting progressive neurological impairments that included tremors, bilateral pyramidal tract injury, cerebellar ataxia, and dementia. To the best of our knowledge, this is the first female patient with adult-onset VWMD suffering from long-term menometrorrhagia attributed to the c.254 T > A and c.496A > G mutations in the EIF2B2 gene; the c.496A > G mutation has not been reported in previous studies. The patient also exhibited metabolic dysfunction. The present findings widen the spectrum of phenotypic heterogeneity observed in VWMD patients.

CONCLUSIONS

The present report summarizes 33 female patients with adult-onset VWMD to provide an overview of the clinical and genetic characteristics of this disorder and ovarioleukodystrophy. The mean age of clinical onset in female patients with adult-onset VWMD was 36.8 years and the neurological symptoms primarily included motor and cognitive dysfunction such as paraparesis, cerebellar ataxia, and executive deficits. In addition, ovarian failure occurred in all of these female patients and usually preceded the neurological symptoms. Furthermore, several patients also suffered from metabolic dysfunction. All 33 patients had mutations on EIF2B1-5, and of these, the c.338 G > A mutation in the EIF2B5 gene (p.Arg113His) was the most common. These findings suggest that clinicians should be aware of adult-onset forms of VWMD as well as its typical magnetic resonance imaging (MRI) and clinical characteristics although this pathology is usually recognized as a pediatric disorder. No curative treatment is presently available, and thus early recognition is important to prevent triggering events and to allow for genetic counseling.

摘要

背景

脑白质消融症(VWMD)是最常见的遗传性脑白质病之一,通常在儿童期表现为进行性疾病,而在成年期发病较少。本报告描述了一位成年起病 VWMD 女性患者的临床、神经影像学和遗传学发现。此外,为了更清楚地阐明女性成年起病 VWMD 患者的临床和遗传特征,总结了 32 例经基因证实的女性成年起病 EIF2B 突变病例。

病例介绍

本文描述的患者在出现进行性神经功能障碍之前,长期存在月经过多,包括震颤、双侧锥体束损伤、小脑共济失调和痴呆。据我们所知,这是首例成年起病 VWMD 女性患者,因 EIF2B2 基因 c.254T> A 和 c.496A> G 突变而长期月经过多;以前的研究中未报道过 c.496A> G 突变。患者还表现出代谢功能障碍。本研究结果拓宽了 VWMD 患者表型异质性的范围。

结论

本报告总结了 33 例女性成年起病 VWMD 患者,以概述该疾病和卵巢脑白质营养不良的临床和遗传特征。女性成年起病 VWMD 患者的平均发病年龄为 36.8 岁,神经症状主要包括运动和认知功能障碍,如截瘫、小脑共济失调和执行功能缺陷。此外,所有这些女性患者均出现卵巢功能衰竭,且通常早于神经症状。此外,一些患者还患有代谢功能障碍。所有 33 例患者均有 EIF2B1-5 基因突变,其中 EIF2B5 基因 c.338G> A 突变(p.Arg113His)最为常见。这些发现表明,尽管这种病理通常被认为是儿科疾病,但临床医生应该意识到 VWMD 的成年起病形式及其典型的磁共振成像(MRI)和临床特征。目前尚无治愈方法,因此早期识别很重要,可以预防触发事件并进行遗传咨询。

https://cdn.ncbi.nlm.nih.gov/pmc/blobs/f84a/6704498/d3700703ba4a/12883_2019_1429_Fig3_HTML.jpg
https://cdn.ncbi.nlm.nih.gov/pmc/blobs/f84a/6704498/65799b1de031/12883_2019_1429_Fig1_HTML.jpg
https://cdn.ncbi.nlm.nih.gov/pmc/blobs/f84a/6704498/d79864e995db/12883_2019_1429_Fig2_HTML.jpg
https://cdn.ncbi.nlm.nih.gov/pmc/blobs/f84a/6704498/d3700703ba4a/12883_2019_1429_Fig3_HTML.jpg
https://cdn.ncbi.nlm.nih.gov/pmc/blobs/f84a/6704498/65799b1de031/12883_2019_1429_Fig1_HTML.jpg
https://cdn.ncbi.nlm.nih.gov/pmc/blobs/f84a/6704498/d79864e995db/12883_2019_1429_Fig2_HTML.jpg
https://cdn.ncbi.nlm.nih.gov/pmc/blobs/f84a/6704498/d3700703ba4a/12883_2019_1429_Fig3_HTML.jpg

