Suppr超能文献

转录因子zscan10的多效性功能。

Pleiotropic functions for transcription factor zscan10.

作者信息

Kraus Petra, V Sivakamasundari, Yu Hong Bing, Xing Xing, Lim Siew Lan, Adler Thure, Pimentel Juan Antonio Aguilar, Becker Lore, Bohla Alexander, Garrett Lillian, Hans Wolfgang, Hölter Sabine M, Janas Eva, Moreth Kristin, Prehn Cornelia, Puk Oliver, Rathkolb Birgit, Rozman Jan, Adamski Jerzy, Bekeredjian Raffi, Busch Dirk H, Graw Jochen, Klingenspor Martin, Klopstock Thomas, Neff Frauke, Ollert Markus, Stoeger Tobias, Yildrim Ali Önder, Eickelberg Oliver, Wolf Eckhard, Wurst Wolfgang, Fuchs Helmut, Gailus-Durner Valérie, de Angelis Martin Hrabě, Lufkin Thomas, Stanton Lawrence W

机构信息

Stem Cell and Developmental Biology, Genome Institute of Singapore, Singapore, Singapore; Department of Biology, Clarkson University, Potsdam, New York, United States of America.

Stem Cell and Developmental Biology, Genome Institute of Singapore, Singapore, Singapore.

出版信息

PLoS One. 2014 Aug 11;9(8):e104568. doi: 10.1371/journal.pone.0104568. eCollection 2014.

Abstract

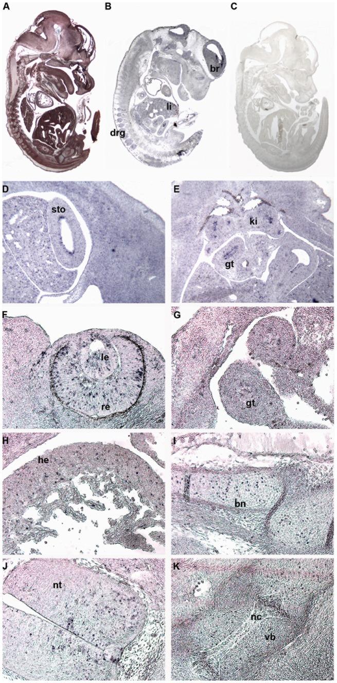
The transcription factor Zscan10 had been attributed a role as a pluripotency factor in embryonic stem cells based on its interaction with Oct4 and Sox2 in in vitro assays. Here we suggest a potential role of Zscan10 in controlling progenitor cell populations in vivo. Mice homozygous for a Zscan10 mutation exhibit reduced weight, mild hypoplasia in the spleen, heart and long bones and phenocopy an eye malformation previously described for Sox2 hypomorphs. Phenotypic abnormalities are supported by the nature of Zscan10 expression in midgestation embryos and adults suggesting a role for Zscan10 in either maintaining progenitor cell subpopulation or impacting on fate choice decisions thereof.

摘要

基于体外实验中转录因子Zscan10与Oct4和Sox2的相互作用,它被认为是胚胎干细胞中的一种多能性因子。在此,我们提出Zscan10在体内控制祖细胞群体方面具有潜在作用。Zscan10突变纯合子小鼠体重减轻,脾脏、心脏和长骨轻度发育不全,且表现出先前描述的Sox2低表达小鼠的眼部畸形。妊娠中期胚胎和成年小鼠中Zscan10的表达特性支持了表型异常,这表明Zscan10在维持祖细胞亚群或影响其命运选择决定方面发挥作用。

https://cdn.ncbi.nlm.nih.gov/pmc/blobs/e7cc/4128777/f3cfa8975b5d/pone.0104568.g001.jpg

文献AI研究员

20分钟写一篇综述,助力文献阅读效率提升50倍。

立即体验

用中文搜PubMed

大模型驱动的PubMed中文搜索引擎

马上搜索

文档翻译

学术文献翻译模型,支持多种主流文档格式。

立即体验