Suppr超能文献

白细胞介素-8基因变异分析揭示了其作为汉族人群慢性牙周炎遗传易感性因素的相对重要性。

Analysis of interleukin-8 gene variants reveals their relative importance as genetic susceptibility factors for chronic periodontitis in the Han population.

作者信息

Zhang Nan, Xu Yuehong, Zhang Bo, Zhang Tianxiao, Yang Haojie, Zhang Bao, Feng Zufei, Zhong Dexing

机构信息

Department of Dentistry, the First Affiliated Hospital, College of Medicine, Xi'an Jiaotong University, Xi'an, China.

Key Laboratory of Environment and Genes Related to Diseases, College of Medicine, Xi'an Jiaotong University, Xi'an, China.

出版信息

PLoS One. 2014 Aug 7;9(8):e104436. doi: 10.1371/journal.pone.0104436. eCollection 2014.

Abstract

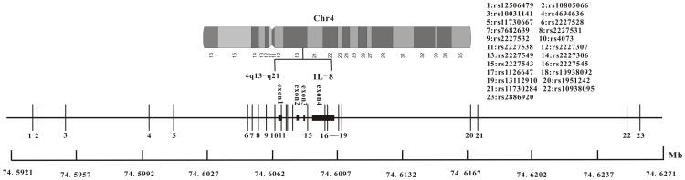
Interleukin (IL)-8, an important chemokine that regulates the inflammatory response, plays an important role in periodontitis. Previous studies indicate that certain IL-8 gene polymorphisms are associated with periodontitis susceptibility in some populations. However, the literature is somewhat contradictory, and not all IL-8 polymorphisms have been examined, particularly in Han Chinese individuals. The aim of this study was to investigate the association of every IL-8 SNP with chronic periodontitis in Han Chinese individuals. We analyzed 23 SNPs with minor allele frequency (MAF)≥0.01, which were selected from 219 SNPs in the NCBI dbSNP and preliminary HapMap data analyses from a cohort of 400 cases and 750 controls from genetically independent Han Chinese individuals. Single SNP, haplotype and gender-specific associations were performed. We found that rs4073 and rs2227307 were significantly associated with chronic periodontitis. Further haplotype analysis indicated that a haplotype block (rs4073-rs2227307-rs2227306) that spans the promoter and exon1 of IL-8 was highly associated with chronic periodontitis. Additionally, the ATC haplotype in this block was increased 1.5-fold in these cases. However, when analyzing the samples by gender, no significant gender-specific associations in IL-8 were observed, similar to the results of haplotype association analyses in female and male subgroups. Our results provide further evidence that IL-8 is associated with chronic periodontitis in Han Chinese individuals. Furthermore, our results confirm previous reports suggesting the intriguing possibilities that IL-8 plays a role in the pathogenesis of chronic periodontitis and that this gene may be involved in the etiology of this condition.

摘要

白细胞介素(IL)-8是一种调节炎症反应的重要趋化因子,在牙周炎中起重要作用。先前的研究表明,某些IL-8基因多态性与某些人群的牙周炎易感性相关。然而,文献报道存在一定矛盾,并非所有IL-8多态性都已得到研究,尤其是在汉族个体中。本研究的目的是调查汉族个体中每个IL-8单核苷酸多态性(SNP)与慢性牙周炎的关联。我们分析了23个次要等位基因频率(MAF)≥0.01的SNP,这些SNP是从NCBI dbSNP中的219个SNP以及对来自遗传独立的400例汉族病例和750例对照队列的初步HapMap数据分析中筛选出来的。进行了单SNP、单倍型和性别特异性关联分析。我们发现rs4073和rs2227307与慢性牙周炎显著相关。进一步的单倍型分析表明,一个跨越IL-8启动子和外显子1的单倍型块(rs4073-rs2227307-rs2227306)与慢性牙周炎高度相关。此外,该单倍型块中的ATC单倍型在这些病例中增加了1.5倍。然而,在按性别分析样本时,未观察到IL-8有显著的性别特异性关联,这与女性和男性亚组的单倍型关联分析结果相似。我们的结果进一步证明IL-8与汉族个体的慢性牙周炎相关。此外,我们的结果证实了先前的报道,提示IL-8在慢性牙周炎发病机制中起作用以及该基因可能参与该疾病病因的有趣可能性。

https://cdn.ncbi.nlm.nih.gov/pmc/blobs/0423/4125212/f0bb058cef69/pone.0104436.g001.jpg

文献AI研究员

20分钟写一篇综述,助力文献阅读效率提升50倍。

立即体验

用中文搜PubMed

大模型驱动的PubMed中文搜索引擎

马上搜索

文档翻译

学术文献翻译模型,支持多种主流文档格式。

立即体验