Suppr超能文献

在不含抗氧化剂的K-Sol中储存的人及兔角膜的内皮细胞损伤。

Endothelial cell damage in human and rabbit corneas stored in K-Sol without antioxidants.

作者信息

Reddy T S, Varnell E D, Beuerman R W, Bazan N G, Kaufman H E

机构信息

Louisiana State University Medical Center, School of Medicine, New Orleans 70112.

出版信息

Br J Ophthalmol. 1989 Oct;73(10):803-8. doi: 10.1136/bjo.73.10.803.

Abstract

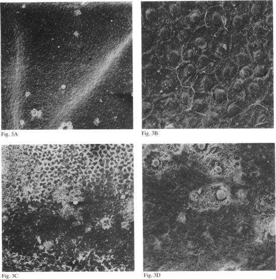
Human and rabbit corneas were stored at 4 degrees C in K-Sol with and without antioxidants (ascorbic acid, reduced glutathione, alpha-tocopherol, and retinol acetate) for two to three weeks. All the corneas were then examined visually and by scanning electron microscopy. They appeared clear and slightly oedematous. Scanning electron micrographs were used to grade corneal endothelial cell morphology in a masked manner in terms of cell shape, cell borders, cell swelling, and apical holes. Corneas stored in K-Sol without antioxidants showed changes in cell shape, cell borders, and apical holes. Human corneas showed more morphological changes than rabbit corneas. The results suggest that antioxidants in K-Sol have an important role in the preservation of endothelial cell morphology.

摘要

将人角膜和兔角膜于4℃下保存在含有和不含有抗氧化剂(抗坏血酸、还原型谷胱甘肽、α-生育酚和醋酸视黄醇)的K-Sol中两到三周。然后对所有角膜进行肉眼检查和扫描电子显微镜检查。它们看起来清澈且略有水肿。扫描电子显微镜照片用于以盲法根据细胞形状、细胞边界、细胞肿胀和顶端孔对角膜内皮细胞形态进行分级。保存在不含抗氧化剂的K-Sol中的角膜显示出细胞形状、细胞边界和顶端孔的变化。人角膜比兔角膜表现出更多的形态学变化。结果表明,K-Sol中的抗氧化剂在保存内皮细胞形态方面具有重要作用。

https://cdn.ncbi.nlm.nih.gov/pmc/blobs/092f/1041889/d9bb197bc6f9/brjopthal00602-0034-a.jpg

文献AI研究员

20分钟写一篇综述,助力文献阅读效率提升50倍。

立即体验

用中文搜PubMed

大模型驱动的PubMed中文搜索引擎

马上搜索

文档翻译

学术文献翻译模型,支持多种主流文档格式。

立即体验