Suppr超能文献

正常标准bred新生儿的胃肠道超声检查及无症状肠套叠的发生率。 (注:“Standardbred”可能有特定 breed 相关准确中文译名,这里按字面翻译为“标准bred”,你可根据实际准确 breed 信息调整)

Gastrointestinal ultrasonography of normal Standardbred neonates and frequency of asymptomatic intussusceptions.

作者信息

Abraham M, Reef V B, Sweeney R W, Navas de Solís C

机构信息

New Bolton Center, University of Pennsylvania School of Veterinary Medicine, Kennett Square, PA.

出版信息

J Vet Intern Med. 2014 Sep-Oct;28(5):1580-6. doi: 10.1111/jvim.12413. Epub 2014 Aug 7.

Abstract

BACKGROUND

Ultrasonographic appearance of the gastrointestinal (GI) tract of equine neonates has not been completely described.

OBJECTIVES

To describe (1) sonographic characteristics of the GI segments in normal nonsedated equine neonates, (2) intra- and interobserver variation in wall thickness, and (3) the sonographic appearance of asymptomatic intussusceptions, and (4) to compare age and sonographic findings of foals with and without asymptomatic intussusceptions.

ANIMALS

Eighteen healthy Standardbred foals ≤5 days of age.

METHODS

Prospective, cross-sectional blinded study. Gastrointestinal sonograms were performed stall-side. Intraobserver variability in wall thickness measurements was determined by calculating the coefficient of variation (CV). The Bland-Altman method was used to assess interobserver bias. Student's t-test and Fisher's exact test were used to test the association among presence of intussusceptions, age, and selected sonographic findings.

RESULTS

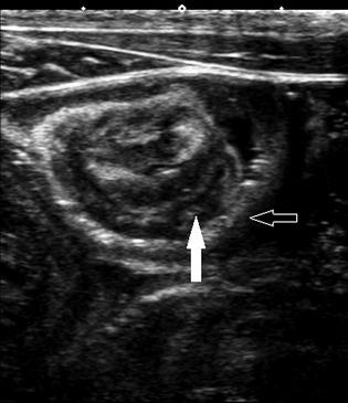
The reference ranges (95% predictive interval) for wall thickness were 1.6-3.6 mm for the stomach, 1.9-3.2 mm for the duodenum, 1.9-3.1 mm for the jejunum, 1.3-2.2 mm for the colon, and 0.8-2.7 mm for the cecum. Intraobserver wall thickness CV ranged from 8 to 21% for the 2 observers for 5 gastrointestinal segments. The interobserver bias for wall thickness measurements was not significant except for the stomach (0.14 mm, P < .05) and duodenum (0.29 mm, P < .05). Diagnostic images of mural blood flow could not be obtained. Asymptomatic intussusceptions were found in 10/18 neonates. Associations between sonographic variables or age and the presence of intussusceptions were not found.

CONCLUSIONS AND CLINICAL IMPORTANCE

Sonographic characteristics of the GI tract of normal Standardbred neonates can be useful in evaluating ill foals. Asymptomatic small intestinal intussusceptions occur in normal Standardbred neonates.

摘要

背景

马属动物新生幼驹胃肠道的超声表现尚未得到完整描述。

目的

描述(1)正常未镇静马属动物新生幼驹胃肠道各段的超声特征,(2)观察者内和观察者间肠壁厚度的差异,(3)无症状肠套叠的超声表现,以及(4)比较有无无症状肠套叠的幼驹的年龄和超声检查结果。

动物

18匹年龄≤5日龄的健康标准赛马幼驹。

方法

前瞻性横断面盲法研究。在马厩旁进行胃肠道超声检查。通过计算变异系数(CV)确定观察者内肠壁厚度测量的变异性。采用Bland-Altman法评估观察者间偏差。采用Student t检验和Fisher精确检验来检验肠套叠的存在、年龄和选定超声检查结果之间的关联。

结果

胃壁厚度的参考范围(95%预测区间)为1.6 - 3.6 mm,十二指肠为1.9 - 3.2 mm,空肠为1.9 - 3.1 mm,结肠为1.3 - 2.2 mm,盲肠为0.8 - 2.7 mm。两名观察者对5个胃肠道段的观察者内肠壁厚度CV范围为8%至21%。除胃(0.14 mm,P <.05)和十二指肠(0.29 mm,P <.05)外,观察者间肠壁厚度测量偏差不显著。无法获得肠壁血流的诊断图像。18匹新生幼驹中有10匹发现无症状肠套叠。未发现超声变量或年龄与肠套叠存在之间的关联。

结论及临床意义

正常标准赛马新生幼驹胃肠道的超声特征有助于评估患病幼驹。正常标准赛马新生幼驹会发生无症状小肠肠套叠。

https://cdn.ncbi.nlm.nih.gov/pmc/blobs/8321/4895563/8218d1fd0753/JVIM-28-1580-g001.jpg

文献AI研究员

20分钟写一篇综述,助力文献阅读效率提升50倍。

立即体验

用中文搜PubMed

大模型驱动的PubMed中文搜索引擎

马上搜索

文档翻译

学术文献翻译模型,支持多种主流文档格式。

立即体验