相似文献

1
Adult-onset vanishing white matter disease with the EIF2B2 gene mutation presenting as menometrorrhagia.成人发病进行性脑白质病伴 EIF2B2 基因突变以月经过多为表现。
BMC Neurol. 2019 Aug 22;19(1):203. doi: 10.1186/s12883-019-1429-9.
2
Ovarioleukodystrophy due to EIF2B5 mutations.EIF2B5 突变所致的卵巢白质营养不良。
Pract Neurol. 2016 Dec;16(6):496-499. doi: 10.1136/practneurol-2016-001382. Epub 2016 Sep 20.
3
Vanishing white matter disease presenting as opsoclonus myoclonus syndrome in childhood--a case report and review of the literature.儿童期以眼阵挛-肌阵挛综合征为表现的消失性白质病——一例报告及文献复习
Pediatr Neurol. 2014 Jul;51(1):157-64. doi: 10.1016/j.pediatrneurol.2014.03.008. Epub 2014 Mar 15.
4
Natural history of adult-onset eIF2B-related disorders: a multi-centric survey of 16 cases.成人起病的eIF2B相关疾病的自然史:16例多中心调查。
Brain. 2009 Aug;132(Pt 8):2161-9. doi: 10.1093/brain/awp171.
5
Adult Vanishing White Matter Disease with a Novel EIF2B4 Mutation.成人进行性脑白质病伴新型 EIF2B4 突变。
J Coll Physicians Surg Pak. 2022 Dec;32(12):SS181-SS183. doi: 10.29271/jcpsp.2022.Supp0.SS181.
6
Ovarioleukodystrophy: report of a case with the c.338G>A (p.Arg113His) mutation on exon 3 and the c.896G>A (p.Arg299His) mutation on exon 7 of the EIF2B5 gene.卵巢脑白质营养不良:1例EIF2B5基因第3外显子c.338G>A(p.Arg113His)突变及第7外显子c.896G>A(p.Arg299His)突变的病例报告。
BMJ Case Rep. 2011 Mar 24;2011:bcr1120103552. doi: 10.1136/bcr.11.2010.3552.
7
Epilepsy and ovarian failure: Two cases of adolescent-onset ovarioleukodystrophy.癫痫与卵巢功能衰竭:两例青少年起病的卵巢脑白质营养不良病例。
Clin Neurol Neurosurg. 2018 Feb;165:94-95. doi: 10.1016/j.clineuro.2017.12.027. Epub 2018 Jan 5.
8
An eleven-year history of Vanishing White Matter Disease in an adult patient with no cognitive decline and mutations. A case report.一名无认知能力下降和基因突变的成年患者的进行性脑白质病十一年病史。病例报告。
Neurocase. 2021 Dec;27(6):452-456. doi: 10.1080/13554794.2021.1999984. Epub 2021 Nov 9.
9
Vanishing white matter disease caused by EIF2B2 mutation with the presentation of an adrenoleukodystrophy phenotype.EIF2B2 突变导致的脑白质消融症伴肾上腺脑白质营养不良表型。
Gene. 2012 Apr 1;496(2):141-3. doi: 10.1016/j.gene.2011.12.047. Epub 2012 Jan 17.
10
Leukodystrophy Due to Mutations in Adults.成人因基因突变导致的脑白质营养不良
Can J Neurol Sci. 2022 Sep;49(5):708-712. doi: 10.1017/cjn.2021.202. Epub 2021 Sep 2.

引用本文的文献

1
An atypical initial revelation of CACH-vanishing white matter syndrome miming herpetic encephalitis in a 6-year-old child: Case report and brief review.一名6岁儿童表现为类似疱疹性脑炎的CACH-消失性白质综合征的非典型首发症状:病例报告及简要综述
Radiol Case Rep. 2025 Apr 10;20(6):3148-3152. doi: 10.1016/j.radcr.2025.02.023. eCollection 2025 Jun.
2
Exome sequencing identifies novel genes associated with cerebellar volume and microstructure.外显子组测序鉴定出与小脑体积和微观结构相关的新基因。
Commun Biol. 2025 Mar 1;8(1):344. doi: 10.1038/s42003-025-07797-3.
3
Adult-onset vanishing white matter disease due to a novel compound heterozygous EIF2B2 mutation: a case report and brief review.

