Suppr超能文献

7特斯拉下胶质母细胞瘤患者的核奥氏效应介导化学交换饱和转移成像

Nuclear overhauser enhancement mediated chemical exchange saturation transfer imaging at 7 Tesla in glioblastoma patients.

作者信息

Paech Daniel, Zaiss Moritz, Meissner Jan-Eric, Windschuh Johannes, Wiestler Benedikt, Bachert Peter, Neumann Jan Oliver, Kickingereder Philipp, Schlemmer Heinz-Peter, Wick Wolfgang, Nagel Armin Michael, Heiland Sabine, Ladd Mark Edward, Bendszus Martin, Radbruch Alexander

机构信息

Department of Neuroradiology, University of Heidelberg Medical Center, Heidelberg, Germany; Neurooncologic Imaging, Department of Radiology, Deutsches Krebsforschungszentrum (DKFZ), Heidelberg, Germany.

Department of Medical Physics in Radiology, Deutsches Krebsforschungszentrum (DKFZ), Heidelberg, Germany.

出版信息

PLoS One. 2014 Aug 11;9(8):e104181. doi: 10.1371/journal.pone.0104181. eCollection 2014.

Abstract

BACKGROUND AND PURPOSE

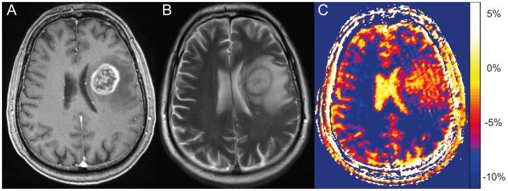
Nuclear Overhauser Enhancement (NOE) mediated chemical exchange saturation transfer (CEST) is a novel magnetic resonance imaging (MRI) technique on the basis of saturation transfer between exchanging protons of tissue proteins and bulk water. The purpose of this study was to evaluate and compare the information provided by three dimensional NOE mediated CEST at 7 Tesla (7T) and standard MRI in glioblastoma patients.

PATIENTS AND METHODS

Twelve patients with newly diagnosed histologically proven glioblastoma were enrolled in this prospective ethics committee-approved study. NOE mediated CEST contrast was acquired with a modified three-dimensional gradient-echo sequence and asymmetry analysis was conducted at 3.3 ppm (B1 = 0.7 µT) to calculate the magnetization transfer ratio asymmetry (MTR(asym)). Contrast enhanced T1 (CE-T1) and T2-weighted images were acquired at 3T and used for data co-registration and comparison.

RESULTS

Mean NOE mediated CEST signal based on MTR(asym) values over all patients was significantly increased (p<0.001) in CE-T1 tumor (-1.99 ± 1.22%), tumor necrosis (-1.36 ± 1.30%) and peritumoral CEST hyperintensities (PTCH) within T2 edema margins (-3.56 ± 1.24%) compared to contralateral normal appearing white matter (-8.38 ± 1.19%). In CE-T1 tumor (p = 0.015) and tumor necrosis (p<0.001) mean MTR(asym) values were significantly higher than in PTCH. Extent of the surrounding tumor hyperintensity was smaller in eight out of 12 patients on CEST than on T2-weighted images, while four displayed at equal size. In all patients, isolated high intensity regions (0.40 ± 2.21%) displayed on CEST within the CE-T1 tumor that were not discernible on CE-T1 or T2-weighted images.

CONCLUSION

NOE mediated CEST Imaging at 7 T provides additional information on the structure of peritumoral hyperintensities in glioblastoma and displays isolated high intensity regions within the CE-T1 tumor that cannot be acquired on CE-T1 or T2-weighted images. Further research is needed to determine the origin of NOE mediated CEST and possible clinical applications such as therapy assessment or biopsy planning.

摘要

背景与目的

核Overhauser增强(NOE)介导的化学交换饱和转移(CEST)是一种基于组织蛋白交换质子与大量水之间饱和转移的新型磁共振成像(MRI)技术。本研究的目的是评估和比较7特斯拉(7T)三维NOE介导的CEST与标准MRI在胶质母细胞瘤患者中提供的信息。

患者与方法

12例新诊断的经组织学证实的胶质母细胞瘤患者纳入了这项经伦理委员会批准的前瞻性研究。使用改良的三维梯度回波序列获取NOE介导的CEST对比,在3.3 ppm(B1 = 0.7 μT)进行不对称分析以计算磁化传递率不对称性(MTR(asym))。在3T获取对比增强T1(CE-T1)和T2加权图像,并用于数据配准和比较。

结果

与对侧正常白质(-8.38 ± 1.19%)相比,基于所有患者MTR(asym)值的平均NOE介导的CEST信号在CE-T1肿瘤(-1.99 ± 1.22%)、肿瘤坏死(-1.36 ± 1.30%)和T2水肿边缘内的瘤周CEST高信号(PTCH)(-3.56 ± 1.24%)中显著增加(p<0.001)。在CE-T1肿瘤(p = 0.015)和肿瘤坏死(p<0.001)中,平均MTR(asym)值显著高于PTCH。12例患者中有8例患者CEST上肿瘤周围高信号的范围小于T2加权图像上的范围,而4例显示大小相等。在所有患者中,CEST在CE-T1肿瘤内显示出孤立的高强度区域(0.40 ± 2.21%),这些区域在CE-T1或T2加权图像上不可见。

结论

7T下NOE介导的CEST成像提供了关于胶质母细胞瘤瘤周高信号结构的额外信息,并显示了CE-T1肿瘤内CE-T1或T2加权图像上无法获取的孤立高强度区域。需要进一步研究以确定NOE介导的CEST的起源以及可能的临床应用,如治疗评估或活检规划。

https://cdn.ncbi.nlm.nih.gov/pmc/blobs/ef75/4128651/c1a0736ab8cf/pone.0104181.g001.jpg

文献AI研究员

20分钟写一篇综述,助力文献阅读效率提升50倍。

立即体验

用中文搜PubMed

大模型驱动的PubMed中文搜索引擎

马上搜索

文档翻译

学术文献翻译模型,支持多种主流文档格式。

立即体验