• 文献检索
  • 文档翻译
  • 深度研究
  • 学术资讯
  • Suppr Zotero 插件Zotero 插件
  • 邀请有礼
  • 套餐&价格
  • 历史记录
应用&插件
Suppr Zotero 插件Zotero 插件浏览器插件Mac 客户端Windows 客户端微信小程序
定价
高级版会员购买积分包购买API积分包
服务
文献检索文档翻译深度研究API 文档MCP 服务
关于我们
关于 Suppr公司介绍联系我们用户协议隐私条款
关注我们

Suppr 超能文献

核心技术专利:CN118964589B侵权必究
粤ICP备2023148730 号-1Suppr @ 2026

文献检索

告别复杂PubMed语法,用中文像聊天一样搜索,搜遍4000万医学文献。AI智能推荐,让科研检索更轻松。

立即免费搜索

文件翻译

保留排版,准确专业,支持PDF/Word/PPT等文件格式,支持 12+语言互译。

免费翻译文档

深度研究

AI帮你快速写综述,25分钟生成高质量综述,智能提取关键信息,辅助科研写作。

立即免费体验

一氧化碳释放分子-2对肠上皮细胞屏障功能的保护作用。

Protective effects of carbon monoxide-releasing molecule-2 on the barrier function of intestinal epithelial cells.

作者信息

Mu Xinwei, Pan Chen, Zheng Shuyun, Alhamdi Yasir, Sun Bingwei, Shi Qiankun, Wang Xiang, Sun Zhiwei, Toh Chenghock, Wang Guozheng

机构信息

Department of Critical Care Medicine, Nanjing First Hospital, Nanjing Medical University, Nanjiang, Jiangsu Province, PR China.

Department of Critical Care Medicine, Nanjing Children,s Hospital, Nanjing Medical University, Nanjiang, Jiangsu Province, PR China.

出版信息

PLoS One. 2014 Aug 7;9(8):e104032. doi: 10.1371/journal.pone.0104032. eCollection 2014.

DOI:10.1371/journal.pone.0104032
PMID:25101775
原文链接:https://pmc.ncbi.nlm.nih.gov/articles/PMC4125175/
Abstract

OBJECTIVE

To investigate the protective effects and mechanisms of carbon monoxide-releasing molecule-2 (CORM-2) on barrier function of intestinal epithelial cells.

MATERIALS AND METHODS

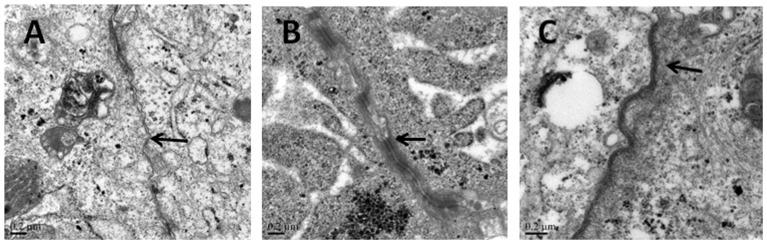
After pre-incubation with CORM-2 for 1 hour, cultured intestinal epithelial IEC-6 cells were stimulated with 50 µg/ml lipopolysaccharides (LPS). Cytokines levels in culture medium were detected using ELISA kits. Trans-epithelial electrical resistance (TER) of IEC-6 cell monolayers in Transwells were measured with a Millipore electric resistance system (ERS-2; Millipore) and calculated as Ω/cm2 at different time points after LPS treatment. The permeability changes were also measured using FITC-dextran. The levels of tight junction (TJ) proteins (occludin and ZO-1) and myosin light chain (MLC) phosphorylation were detected using Western blotting with specific antibodies. The subsequent structural changes of TJ were visualized using transmission electron microscopy (TEM).

RESULTS

CORM-2 significantly reduced LPS-induced secretion of TNF-α and IL-1β. The LPS-induced decrease of TER and increase of permeability to FITC-dextran were inhibited by CORM-2 in a concentration dependent manner (P<0.05). LPS-induced reduction of tight junction proteins and increase of MLC phosphorylation were also attenuated. In LPS-treated cells, TEM showed diminished electron-dense material and interruption of TJ and desmosomes between the apical lateral margins of adjoining cells, which were prevented by CORM-2 treatment.

CONCLUSIONS

The present study demonstrates that CORM-2, as a novel CO-releasing molecule, has ability to protect the barrier function of LPS-stimulated intestinal epithelial cells. Inhibition of inflammatory cytokines release, restoration of TJ proteins and suppression of MLC phosphorylation are among the protective effects of CORM-2.