本文引用的文献

1
A Review of Infantile Vanishing White Matter Disease and A New Mutation.婴儿型消失性白质病综述及一种新突变
Acta Neurol Taiwan. 2017 Dec 15;26(4):167-176.
2
Case Report: Cerebral leukodystrophy and the gonadal endocrinopathy: a rare but real association.病例报告:脑白质营养不良与性腺内分泌病:一种罕见但确实存在的关联。
F1000Res. 2018 Feb 7;7:158. doi: 10.12688/f1000research.13933.2. eCollection 2018.
3
Ovarioleukodystrophy due to EIF2B5 mutations.EIF2B5 突变所致的卵巢白质营养不良。
由新型复合杂合性EIF2B2突变引起的成人起病型脑白质消失症:一例报告及简要综述
Neurol Sci. 2025 Apr;46(4):1891-1896. doi: 10.1007/s10072-025-07990-6. Epub 2025 Jan 7.
4
A rare case of adult-onset vanishing white matter leukoencephalopathy with movement disorder, expressing homozygous EIF2B3 and PRKN pathogenic variants.一例罕见的成年起病的伴运动障碍的消失性白质脑病,表达纯合子EIF2B3和PRKN致病变异。
BMC Neurol. 2025 Jan 4;25(1):7. doi: 10.1186/s12883-024-04018-y.
5
Adult-Onset White Matter Vanishing Disease With Ovarian Failure in a Salvadoran Patient.一名萨尔瓦多患者患成人起病型白质消失症伴卵巢功能衰竭
Cureus. 2023 Jun 3;15(6):e39900. doi: 10.7759/cureus.39900. eCollection 2023 Jun.
6
Adult-Onset Genetic Leukoencephalopathies With Movement Disorders.伴有运动障碍的成人起病型遗传性白质脑病
J Mov Disord. 2023 May;16(2):115-132. doi: 10.14802/jmd.22127. Epub 2023 Mar 7.
7
Endocrinopathies in Leukodystrophy.脑白质营养不良中的内分泌病
Curr Probl Pediatr Adolesc Health Care. 2023 Jan;53(1):101351. doi: 10.1016/j.cppeds.2022.101351. Epub 2022 Dec 31.
8
Association Between Late-Onset Leukoencephalopathy With Vanishing White Matter and Compound Heterozygous EIF2B5 Gene Mutations: A Case Report and Review of the Literature.迟发性白质脑病伴脑白质消失与复合杂合性EIF2B5基因突变的关联:一例报告及文献复习
Front Neurol. 2022 Jun 16;13:813032. doi: 10.3389/fneur.2022.813032. eCollection 2022.
9
Vanishing White Matter Disease Presenting as Dementia and Infertility: A Case Report.以痴呆和不孕为表现的脑白质消失症:一例报告
Neurol Genet. 2022 May 31;8(3):e643. doi: 10.1212/NXG.0000000000000643. eCollection 2022 Jun.
10
Adult-onset vanishing white matter in a patient with EIF2B3 variants misdiagnosed as multiple sclerosis.成人发病进行性脑白质病伴 EIF2B3 变异误诊为多发性硬化症 1 例
Neurol Sci. 2022 Apr;43(4):2659-2667. doi: 10.1007/s10072-021-05710-4. Epub 2021 Nov 9.
Pract Neurol. 2016 Dec;16(6):496-499. doi: 10.1136/practneurol-2016-001382. Epub 2016 Sep 20.
4
Mutations in the genes encoding eukaryotic translation initiation factor 2B in Japanese patients with vanishing white matter disease.日本儿童脑白质消失症患者中编码真核生物翻译起始因子2B的基因突变情况。
Brain Dev. 2015 Nov;37(10):960-6. doi: 10.1016/j.braindev.2015.03.003. Epub 2015 Apr 3.
5
Infantile onset Vanishing White Matter disease associated with a novel EIF2B5 variant, remarkably long life span, severe epilepsy, and hypopituitarism.与一种新型EIF2B5变异相关的婴儿期起病的消失性白质病、超长寿命、严重癫痫和垂体功能减退。
Am J Med Genet A. 2015 Apr;167A(4):826-30. doi: 10.1002/ajmg.a.36961. Epub 2015 Mar 9.
6
A Japanese girl with an early-infantile onset vanishing white matter disease resembling Cree leukoencephalopathy.一名患有类似克里白质脑病的早发性婴儿型消失性白质病的日本女孩。
Brain Dev. 2015 Jun;37(6):638-42. doi: 10.1016/j.braindev.2014.10.002. Epub 2014 Oct 27.
7
Vanishing white matter disease in a spanish population.西班牙人群中的脑白质消失症
J Cent Nerv Syst Dis. 2014 Jul 13;6:59-68. doi: 10.4137/JCNSD.S13540. eCollection 2014.
8
Vanishing white matter disease in French-Canadian patients from Quebec.来自魁北克的法裔加拿大患者的脑白质消失症
Pediatr Neurol. 2014 Aug;51(2):225-32. doi: 10.1016/j.pediatrneurol.2014.05.006. Epub 2014 May 14.
9
A 66-year-old patient with vanishing white matter disease due to the p.Ala87Val EIF2B3 mutation.一位 66 岁患者患有进行性脑白质病,病因是 EIF2B3 基因 p.Ala87Val 突变。
Neurology. 2012 Nov 13;79(20):2077-8. doi: 10.1212/WNL.0b013e3182749edc. Epub 2012 Oct 31.
10
Vanishing White Matter With Hepatomegaly and Hypertriglyceridemia Attacks.伴有肝肿大和高甘油三酯血症发作的消失性白质病变
J Child Neurol. 2013 Nov;28(11):1509-1512. doi: 10.1177/0883073812458711. Epub 2012 Sep 18.