摘要

目的

探讨一氧化碳释放分子-2(CORM-2)对肠上皮细胞屏障功能的保护作用及其机制。

材料与方法

用CORM-2预孵育1小时后,用50μg/ml脂多糖(LPS)刺激培养的肠上皮IEC-6细胞。使用ELISA试剂盒检测培养基中的细胞因子水平。用密理博电阻系统(ERS-2;密理博)测量Transwells中IEC-6细胞单层的跨上皮电阻(TER),并在LPS处理后的不同时间点计算为Ω/cm²。还使用异硫氰酸荧光素标记的葡聚糖(FITC-葡聚糖)测量通透性变化。使用特异性抗体通过蛋白质免疫印迹法检测紧密连接(TJ)蛋白(闭合蛋白和ZO-1)水平以及肌球蛋白轻链(MLC)磷酸化水平。使用透射电子显微镜(TEM)观察TJ的后续结构变化。

结果

CORM-2显著降低LPS诱导的肿瘤坏死因子-α(TNF-α)和白细胞介素-1β(IL-1β)分泌。CORM-2以浓度依赖性方式抑制LPS诱导的TER降低和FITC-葡聚糖通透性增加(P<0.05)。LPS诱导的紧密连接蛋白减少和MLC磷酸化增加也得到减轻。在LPS处理的细胞中,TEM显示相邻细胞顶端侧缘之间的电子致密物质减少以及TJ和桥粒中断,而CORM-2处理可防止这种情况发生。

结论

本研究表明,作为一种新型的CO释放分子,CORM-2具有保护LPS刺激的肠上皮细胞屏障功能的能力。抑制炎性细胞因子释放、恢复TJ蛋白以及抑制MLC磷酸化是CORM-2的保护作用之一。

https://cdn.ncbi.nlm.nih.gov/pmc/blobs/5922/4125175/417bce1f7a59/pone.0104032.g006.jpg
https://cdn.ncbi.nlm.nih.gov/pmc/blobs/5922/4125175/981e535decd4/pone.0104032.g001.jpg
https://cdn.ncbi.nlm.nih.gov/pmc/blobs/5922/4125175/f08a07e96666/pone.0104032.g002.jpg
https://cdn.ncbi.nlm.nih.gov/pmc/blobs/5922/4125175/4de89a7ab9ad/pone.0104032.g003.jpg
https://cdn.ncbi.nlm.nih.gov/pmc/blobs/5922/4125175/f567805ad516/pone.0104032.g004.jpg
https://cdn.ncbi.nlm.nih.gov/pmc/blobs/5922/4125175/6478335d459a/pone.0104032.g005.jpg
https://cdn.ncbi.nlm.nih.gov/pmc/blobs/5922/4125175/417bce1f7a59/pone.0104032.g006.jpg
https://cdn.ncbi.nlm.nih.gov/pmc/blobs/5922/4125175/981e535decd4/pone.0104032.g001.jpg
https://cdn.ncbi.nlm.nih.gov/pmc/blobs/5922/4125175/f08a07e96666/pone.0104032.g002.jpg
https://cdn.ncbi.nlm.nih.gov/pmc/blobs/5922/4125175/4de89a7ab9ad/pone.0104032.g003.jpg
https://cdn.ncbi.nlm.nih.gov/pmc/blobs/5922/4125175/f567805ad516/pone.0104032.g004.jpg
https://cdn.ncbi.nlm.nih.gov/pmc/blobs/5922/4125175/6478335d459a/pone.0104032.g005.jpg
https://cdn.ncbi.nlm.nih.gov/pmc/blobs/5922/4125175/417bce1f7a59/pone.0104032.g006.jpg

相似文献

1
Protective effects of carbon monoxide-releasing molecule-2 on the barrier function of intestinal epithelial cells.一氧化碳释放分子-2对肠上皮细胞屏障功能的保护作用。
PLoS One. 2014 Aug 7;9(8):e104032. doi: 10.1371/journal.pone.0104032. eCollection 2014.
2
Carbon Monoxide-Releasing Molecule-2 Reduces Intestinal Epithelial Tight-Junction Damage and Mortality in Septic Rats.一氧化碳释放分子-2减轻脓毒症大鼠肠上皮紧密连接损伤并降低死亡率
PLoS One. 2015 Dec 31;10(12):e0145988. doi: 10.1371/journal.pone.0145988. eCollection 2015.
3
The carbon monoxide-releasing molecule CORM-2 inhibits the inflammatory response induced by cytokines in Caco-2 cells.一氧化碳释放分子CORM-2可抑制细胞因子在Caco-2细胞中诱导的炎症反应。
Br J Pharmacol. 2007 Apr;150(8):977-86. doi: 10.1038/sj.bjp.0707184. Epub 2007 Mar 5.
4
[Effects of short chain fatty acid on barrier disruption of human intestinal epithelial cell induced by endotoxin/lipopolysaccharide and the related mechanism].[短链脂肪酸对内毒素/脂多糖诱导的人肠上皮细胞屏障破坏的影响及相关机制]
Zhonghua Shao Shang Za Zhi. 2018 Apr 20;34(4):214-218. doi: 10.3760/cma.j.issn.1009-2587.2018.04.005.
5
Short-Chain Fatty Acids Manifest Stimulative and Protective Effects on Intestinal Barrier Function Through the Inhibition of NLRP3 Inflammasome and Autophagy.短链脂肪酸通过抑制NLRP3炎性小体和自噬对肠道屏障功能表现出刺激和保护作用。
Cell Physiol Biochem. 2018;49(1):190-205. doi: 10.1159/000492853. Epub 2018 Aug 23.
6
Amelioration of hypoxia and LPS-induced intestinal epithelial barrier dysfunction by emodin through the suppression of the NF-κB and HIF-1α signaling pathways.大黄素通过抑制NF-κB和HIF-1α信号通路改善缺氧和脂多糖诱导的肠上皮屏障功能障碍。
Int J Mol Med. 2014 Dec;34(6):1629-39. doi: 10.3892/ijmm.2014.1965. Epub 2014 Oct 13.
7
Glucagon-like peptide 2 attenuates intestinal mucosal barrier injury through the MLCK/pMLC signaling pathway in a piglet model.胰高血糖素样肽 2 通过肌球蛋白轻链激酶/磷酸化肌球蛋白轻链信号通路减轻仔猪模型的肠黏膜屏障损伤。
J Cell Physiol. 2021 Apr;236(4):3015-3032. doi: 10.1002/jcp.30068. Epub 2020 Sep 22.
8
Amelioration of IFN-γ and TNF-α-induced intestinal epithelial barrier dysfunction by berberine via suppression of MLCK-MLC phosphorylation signaling pathway.小檗碱通过抑制肌球蛋白轻链激酶-肌球蛋白轻链磷酸化信号通路改善 IFN-γ 和 TNF-α 诱导的肠道上皮屏障功能障碍。
PLoS One. 2013 May 3;8(5):e61944. doi: 10.1371/journal.pone.0061944. Print 2013.
9
Protective Effects of Ferulic Acid against Heat Stress-Induced Intestinal Epithelial Barrier Dysfunction In Vitro and In Vivo.阿魏酸对热应激诱导的肠上皮屏障功能障碍的体内外保护作用
PLoS One. 2016 Feb 19;11(2):e0145236. doi: 10.1371/journal.pone.0145236. eCollection 2016.
10
Chang'an II Decoction ( II )-Containing Serum Ameliorates Tumor Necrosis Factor-α-Induced Intestinal Epithelial Barrier Dysfunction via MLCK-MLC Signaling Pathway in Rats.长安二号方(Ⅱ)含药血清通过 MLCK-MLC 信号通路改善肿瘤坏死因子-α诱导的大鼠肠上皮屏障功能障碍。
Chin J Integr Med. 2020 Oct;26(10):745-753. doi: 10.1007/s11655-019-3034-6. Epub 2019 Nov 25.

引用本文的文献

1
Effects of Maillard-type caseinate glycation on the preventive action of caseinate digests in acrylamide-induced intestinal barrier dysfunction in IEC-6 cells.美拉德型酪蛋白糖基化对酪蛋白消化物预防丙烯酰胺诱导的IEC-6细胞肠屏障功能障碍作用的影响。
RSC Adv. 2018 Nov 13;8(66):38036-38046. doi: 10.1039/c8ra08103d. eCollection 2018 Nov 7.
2
Design and Development of a Novel Peptide for Treating Intestinal Inflammation.新型治疗肠道炎症肽的设计与开发。
Front Immunol. 2019 Aug 6;10:1841. doi: 10.3389/fimmu.2019.01841. eCollection 2019.
3
A Novel Peptide Ameliorates LPS-Induced Intestinal Inflammation and Mucosal Barrier Damage via Its Antioxidant and Antiendotoxin Effects.

本文引用的文献

1
Carbon monoxide reduces neuropathic pain and spinal microglial activation by inhibiting nitric oxide synthesis in mice.一氧化碳通过抑制一氧化氮合酶的合成减轻小鼠的神经病理性疼痛和脊髓小胶质细胞激活。
PLoS One. 2012;7(8):e43693. doi: 10.1371/journal.pone.0043693. Epub 2012 Aug 22.
2
Curcumin ameliorates hydrogen peroxide-induced epithelial barrier disruption by upregulating heme oxygenase-1 expression in human intestinal epithelial cells.姜黄素通过上调人肠上皮细胞血红素加氧酶-1 的表达来改善过氧化氢诱导的上皮屏障破坏。
Dig Dis Sci. 2012 Jul;57(7):1792-801. doi: 10.1007/s10620-012-2094-7. Epub 2012 Mar 3.
3
Enhanced induction of heme oxygenase-1 suppresses thrombus formation and affects the protein C system in sepsis.
一种新型肽通过抗氧化和抗内毒素作用改善 LPS 诱导的肠道炎症和黏膜屏障损伤。
Int J Mol Sci. 2019 Aug 15;20(16):3974. doi: 10.3390/ijms20163974.
4
An Overview of the Potential Therapeutic Applications of CO-Releasing Molecules.一氧化碳释放分子的潜在治疗应用概述。
Bioinorg Chem Appl. 2018 Aug 12;2018:8547364. doi: 10.1155/2018/8547364. eCollection 2018.
5
The Protective Effect of Heme Oxygenase-1 against Intestinal Barrier Dysfunction in Cholestatic Liver Injury Is Associated with NF-κB Inhibition.血红素加氧酶-1 对胆汁淤积性肝损伤肠屏障功能障碍的保护作用与 NF-κB 抑制有关。
Mol Med. 2017 Oct;23:215-224. doi: 10.2119/molmed.2017.00078. Epub 2017 Aug 9.
6
Modulation of antigen processing by haem-oxygenase 1. Implications on inflammation and tolerance.血红素加氧酶1对抗抗原加工的调节作用及其对炎症和耐受性的影响
Immunology. 2016 Sep;149(1):1-12. doi: 10.1111/imm.12605. Epub 2016 Apr 1.
7
Carbon Monoxide-Releasing Molecule-2 Reduces Intestinal Epithelial Tight-Junction Damage and Mortality in Septic Rats.一氧化碳释放分子-2减轻脓毒症大鼠肠上皮紧密连接损伤并降低死亡率
PLoS One. 2015 Dec 31;10(12):e0145988. doi: 10.1371/journal.pone.0145988. eCollection 2015.
血红素加氧酶-1 的诱导增强可抑制血栓形成,并影响脓毒症中的蛋白 C 系统。
Transl Res. 2012 Feb;159(2):99-109. doi: 10.1016/j.trsl.2011.10.009. Epub 2011 Nov 15.
4
Control of cell migration and inflammatory mediators production by CORM-2 in osteoarthritic synoviocytes.CORM-2 对骨关节炎滑膜细胞迁移和炎症介质产生的控制作用。
PLoS One. 2011;6(9):e24591. doi: 10.1371/journal.pone.0024591. Epub 2011 Sep 22.
5
Studying permeability in a commonly used epithelial cell line: T84 intestinal epithelial cells.在一种常用的上皮细胞系:T84肠上皮细胞中研究通透性。
Methods Mol Biol. 2011;763:115-37. doi: 10.1007/978-1-61779-191-8_8.
6
The suppression of myosin light chain (MLC) phosphorylation during the response to lipopolysaccharide (LPS): beneficial or detrimental to endothelial barrier?在脂多糖(LPS)反应期间肌球蛋白轻链(MLC)磷酸化的抑制:对内皮屏障有益还是有害?
J Cell Physiol. 2011 Dec;226(12):3132-46. doi: 10.1002/jcp.22669.
7
Carbon monoxide involved in modulating HCO3- secretion in rat duodenum.一氧化碳参与调节大鼠十二指肠的 HCO3-分泌。
J Pharmacol Exp Ther. 2011 Apr;337(1):293-300. doi: 10.1124/jpet.110.175216. Epub 2011 Jan 19.
8
The protective effect of enteric glial cells on intestinal epithelial barrier function is enhanced by inhibiting inducible nitric oxide synthase activity under lipopolysaccharide stimulation.脂多糖刺激下,通过抑制诱导型一氧化氮合酶活性,肠胶质细胞对肠道上皮屏障功能的保护作用增强。
Mol Cell Neurosci. 2011 Feb;46(2):527-34. doi: 10.1016/j.mcn.2010.12.007. Epub 2010 Dec 21.
9
Effects of carbon monoxide on ion transport across rat distal colon.一氧化碳对大鼠远端结肠离子转运的影响。
Am J Physiol Gastrointest Liver Physiol. 2011 Feb;300(2):G207-16. doi: 10.1152/ajpgi.00407.2010. Epub 2010 Nov 18.
10
Carbon monoxide-releasing molecule-2 (CORM-2) attenuates acute hepatic ischemia reperfusion injury in rats.一氧化碳释放分子-2(CORM-2)可减轻大鼠急性肝缺血再灌注损伤。
BMC Gastroenterol. 2010 May 5;10:42. doi: 10.1186/1471-230X-10-42.